Mỗi năm 1000 người tử vong vì ung thư bàng quang, cách gì phòng tránh?

Để giảm nguy cơ ung thư bàng quang nên tránh hút thuốc. Cẩn thận với các hóa chất công nghiệp và nguồn nước có hàm lượng asen cao...

Ung thư bàng quang là loại ung thư ác tính phổ biến. Mỗi năm nước ta phát hiện mới khoảng 2.000 ca, thường xảy ra ở người trên 55 tuổi. U không chỉ khu trú mà còn di căn tới hạch, phổi, gan và xương...

Hai quả thận “chết đuối” vì u bàng quang xâm lấn

Cách đây 2 năm, ông N.H.N (66 tuổi, Tây Ninh) bị tiểu ra máu, đi khám phát hiện u bàng quang. Được chỉ định phẫu thuật, nhưng ông không mổ mà uống thuốc tại nhà.

Hai ngày trước khi nhập viện, ông N. tiểu ra máu đỏ tươi rồi rơi vào tình trạng bí tiểu hoàn toàn. Cảm giác căng tức, đau đớn dữ dội ở vùng bụng dưới, buộc gia đình phải đưa ông đến Bệnh viện Đa khoa Xuyên Á (TP HCM) cấp cứu.

anh-2.jpg
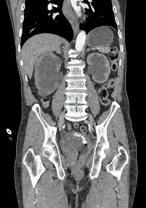
Hình ảnh u bàng quang khổng lồ chèn ép thận gây thận ứ nước trên phim chụp - Ảnh BVCC

Kết quả khối u bàng quang của ông đã xâm lấn, chèn ép hai niệu quản gây thận ứ nước độ III, kèm suy thận. Ông N. được đặt ống sonde tiểu, hút ra một túi nước tiểu màu máu đỏ sậm.

Để cứu hai quả thận đang “chết đuối”, các bác sĩ đã thực hiện dẫn lưu thận qua da. Khi chức năng thận ổn định, ông được cắt bàng quang tận gốc và tái tạo bàng quang bằng ruột non để loại bỏ khối u ác tính.

ThS.BS Lâm Văn Chương, khoa Ngoại tiết niệu, Bệnh viện Đa khoa Xuyên Á cho biết, nếu ông N. chịu điều trị bệnh từ hai năm trước, có lẽ chỉ cần một cuộc phẫu thuật nội soi ít xâm lấn, vẫn giữ được bàng quang cũng như chức năng thận hoàn toàn bình thường.

Sự trì hoãn điều trị đã khiến bệnh nguy kịch, dù giữ được tính mạng, nhưng suy thận và phải mang bàng quang nhân tạo.

GS.TS Nguyễn Bá Đức, Phó Chủ tịch Hội Ung thư Việt Nam cho biết, theo thống kê của GLOBOCAN, năm 2020 Việt Nam ghi nhận hơn 1700 ca mắc mới ung thư bàng quang và gần 1000 trường hợp tử vong.

Đây là một trong các loại ung thư có tỷ lệ mắc cao, đứng hàng thứ 4 ở nam giới, sau ung thư tuyến tiền liệt, ung thư phổi, ung thư đại trực tràng) và đứng hàng thứ 7 ở nữ giới. Tỷ lệ mắc bệnh ở nam cao gấp 3 lần ở nữ.

Khả năng mắc ung thư bàng quang tăng theo tuổi. Phần lớn các trường hợp xảy ra ở người già. Dữ liệu cho thấy, hơn 90% trường hợp mắc ung thư bàng quang là ở người trên 55 tuổi.

Số ít ung thư khu trú ở bề mặt của bàng quang, còn hầu hết ung thư đã xâm lấn phát triển vào trong hoặc qua thành của bàng quang, vào hạch bạch huyết xung quanh và các cơ quan kế cận, di căn tới phổi, gan và xương...

Đặc biệt, ung thư bàng quang sẽ dẫn tới thiếu máu xơ bàng quang, khiến cho dung lượng bàng quang nhỏ đi. Thậm chí, gây trào ngược ống tiết niệu, dẫn tới viêm thận và phù thận, hỏng thận hoặc nhiễm độc nước tiểu, nhiễm trùng máu, ảnh hưởng tới tính mạng.

anh-1.jpg
Ca phẫu thuật lấy khối u bàng quang cho bệnh nhân - Ảnh BVCC

Bệnh khó phát hiện, thường tái phát

Theo GS.TS Nguyễn Bá Đức, hầu hết ung thư bàng quang bắt đầu từ các tế bào đặc biệt ở bề mặt của thành bàng quang (tế bào chuyển tiếp). Những tế bào tương tự cũng gặp ở thận, niệu quản và niệu đạo, nơi chúng có thể phát triển thành u ác tính.

Ung thư bàng quang thường không có những dấu hiệu và triệu chứng khi ở giai đoạn sớm. Dấu hiệu cảnh báo đầu tiên là có máu trong nước tiểu (đái máu). Máu có thể thấy ở xét nghiệm nước tiểu hoặc nước tiểu có thể xuất hiện màu đỏ đậm hơn bình thường. Người bệnh cảm thấy đau khung chậu, đau khi đi tiểu, đi tiểu thường xuyên hoặc cảm thấy cần đi tiểu mà không kiểm soát được, dòng nước tiểu bị chậm lại.

