Những lầm tưởng nguy hiểm về viêm gan B và C

Viêm gan B và C là bệnh nguy hiểm nhưng vẫn bị hiểu sai trong cộng đồng. Những lầm tưởng phổ biến khiến nhiều người chủ quan hoặc điều trị không đúng cách.

Viêm gan siêu vi B và C là hai bệnh lý truyền nhiễm nguy hiểm hàng đầu liên quan đến gan, có thể dẫn đến xơ gan, suy gan hoặc ung thư gan nếu không được phát hiện và điều trị đúng cách. Tuy nhiên, trong cộng đồng vẫn tồn tại rất nhiều hiểu lầm khiến việc phòng ngừa và điều trị gặp khó khăn. Dưới đây là những nhầm tưởng phổ biến và sự thật cần biết.

z7234803200225-941580e61606f9f808385ffe3e341402.jpg
Ảnh minh họa/ Nguồn internet

Viêm gan B/C lây qua ăn uống, dùng chung chén bát

Đây là hiểu lầm rất phổ biến. Sự thật là viêm gan B và C không lây qua đường ăn uống, không lây khi dùng chung bát đũa, không lây qua ôm hôn hay tiếp xúc thông thường. Hai bệnh này chỉ lây qua đường máu, quan hệ tình dục không an toàn và từ mẹ sang con khi sinh nở.

Điều này đồng nghĩa người bệnh hoàn toàn có thể sinh hoạt bình thường với gia đình mà không gây nguy hiểm.

Viêm gan B/C không nguy hiểm vì nhiều người mắc mà vẫn sống bình thường

Đúng là phần lớn người mắc viêm gan B mạn tính có thể sống nhiều năm không triệu chứng nhưng mức độ nguy hiểm lại nằm ở chính sự thầm lặng.

Sự thật là virus viêm gan B và C có thể âm thầm tấn công và phá hủy gan trong nhiều năm mà không gây ra triệu chứng rõ ràng. Quá trình này lâu dần dẫn đến những biến chứng nặng nề như xơ gan, ung thư gan hoặc suy gan. Nhiều người chỉ phát hiện bệnh khi đã ở giai đoạn muộn, khiến việc điều trị trở nên khó khăn, tốn kém và hiệu quả thấp hơn.

Viêm gan C cũng có vắc xin giống viêm gan B

Sự thật là hiện nay chỉ có vắc xin phòng viêm gan B, còn viêm gan C thì chưa có loại vắc xin nào. Vì vậy, cách bảo vệ hiệu quả nhất đối với viêm gan C chính là chủ động xét nghiệm sớm và duy trì lối sống an toàn, tránh các hành vi có nguy cơ lây qua đường máu hoặc quan hệ tình dục không an toàn.

Người mang virus viêm gan B/C không được kết hôn và sinh con

Rất nhiều người lo lắng mình không thể lập gia đình hoặc có con nếu nhiễm virus. Sự thật là người mắc viêm gan B hoặc C vẫn có thể kết hôn và sinh con hoàn toàn bình thường nếu được theo dõi và điều trị đúng cách. Với viêm gan B, việc tiêm vắc xin cho trẻ, sử dụng thuốc kháng virus cho mẹ khi cần và tiêm globulin miễn dịch (HBIG) cho trẻ ngay sau sinh sẽ giúp giảm nguy cơ lây truyền xuống dưới 5%, giúp trẻ sinh ra an toàn và khỏe mạnh.

Đã mắc viêm gan B/C thì không thể chữa khỏi - hiểu lầm một phần

Viêm gan B: Chưa thể chữa khỏi hoàn toàn, nhưng có thể kiểm soát virus, đưa tải lượng virus xuống thấp để gan ổn định, ngăn biến chứng xơ gan – ung thư gan. Nhiều người sống khỏe mạnh cả đời với điều trị đúng cách.

Viêm gan C: Hiện đã có thuốc kháng virus thế hệ mới, có thể điều trị khỏi tới 95–100% sau 8–12 tuần.

Không có triệu chứng nghĩa là không bị bệnh

Viêm gan siêu vi B và C thường diễn tiến âm thầm, 80–90% bệnh nhân không có triệu chứng trong nhiều năm đầu.

Gan chỉ đau khi bệnh đã nặng, vì gan không có nhiều dây thần kinh cảm giác.

Do đó, xét nghiệm định kỳ là cách duy nhất để phát hiện sớm.

Uống thuốc nam, thuốc bổ gan có thể trị virus

Nhiều người tin rằng uống thuốc nam, dùng thuốc bổ gan hay thực hiện các phương pháp thải độc, thanh lọc cơ thể có thể loại bỏ virus ra khỏi cơ thể. Tuy nhiên, sự thật là không có bất kỳ loại thuốc dân gian hay sản phẩm thải độc gan nào có khả năng tiêu diệt virus viêm gan B hoặc C. Thậm chí, một số loại thuốc nam không rõ nguồn gốc còn có thể gây viêm gan cấp hoặc dẫn đến suy gan. Việc điều trị đúng chuẩn phải được bác sĩ chuyên khoa theo dõi và chỉ định để đảm bảo an toàn và hiệu quả.

