Đau nhẹ vùng thượng vị, đi khám phát hiện u gan phức tạp

Ung thư gan phát hiện sớm có thể điều trị khỏi bằng phẫu thuật hoặc can thiệp. Khi u lớn hoặc xâm lấn mạch máu, việc điều trị sẽ rất khó khăn, tiên lượng xấu.

Cảm thấy đau nhẹ vùng thượng vị, cụ bà 73 tuổi đi khám thì phát hiện có khối u gan phức tạp trên nền xơ gan lâu năm. May mắn nhờ được phát hiện sớm, các bác sĩ Bệnh viện Đa khoa Xuyên Á đã phẫu thuật cắt bỏ khối u, giúp bà điều trị triệt căn ung thư nguyên phát tế bào gan.

Câu chuyện của bà là lời cảnh tỉnh cho nhiều người bệnh gan mạn tính, đừng chủ quan với những triệu chứng nhỏ như cơn đau vùng thượng vị,…

Cảnh giác với cơn đau vùng thượng vị, tiềm ẩn nguy cơ u gan

Bà Đ. T. A (73 tuổi, Củ Chi) có tiền sử bị xơ gan, bà đang được theo dõi và điều trị nội khoa theo phác đồ của bác sĩ. Thời gian gần đây, bà thường có cảm giác đau vùng thượng vị, cơn đau có biểu hiện như đau dạ dày thông thường, bà nghĩ là do rối loạn tiêu hóa.

Cơn đau tiếp diễn thường xuyên ảnh hưởng đến việc ăn uống cũng như chất lượng cuộc sống của bà, nên người thân đã đưa bà đến Bệnh viện Đa khoa Xuyên Á thăm khám.

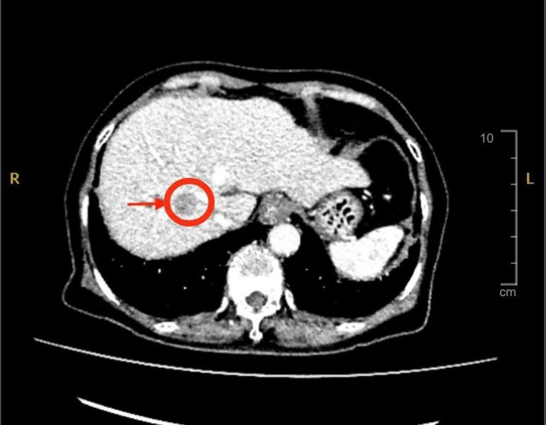
Với tiền sử bệnh xơ gan đang theo dõi và điều trị, xơ gan lại là yếu tố nguy cơ cao của ung thư gan, các bác sĩ nghi ngờ đây có thể là dấu hiệu đầu tiên của bệnh. Vì thế, bác sĩ chỉ định cho bệnh nhân siêu âm bụng và chụp MSCT thì phát hiện có khối u gan bên phải với kích thước khoảng 2cm, nghĩ nhiều đến ung thư nguyên phát tế bào gan (HCC) – một dạng ung thư gan phổ biến ở người có bệnh nền xơ gan, viêm gan B hoặc viêm gan C.

u-gan1.jpg
Hình ảnh CT khối u gan - Ảnh BVCC

“Phẫu thuật cắt gan đối với khối ung thư nguyên phát tế bào gan là một trong những phương pháp điều trị triệt căn bệnh lý này. Tuy nhiên, đây là ca bệnh cần đánh giá kỹ lưỡng, vì bệnh nhân có nền xơ gan – yếu tố khiến việc phẫu thuật gan tiềm ẩn rủi ro cao”, ThS. BS. CKII. Phan Văn Sơn – khoa Ngoại Tiêu Hóa Gan Mật Tụy Bệnh viện Đa khoa Xuyên Á chia sẻ.

