Người đàn ông 63 tuổi nôn ra máu tái diễn nhiều lần do xơ gan

Do tình trạng giãn tĩnh mạch thực quản nhiều và kích thước lớn nên người bệnh được đánh giá có nguy cơ chảy máu tái phát rất cao.

Liên tục điều trị nôn ra máu, đi ngoài phân đen

Bệnh viện Đa khoa Phú Thọ vừa điều trị thành công cho người bệnh nôn ra máu tái diễn nhiều lần do xơ gan bằng kỹ thuật TIPS.

Theo đó, người bệnh L.T.T.D., 63 tuổi, ở phường Việt Trì, tỉnh Phú Thọ vào viện với triệu chứng nôn ra máu đỏ tươi và đi ngoài phân đen, kèm bụng chướng dịch mức độ nhiều gây tụt huyết áp do mất máu nhiều…

Người bệnh có tiền sử xơ gan nhiều năm, từng nhiều lần nôn ra máu, đã điều trị tại nhiều cơ sở y tế khác nhau. Trước đó, người bệnh đã được nội soi thắt các búi giãn tĩnh mạch thực quản nhiều lần. Trong đợt này, người bệnh nhập viện tại Bệnh viện Đa khoa tỉnh Phú Thọ với các triệu chứng tái phát tương tự và được chỉ định nội soi thắt vòng cao su các búi giãn tĩnh mạch thực quản.

Tuy nhiên, do tình trạng giãn tĩnh mạch thực quản nhiều và kích thước lớn nên người bệnh được đánh giá có nguy cơ chảy máu tái phát rất cao. Cùng với đó, người bệnh có tình trạng chướng bụng nhiều do dịch tự do trong ổ bụng.

non-ra-mau1-copy.png
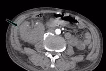
Hình ảnh xơ gan và dịch ổ bụng mức độ nhiều trên phim chụp cắt lớp vi tính của người bệnh - Ảnh BVCC

Sau khi được điều trị tích cực ban đầu, người bệnh được các bác sĩ chuyên khoa Điện quang can thiệp hội chẩn và thăm khám, xác định tình trạng bệnh có thể diễn biến tái phát chảy máu bất cứ lúc nào và có thể đe dọa tính mạng.

Người bệnh đã được Tiến sĩ, bác sĩ Trần Quang Lục, Giám đốc Trung tâm Chẩn đoán hình ảnh và Điện quang can thiệp – chuyên gia hàng đầu về thực hiện các kỹ thuật can thiệp điều trị các biến chứng của xơ gan – tư vấn thực hiện kỹ thuật TIPS (can thiệp tạo luồng thông cửa chủ trong gan) kết hợp với can thiệp nút các búi giãn tĩnh mạch thực quản để dự phòng chảy máu tái phát.

non-ra-mau-2-copy.jpg
Tiến sĩ Trần Quang Lục cùng ê-kíp thực hiện kỹ thuật TIPS can thiệp cho người bệnh L.T.T.D - Ảnh BVCC

Ê-kíp của Tiến sĩ Trần Quang Lục đã can thiệp cho người bệnh bằng kỹ thuật TIPS với sự hỗ trợ của hệ thống máy chụp mạch số hóa xóa nền DSA và các trang thiết bị hiện đại. Toàn bộ quy trình kỹ thuật được thực hiện trong lòng mạch máu với một vết chọc rất nhỏ tạo đường vào ở tĩnh mạch cổ.

Sau khoảng 1 giờ can thiệp, các bác sĩ đã đặt một stent phủ vào trong gan, làm giảm áp lực tĩnh mạch cửa và nút tắc hoàn toàn các búi giãn tĩnh mạch thực quản.

Sau 2 ngày theo dõi, người bệnh đã hoàn toàn ổn định, đi ngoài phân vàng, tình trạng chướng bụng giảm đáng kể, các xét nghiệm cải thiện tốt và được ra viện điều trị theo phác đồ tại nhà.

non-ra-mau-3-copy.jpg
Tiến sĩ Trần Quang Lục cùng ê-kíp thực hiện kỹ thuật TIPS với sự hỗ trợ của hệ thống máy chụp mạch số hóa xóa nền DSA và các trang thiết bị hiện đại - Ảnh BVCC

Theo chia sẻ của Tiến sĩ Trần Quang Lục, kỹ thuật TIPS cùng nhiều kỹ thuật khác trong điều trị và dự phòng chảy máu tiêu hóa, điều trị cổ trướng do xơ gan… đã được Bệnh viện Đa khoa tỉnh Phú Thọ triển khai từ năm 2017.

