Vì trì hoãn điều trị đã khiến bệnh nhân nguy kịch phải nhập viện cấp cứu vì thận ứ nước, suy thận, phải mang trong mình chiếc bàng quang nhân tạo đến cuối đời.
Durvalumab là thuốc điều trị bổ trợ đơn trị liệu bằng durvalumab sau phẫu thuật cắt bỏ bàng quang triệt căn, dành cho người lớn mắc ung thư bàng quang xâm lấn.
Bàng quang là bộ phận chứa nước tiểu nên dấu hiệu khi đi tiểu cũng có thể cảnh báo về bệnh ở bàng quang. Ung thư bàng quang điều trị ở giai đoạn sớm sẽ đem lại tiên lượng sống cao cho người bệnh.
Ung thư bàng quang là một trong những bệnh lý ác tính hàng đầu trong số các bệnh ung thư đường tiết niệu. Bệnh có triệu chứng thường gặp là đái ra máu, gầy sút cân, đau bụng vùng hạ vị…
Ung thư bàng quang là một trong những bệnh ác tính nguy hiểm, tuy nhiên, bệnh có thể phòng tránh qua chế độ sinh hoạt, ăn uống, kiểm tra sức khoẻ định kỳ.
Ung thư bàng quang chiếm 80 – 90% trong ung thư đường tiết niệu. Đây là một trong những bệnh ác tính nguy hiểm. Tuy nhiên, bệnh có thể phòng tránh qua chế độ sinh hoạt, ăn uống, kiểm tra sức khoẻ định kỳ.
U bàng quang là loại u thường gặp trong các loại u ở đường tiết niệu. Theo thống kê, ung thư bàng quang là bệnh lý đứng thứ hai sau ung thư tiền liệt tuyến thuộc hệ tiết niệu sinh dục.
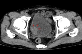
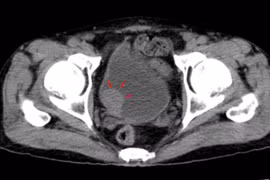
Ung thư bàng quang là bệnh lý đứng thứ hai sau ung thư tiền liệt tuyến thuộc hệ tiết niệu sinh dục và thứ 4 trong các loại ung thư phổ biến. Siêu âm là phương pháp dễ dàng nhìn được hình ảnh khối u, rẻ tiền, không xâm lấn.
Ung thư bàng quang nếu phát hiện sớm có thể điều trị khỏi nhưng đa phần được phát hiện muộn. Bệnh dễ tái phát và di căn nên cần nhận biết để điều trị sớm.
Ung thư bàng quang không phải lúc nào cũng có một loạt dấu hiệu cảnh báo. Tiểu ra máu được coi là triệu chứng phổ biến nhất xảy ra ở 85% trường hợp mắc bệnh này.
Ung thư bàng quang không phải lúc nào cũng có một loạt dấu hiệu cảnh báo. Tiểu ra máu được coi là triệu chứng phổ biến nhất xảy ra ở 85% trường hợp mắc bệnh này.
Không chỉ giàu chất xơ, rau súp lơ còn có nhiều vitamin, giàu dưỡng chất tốt cho sức khỏe. Đặc biệt nó còn được mệnh danh là "bậc thầy bổ sung canxi" rất tốt cho xương khớp, nhưng một số người không nên ăn.
(khoahocdoisong.vn) - Người ta đã xác định rõ ràng, 60 - 80% trường hợp ung thư bàng quang có liên quan đến thuốc lá; không chỉ người trực tiếp hút thuốc lá, mà có thể ở người hút thuốc lá thụ động.
(Kiến Thức) - Nhạc sĩ Trần Quang Lộc bị ung thư bàng quang và ung thư phổi. Hiện, bệnh đã ở giai đoạn cuối, khối u đã di căn. Theo bác sĩ, các triệu chứng của bệnh ung thư bàng quang thường khó nhận biết.