Nội soi là phương pháp chẩn đoán ung thư bàng quang quan trọng nhất, giúp xác định vị trí và bản chất khối u. Đối với các trường hợp u lan rộng hoặc có nguy cơ xâm lấn sâu, cần nội soi ổ bụng để sinh thiết hạch chậu và hạch chủ bụng, từ đó đánh giá giai đoạn bệnh.

Điều trị phẫu thuật là lựa chọn tối ưu, có thể cắt u qua niệu đạo, cắt bán phần bàng quang hoặc cắt toàn bộ bàng quang triệt căn tùy thuộc vào giai đoạn bệnh.

anh-3.jpg
Khối u bàng quang được lấy ra - Ảnh BVCC

Trường hợp cắt triệt căn không chỉ ảnh hưởng đến khả năng đi tiểu mà còn ảnh hưởng đến khả năng tình dục.

Bởi ở nam, khi cắt bàng quang triệt căn cũng như hạch bạch huyết xung quanh, một phần niệu đạo và tiền liệt tuyến, túi tinh, một phần của ống dẫn tinh cũng bị lấy bỏ.

Ở nữ, cắt bàng quang triệt căn thường có nghĩa cắt bỏ buồng trứng, vòi trứng và một phần âm đạo. Sau phẫu thuật thường điều trị xạ trị, hóa chất, điều trị sinh học để ngăn ngừa tái phát.

Ung thư bàng quang có tỷ lệ tái phát cao, có thể tái phát tại cùng vị trí hoặc các vị trí khác trong cơ thể. Người bệnh cần được theo dõi định kỳ bằng cách nội soi bàng quang 3-6 tháng/lần trong 4 năm đầu tiên sau điều trị, sau đó giảm tần suất tùy tình hình bệnh.

Để giảm nguy cơ ung thư bàng quang nên tránh hút thuốc. Cẩn thận với các hóa chất công nghiệp và nguồn nước có hàm lượng asen cao.

Uống đủ 2 lít nước mỗi ngày giúp cơ thể bài tiết, đào thải các độc tố ra khỏi bàng quang. Ăn các loại rau củ chứa nhiều chất xơ, vitamin, chất chống oxy hóa…

Đặc biệt nên ăn nhiều rau họ cải như súp lơ xanh và bắp cải. Khám sức khỏe định kỳ 6 tháng/lần để phát hiện sớm và điều trị kịp thời, bảo vệ sức khỏe.

Địa chỉ vàng: Các bệnh viện điều trị tốt ung thư bàng quang

Tầm soát phát hiện bệnh sớm bác sĩ sẽ đưa ra cách điều trị ung thư bàng quang phù hợp, tránh để lại biến chứng, kéo dài sự sống cho người bệnh.

Người bệnh ung thư bàng quang cần phải điều trị ngay khi phát hiện bệnh. Hầu hết các trường hợp ung thư bàng quang được chẩn đoán ở giai đoạn đầu, có khả năng điều trị khỏi. Việc điều trị sớm giúp người bệnh không bị ảnh hưởng nhiều về thể chất và tâm lý do khối u tiến triển, xâm lấn cơ.

Tiên lượng cho người bệnh ung thư bàng quang phụ thuộc vào nhiều yếu tố, bao gồm loại và giai đoạn ung thư. Hiệp hội Ung thư Hoa Kỳ thống kê, tỷ lệ sống của bệnh nhân trên 5 năm theo từng giai đoạn như sau: Giai đoạn 0 khoảng 98%; Giai đoạn 1 khoảng 88%; Giai đoạn 2 khoảng 63%; Giai đoạn 3 khoảng 46%; Giai đoạn 4 khoảng 15%.

Sống chung sỏi bàng quang 30 năm, cô gái đau đớn vì sỏi 10cm

Khi xuất hiện các dấu hiệu bất thường như tiểu buốt, tiểu rắt, đau tức vùng bụng dưới… người dân không nên chủ quan.

Ngày 17/7, Bệnh viện Hùng Vương Gia Lai cho biết, đội ngũ bác sĩ Khoa Ngoại Tổng hợp vừa thực hiện thành công ca phẫu thuật lấy viên sỏi bàng quang “khổng lồ” cho nữ bệnh nhân V.T.N (36 tuổi, trú tại phường Pleiku, tỉnh Gia Lai).

Đây là một trường hợp đặc biệt, khi người bệnh đã sống chung với sỏi bàng quang gần 30 năm, trong tâm thế e ngại và âm thầm chịu đựng những cơn đau kéo dài.

Đọc nhiều nhất

Tin mới

Cách chăm sóc trẻ mắc tay chân miệng

Cách chăm sóc trẻ mắc tay chân miệng

Bệnh lây lan chủ yếu qua đường tiêu hóa và có thể truyền nhiễm từ người này sang người khác thông qua tiếp xúc trực tiếp với dịch tiết… của người bệnh.

Mẹo giúp da mặt tăng độ đàn hồi

Mẹo giúp da mặt tăng độ đàn hồi

Các bài tập đơn giản cho cơ mặt, chế độ chăm sóc da và dinh dưỡng hợp lý đóng vai trò quan trọng trong việc duy trì độ đàn hồi cho làn da, giảm nếp nhăn.