Qua thực tiễn điều trị, hàng trăm người bệnh đã được can thiệp thành công, giúp giảm tỷ lệ chảy máu tái phát, giảm số lần đi viện và nâng cao chất lượng cuộc sống. Đặc biệt, nhờ ứng dụng kỹ thuật này, các bác sĩ đã kịp thời cứu sống nhiều trường hợp nguy kịch trong tình trạng sốc mất máu nặng khi mà các biện pháp điều trị nội soi và nội khoa không đạt hiệu quả.

non-ra-mau-4-copy.png
Kỹ thuật TIPS trên một ca bệnh chảy máu do giãn tĩnh mạch dạ dày - Ảnh BVCC

Biến chứng nguy hiểm của xơ gan

Xơ gan là bệnh mãn tính do tổn thương các tế bào gan trong thời gian dài và hình thành các mô xơ, sẹo, ảnh hưởng lưu thông máu ở gan, làm suy giảm chức năng gan.

Các nguyên nhân gây ra xơ gan: viêm gan siêu vi B, viêm gan C, gan nhiễm mỡ, sử dụng nhiều rượu bia, thuốc lá, viêm gan do thuốc...

Xuất huyết tiêu hóa thường xuất hiện ở giai đoạn cuối của bệnh, là biến chứng rất nguy hiểm của xơ gan. Bệnh xơ gan càng nghiêm trọng thì biểu hiện xuất huyết càng nặng và rõ ràng.

Nguyên nhân xuất huyết tiêu hóa ở người mắc bệnh xơ gan là do tăng đột ngột áp lực tại tĩnh mạch cửa, khiến cho tĩnh mạch ở thực quản và tâm phình vị giãn nở hết mức, quá trình lưu thông máu diễn ra nhanh và mạnh hơn bình thường. Mặt khác, thành tĩnh mạch mỏng, phải chịu một áp lực lớn dẫn đến bị vỡ ra gây xuất huyết.

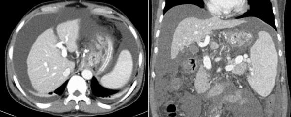
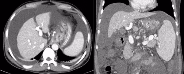
non-ra-mau-5-copy.png
Hình ảnh trước và sau khi đặt stent TIPS trong gan và nút tắc các búi giãn tĩnh mạch thực quản - Ảnh BVCC

Xơ gan gây xuất huyết tiêu hóa có những biểu hiện sau:

Buồn nôn, nôn ra máu: Tùy theo vị trí xuất huyết mà bệnh nhân sẽ nôn ra số lượng máu, màu sắc máu, tính chất máu khác nhau.

Đau thắt bụng vùng thượng vị.

Đại tiện ra máu hoặc phân đen: Khi xuất huyết trong ống tiêu hóa, máu theo đó đi ra ngoài bằng đường đại tiện, đại tiện ra máu hoặc phân đen do lẫn với máu, phân có mùi rất hôi.

Điều trị bệnh nhân cần được cầm máu ngay lập tức, nếu không sẽ bị mất máu quá nhiều dẫn đến tử vong. Một số biện pháp như:

Cầm máu, kiểm soát đông máu: đặt Sonde cầm máu, nội soi cầm máu, thắt búi giãn tĩnh mạch thực quản bằng vòng cao su hoặc tiêm xơ.

Điều trị hồi sức, chống sốc: làm ổn định huyết động.

Truyền thêm dịch và máu: đảm bảo huyết sắc tố > 80 g/l.

Dùng thuốc làm giảm áp lực tại tĩnh mạch cửa như: Octreotide, Terlipressin, Somatostatin, dùng thuốc trước khi nội soi.

Phẫu thuật trong trường hợp nặng.

Phòng ngừa bệnh xơ gan gây biến chứng xuất huyết tiêu hóa

Điều trị bệnh xơ gan theo đúng chỉ định của bác sĩ.

