Tiêm búi trĩ không đau người bệnh 35 tuổi biến chứng nặng nề

Tiêm xơ búi trĩ không phải là giải pháp cho mọi trường hợp. Người dân cần chú ý những lời quảng cáo “có cánh” trên mạng để tránh tiền mất tật mang.

Bệnh viện Trung ương Quân đội 108 (Bệnh viện TWQĐ 108) đã tiếp nhận một bệnh nhân nữ, 36 tuổi, có tiền sử trĩ 5 năm, táo bón kéo dài một năm, đã được điều trị theo phương pháp tiêm xơ búi trĩ tại một phòng khám tư cách đây 5 tháng. Bệnh không khỏi, người phụ nữ gầy sút 14 kg trong 5 tháng.

Theo lời kể của bệnh nhân, chị có tiền sử trĩ nhiều năm, đại tiện 3-4 ngày/1 lần, rặn nhiều, luôn có cảm giác mót rặn, đi không hết phân; đau hậu môn tăng dần, đau nhiều nhất khi rặn; có són tiểu mức độ nhẹ khi phải gắng sức nhiều. Bệnh nhân đọc quảng cáo, tìm hiểu trên mạng xã hội về phương pháp tiêm xơ búi trĩ “3 không”: “Không đau – không phẫu thuật – không nằm viện”.

tri-1.jpg
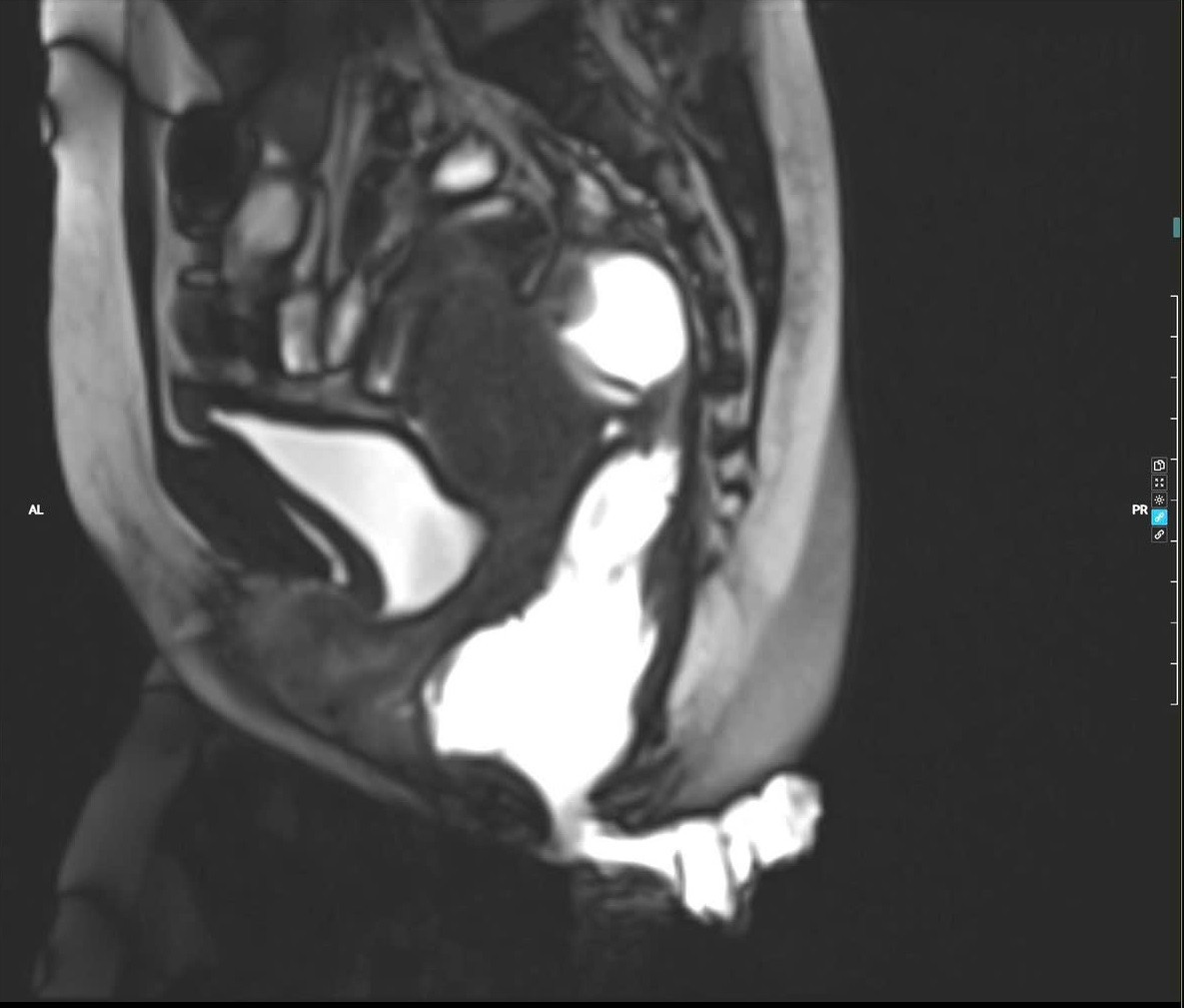
Hình ảnh chụp cộng hưởng từ động tống phân cho thấy hình ảnh túi sa thành trước trực tràng kiểu túi, sa nhẹ bàng quang - Ảnh BVCC