Một cuộc hội chẩn đa chuyên khoa gồm khoa Chẩn đoán Hình ảnh, khoa Ung bướu, khoa Nội Tổng Quát, khoa Phẫu thuật Tim mạch Lồng ngực và khoa Ngoại Tiêu Hóa Gan Mật Tụy được diễn ra.

Sau khi xem xét kỹ kết quả, các bác sĩ đánh giá khối u còn trong giai đoạn có thể điều trị triệt căn, lựa chọn đốt khối u lại không khả thi do khối u nằm sâu trong nhu mô và sát mạch máu lớn nên việc cắt gan phải được đưa ra. Song song với việc phải đảm bảo thể tích gan trái còn lại đủ duy trì chức năng và đảm bảo rìa diện cắt triệt căn ung thư cũng như ngăn ngừa tái phát.

Ca phẫu thuật cắt gan phức tạp do khối u nằm sâu, sát mạch máu lớn

Trong quá trình mổ, ê-kíp các bác sĩ khoa Ngoại Tiêu Hóa Gan Mật Tụy đã thám sát và phát hiện khối u có kích thước chỉ khoảng 2cm.

Tuy nhiên, khối u không nằm trên bề mặt mà nằm sâu trong nhu mô gan, ở vị trí rất sát mạch máu lớn ở gan. Vì thế, các bác sĩ phải sử dụng siêu âm trong mổ để xác định chính xác vị trí khối u và khống chế tất cả các mạch máu lớn nuôi gan, tránh chảy máu ồ ạt.

u-gan.png
Ê-kíp phẫu thuật cho bệnh nhân - Ảnh BVCC

ThS.BSCKII. Phan Văn Sơn, Khoa Ngoại Tiêu Hóa Gan Mật Tụy Bệnh viện Đa khoa Xuyên Á, người tham gia thực hiện ca mổ cho biết: “Phẫu thuật cắt gan phải là phẫu thuật lớn, đòi hỏi phải đánh giá tổng trạng bệnh nhân và thể tích gan trái còn đủ để duy trì chức năng cơ thể hay không.

Vì gan phải chiếm khoảng 60 – 70% gan và gan trái chỉ chiếm 30 – 40%. Nếu phần gan trái còn lại không đủ sẽ dẫn tới suy gan sau mổ, đặc biệt là trên bệnh nhân có bệnh nền xơ gan sẵn và có thể dẫn đến tử vong.

Trong lúc cắt gan phải có đội ngũ gây mê hồi sức tốt và theo sát tình trạng bệnh trong mổ và hồi sức sau mổ, do quá trình cắt gan gây chảy máu nhiều và phải duy trì huyết áp thấp để giảm tình trạng chảy máu”.

Nhờ sự phối hợp chặt chẽ giữa ê-kíp phẫu thuật, gây mê hồi sức và lồng ngực mạch máu, ca mổ diễn ra an toàn và chính xác từng milimet.

Sau mổ, bệnh nhân hồi phục tốt, các chỉ số chức năng gan diễn tiến tốt. Người bệnh ăn uống bình thường vào ngày thứ 2 sau mổ và được xuất viện trong tình trạng khỏe mạnh.

Phát hiện sớm ung thư gan, điều trị hiệu quả

Trường hợp bệnh nhân A. là lời cảnh báo cho những người có bệnh nền xơ gan, viêm gan B hoặc C mạn tính, đừng bỏ qua những triệu chứng nhỏ như cơn đau vùng thượng vị, mệt mỏi, chán ăn,….và cần chủ động tầm soát ung thư gan định kỳ để phát hiện sớm tổn thương.

Nếu khối u không được phát hiện sớm, khi đã lớn hoặc xâm lấn mạch máu, việc điều trị triệt căn sẽ rất khó khăn, tiên lượng xấu.

“Ung thư gan nếu phát hiện sớm vẫn có thể điều trị khỏi bằng phẫu thuật hoặc can thiệp tại chỗ.