Đi khám sức khỏe định kỳ: Kiểm tra nội soi 2 năm một lần với xơ gan còn bù, mỗi năm 1 lần với xơ gan mất bù, mỗi năm 1 lần với xơ gan bị giãn tĩnh mạch thực quản độ I.

Với người bệnh xơ gan bị giãn tĩnh mạch độ II, III rất dễ xuất huyết tiêu hóa, cần khám thường xuyên. Bác sĩ có thể thực hiện nội soi thắt các búi tĩnh mạch đã giãn, phòng ngừa xuất huyết tiêu hóa. Sau đó, người bệnh có thể sử dụng thuốc và nội soi kiểm tra 6 tháng/ lần để tránh tái phát.

Bên cạnh đó, người bệnh cần kết hợp chế độ ăn uống, nghỉ ngơi, vận động hợp lý, để tăng hiệu quả điều trị và phòng ngừa biến chứng của xơ gan.

Xuất huyết tiêu hoá là biến chứng nguy hiểm của bệnh xơ gan. Bạn nên kiểm tra sức khỏe thường xuyên để sớm phát hiện và sớm điều trị bệnh gan, tránh cho các biến chứng nguy hiểm có thể xảy ra.

TS.BS Trần Quang Lục (Giám đốc Trung tâm Chẩn đoán hình ảnh và Điện quang can thiệp, Bệnh viện Đa khoa tỉnh Phú Thọ)

Đau thắt lưng, sốt, người bệnh nguy kịch vì viêm bể thận

Bệnh nhân nguy kịch vì viêm thận đài – bể thận phải trên nền đái tháo đường tuýp II, xơ gan, ban xuất huyết và thiếu máu giảm tiểu cầu.

Trung tâm Y tế khu vực Tam Nông đã tiếp nhận và kịp thời cứu sống trường hợp bệnh nhân T.D.S (xã Tam Nông) nhập viện trong tình trạng nguy kịch do xơ gan tiến triển kèm viêm thận bể thận phải nặng.

viem-dai-1.jpg
Ảnh BVCC

Đau nhẹ vùng thượng vị, đi khám phát hiện u gan phức tạp

Ung thư gan phát hiện sớm có thể điều trị khỏi bằng phẫu thuật hoặc can thiệp. Khi u lớn hoặc xâm lấn mạch máu, việc điều trị sẽ rất khó khăn, tiên lượng xấu.

Cảm thấy đau nhẹ vùng thượng vị, cụ bà 73 tuổi đi khám thì phát hiện có khối u gan phức tạp trên nền xơ gan lâu năm. May mắn nhờ được phát hiện sớm, các bác sĩ Bệnh viện Đa khoa Xuyên Á đã phẫu thuật cắt bỏ khối u, giúp bà điều trị triệt căn ung thư nguyên phát tế bào gan.

Câu chuyện của bà là lời cảnh tỉnh cho nhiều người bệnh gan mạn tính, đừng chủ quan với những triệu chứng nhỏ như cơn đau vùng thượng vị,…

Kỳ tích với người đàn ông chỉ còn 1% cơ hội sống

Dù tiên lượng tử vong 99,9%, các bác sĩ Bắc Ninh đã cứu sống bệnh nhân nguy kịch do vỡ giãn tĩnh mạch thực quản, biến chứng nặng của xơ gan do rượu.

Theo thông tin từ Bệnh viện Đa khoa Bắc Ninh số 1, các bác sĩ nơi đây vừa cứu sống ngoạn mục nam bệnh nhân sốc mất máu do vỡ giãn tĩnh mạch thực quản, sốc nhiễm trùng, viêm phổi, hôn mê gan độ III, suy đa tạng trên nền xơ gan rượu – tiên lượng tử vong gần như 99,9%.

Bệnh nhân Hồ Cảnh T. (56 tuổi, trú tại phường Bắc Giang, Bắc Ninh) được đưa vào Khoa Cấp cứu – Bệnh viện Đa khoa Bắc Ninh số 1 trong tình trạng nôn ra máu số lượng lớn, huyết áp tụt sâu, hôn mê. Ngay lập tức, các bác sĩ tiến hành đặt ống thở máy chủ động, bù khối lượng tuần hoàn và sử dụng thuốc vận mạch.

Đọc nhiều nhất

Tin mới