Sau khi được thực hiện phương pháp trên, bệnh trĩ không khỏi, táo bón nặng hơn rõ rệt; đau hậu môn dữ dội mỗi lần đi đại tiện; mất ăn, mất ngủ kéo dài gầy sút 14kg/5 tháng; điều trị nhiều thuốc; ăn nhiều rau, uống nhiều nước… nhưng bệnh ngày càng nặng thêm.

Người bệnh đã đến Bệnh viện TWQĐ 108 khám và được chỉ định thực hiện các xét nghiệm như chụp cộng hưởng từ động tống phân (Defecography MRI) để đánh giá toàn diện. Bệnh nhân được chẩn đoán: Táo bón do sa thành trước trực tràng kiểu túi độ III; trĩ hỗn hợp độ IV; nứt kẽ hậu môn mạn tính sau tiêm xơ trĩ 5 tháng; són tiểu mức độ nhẹ.

Sau hội chẩn, bệnh nhân được phẫu thuật Starr cải biên điều trị táo bón do sa trực tràng; cắt trĩ; cắt tổ chức nứt kẽ viêm mạn; điều trị nội khoa kết hợp vật lý trị liệu sàn chậu do són tiểu. Một tuần sau phẫu thuật, bệnh nhân hết táo bón, đại tiện dễ dàng, không còn cơn đau hậu môn và được ra viện.

tri.jpg
Bệnh nhân được phẫu thuật điều trị bệnh - Ảnh BVCC

Thiếu tá, ThS, BS Lê Văn Quốc, Khoa Phẫu thuật Hậu môn – Trực tràng, Bệnh viện TWQĐ 108 cảnh báo: “Với trường hợp bệnh nhân này, vấn đề chẩn đoán thiếu sót đã gây ra hậu quả nghiêm trọng.

Bỏ sót bệnh chính: táo bón do sa thành trực tràng kiểu túi; không nhận diện rối loạn tống phân thực thể và són tiểu mức độ nhẹ khi gắng sức; lạm dụng tiêm xơ búi trĩ khi không đúng chỉ định, trong khi căn nguyên gây táo bón không phải do trĩ đơn thuần”.

ThS.BS Lê Văn Quốc cho biết thêm: Không phải đau hậu môn, táo bón là chỉ do trĩ; tiêm xơ búi trĩ không phải là giải pháp cho mọi trường hợp.

Người dân cần chú ý những lời quảng cáo “có cánh” trên mạng như tiêm không đau, không nằm viện để tiền mất tật mang. Ngoài ra, táo bón có thể do nguyên nhân thực thể và hoàn toàn có thể phẫu thuật khỏi.

Đặc biệt, việc chẩn đoán đúng, đủ và toàn diện là điều kiện tiên quyết để điều trị khỏi bệnh. Bệnh trĩ và táo bón cần được thăm khám bởi bác sĩ chuyên khoa Sàn chậu để được chẩn đoán chính xác, tránh những hậu quả đáng tiếc và kéo dài không đáng có cho người bệnh.

ThS.BS Phạm Thị Huế (Khoa Phẫu thuật Hậu môn - Trực tràng, Bệnh viện TWQĐ 108)

Chăm sóc bệnh trĩ tại nhà đúng cách tránh biến chứng

Trĩ tuy không nguy hiểm nhưng gây nhiều bất tiện. Áp dụng đúng cách chăm sóc tại nhà có thể giúp giảm đau, ngứa, chảy máu và ngăn bệnh tiến triển nặng.

Bệnh trĩ không chỉ gây khó chịu về thể chất mà còn khiến nhiều người ngại ngùng khi chia sẻ. Cảm giác đau rát, ngứa ngáy hay chảy máu sau đại tiện là những biểu hiện thường gặp. Ngoài việc điều trị bằng thuốc theo chỉ định bác sĩ, việc chăm sóc đúng cách tại nhà có thể giúp cải thiện đáng kể tình trạng này.

benh-tri.jpg
Ảnh minh họa.

Đọc nhiều nhất

Tin mới