Người nhiễm viêm gan B/C không nên tập thể dục

Sự thật là người mắc viêm gan B hoặc C vẫn nên duy trì thói quen tập thể dục đều đặn. Việc vận động giúp giảm mỡ gan, tăng sức đề kháng và hỗ trợ gan hoạt động hiệu quả hơn. Tuy nhiên, người bệnh cần tránh tập luyện quá sức và tuyệt đối không sử dụng các loại thực phẩm bổ sung không rõ nguồn gốc để tránh làm gan bị tổn thương thêm.

Viêm gan siêu vi B và C không đáng sợ như nhiều người nghĩ, nhưng cũng không thể chủ quan. Hiểu đúng về bệnh sẽ giúp mỗi người phòng ngừa tốt hơn, điều trị đúng hướng và bảo vệ sức khỏe lâu dài.

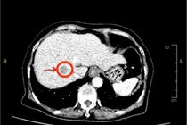
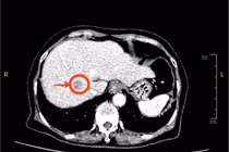
Đau nhẹ vùng thượng vị, đi khám phát hiện u gan phức tạp

Ung thư gan phát hiện sớm có thể điều trị khỏi bằng phẫu thuật hoặc can thiệp. Khi u lớn hoặc xâm lấn mạch máu, việc điều trị sẽ rất khó khăn, tiên lượng xấu.

Cảm thấy đau nhẹ vùng thượng vị, cụ bà 73 tuổi đi khám thì phát hiện có khối u gan phức tạp trên nền xơ gan lâu năm. May mắn nhờ được phát hiện sớm, các bác sĩ Bệnh viện Đa khoa Xuyên Á đã phẫu thuật cắt bỏ khối u, giúp bà điều trị triệt căn ung thư nguyên phát tế bào gan.

Câu chuyện của bà là lời cảnh tỉnh cho nhiều người bệnh gan mạn tính, đừng chủ quan với những triệu chứng nhỏ như cơn đau vùng thượng vị,…

Các con đường lây nhiễm viêm gan B phổ biến, cách phòng ngừa

Viêm gan B lây nhiễm phổ biến nhất qua đường máu, đường tình dục và từ mẹ sang con. Ngoài ra, dùng chung bơm kim tiêm, đồ dùng cá nhân cũng có thể lây nhiễm.

Bệnh viêm gan B là một bệnh truyền nhiễm, do virus HBV gây ra. Căn bệnh trở thành nỗi lo ngại cho tất cả mọi người vì nó có khả năng lây truyền từ người sang người với tốc độ cao hơn virus HIV từ 50 đến 100 lần.

Theo thông tin từ Tổ chức Y tế Thế giới, virus HBV tồn tại ở trong môi trường ít nhất 7 ngày. Đối với người chưa được tiêm vắc xin ngừa viêm gan B, trong trường hợp bị virus HBV xâm nhập vào cơ thể, thời gian ủ bệnh viêm gan B là 30 – 180 ngày. Trong khoảng 30 – 60 ngày sau nhiễm, virus sẽ có thể được phát hiện trong cơ thể người bệnh thông qua các xét nghiệm như HBsAg.

5 loại trái cây 'vàng' giúp gan thận khỏe mạnh

Bổ sung nam việt quất, nho, táo, bưởi và việt quất giúp bảo vệ gan, thận, giảm viêm và tăng cường sức khỏe toàn diện mỗi ngày.

f46bd2877059fa07a348.jpg
Gan và thận là hai cơ quan quan trọng trong việc thanh lọc độc tố và duy trì cân bằng cơ thể. Khi chúng suy giảm, sức khỏe dễ gặp vấn đề về tiêu hóa, huyết áp và mỡ máu. Bổ sung trái cây giàu dinh dưỡng và chất chống oxy hóa là cách đơn giản để hỗ trợ chức năng gan thận, bảo vệ sức khỏe toàn diện. Ảnh minh hoạ
nvq.jpg
Nam việt quất chứa proanthocyanidins giúp ức chế vi khuẩn bám vào đường tiết niệu, giảm nguy cơ nhiễm trùng – nguyên nhân chính gây tổn thương thận. Phụ nữ uống nước ép nam việt quất thường xuyên giảm 32% nguy cơ tái phát viêm tiết niệu. NKF khuyến cáo dùng nam việt quất cho người dễ bị sỏi thận, viêm bàng quang. Ảnh minh họa

Đọc nhiều nhất

Hiểu lầm phổ biến về 'detox' sau Tết

Hiểu lầm phổ biến về 'detox' sau Tết

Thay vì các phương pháp “detox” nguy hiểm, hãy duy trì thói quen uống đủ nước, ăn rau quả, ngủ đủ giấc và vận động nhẹ nhàng để giữ gìn sức khỏe lâu dài.

Tin mới

Hiểu lầm phổ biến về 'detox' sau Tết

Hiểu lầm phổ biến về 'detox' sau Tết

Thay vì các phương pháp “detox” nguy hiểm, hãy duy trì thói quen uống đủ nước, ăn rau quả, ngủ đủ giấc và vận động nhẹ nhàng để giữ gìn sức khỏe lâu dài.