Vì vậy, đối với những bệnh nhân có yếu tố nguy cơ cao mắc ung thư gan như: người viêm gan B, C mạn tính, xơ gan… cần được theo dõi khám định kỳ tầm soát ung thư gan với các phương tiện chẩn đoán hình ảnh học hiện đại như siêu âm, đặc biệt là MSCT hoặc MRI để phát hiện khối u giai đoạn sớm”, bác sĩ Sơn khuyến cáo.

Ca phẫu thuật đặc biệt cứu sống bệnh nhân ung thư gan giai đoạn muộn

Những người có viêm gan virus (B, C), xơ gan hoặc có yếu tố nguy cơ... cần đi khám gan mật định kỳ 6 tháng/lần, làm siêu âm và xét nghiệm AFP.

Ngày 31/10, Bệnh viện Bệnh Nhiệt đới Trung ương cho biết, các bác sĩ Trung tâm phẫu thuật Gan mật, Tiêu hóa vừa phẫu thuật thành công một ca ung thư gan giai đoạn muộn, có khối u kích thước rất lớn, xâm lấn tĩnh mạch cửa – biến chứng nguy hiểm đe dọa tính mạng.

Bệnh nhân nam - 36 tuổi được chẩn đoán ung thư biểu mô tế bào gan (HCC) với khối u đường kính hơn 14cm ở gan phải, chiếm tới 60–70% thể tích gan và xâm lấn vào tĩnh mạch cửa nhánh phải – yếu tố tiên lượng rất xấu.

Ghép gan bất đồng nhóm máu tăng cơ hội sống cho người bệnh

Những tiến bộ hiện nay của các biện pháp điều chỉnh miễn dịch đã phá vỡ rào cản về hoà hợp nhóm máu ABO, qua đó giúp gia tăng nguồn hiến tạng cho bệnh nhân.

Bệnh viện Trung ương Quân đội 108 (Bệnh viện TWQĐ 108) vừa thực hiện thành công ca ghép gan bất đồng nhóm máu cho nữ bệnh nhân H, 17 tuổi, người hiến là mẹ của bệnh nhân. Đây là ca ghép gan bất đồng nhóm máu thứ 2 được thực hiện tại bệnh viện.

Hành trình chữa bệnh của con luôn có mẹ đồng hành

Đau chướng bụng do u gan chảy máu tràn dịch màng bụng

Chảy máu gan thường xảy ra ở những bệnh nhân mắc ung thư gan hoặc u gan lành tính có kích thước lớn, với triệu chứng diễn biến nhanh gây sốc mất máu.

Bệnh viện Đa khoa Khu vực Cẩm phả (Quảng Ninh) vừa phát hiện và xử trí kịp thời ca bệnh u gan trái chảy máu nguy hiểm.

Đau bụng không ngờ u gan khổng lồ chảy máu

Đọc nhiều nhất

Mẹo tăng sức đề kháng trong mùa đông

Mẹo tăng sức đề kháng trong mùa đông

Để tăng cường sức đề kháng trong mùa đông, cần chế độ dinh dưỡng giàu vitamin, uống đủ nước ấm, tập thể dục đều đặn, giữ ấm cơ thể, ngủ đủ giấc...

Tin mới

Mẹo tăng sức đề kháng trong mùa đông

Mẹo tăng sức đề kháng trong mùa đông

Để tăng cường sức đề kháng trong mùa đông, cần chế độ dinh dưỡng giàu vitamin, uống đủ nước ấm, tập thể dục đều đặn, giữ ấm cơ thể, ngủ đủ giấc...

Vì sao nọng heo được ưa chuộng?

Vì sao nọng heo được ưa chuộng?

Nọng heo được ưa chuộng vì sự kết hợp độc đáo giữa vị ngọt của thịt nạc và béo ngậy của mỡ, tạo nên hương vị mềm mọng, giòn sật đặc trưng.