Lấy u não 6 cm ở trẻ 7 tháng tuổi, hồi sinh sự sống

Khối u nằm vị trí não thất III, vị trí sâu với nhiều cấu trúc thần kinh quan trọng xung quanh, là một trong những vị trí can thiệp rất khó trong mổ sọ não.

Các bác sĩ Khoa Ngoại thần kinh, Bệnh viện Nhi đồng 1 tiếp nhận và điều trị thành công một trường hợp bệnh nhi T.G.K (7 tháng tuổi, Đồng Tháp) với chẩn đoán u não thất III.

Đầu to dần sau sinh không ngờ u não khủng

Theo đó, bệnh sử ghi nhận lúc bé 3 tháng tuổi, người nhà phát hiện bé đầu to dần, hay nôn ói sau bú, mắt nhìn xuống nên đưa đến khám tại Bệnh viện Nhi đồng 1.

Trong quá trình thăm khám, bác sĩ ghi nhận bé có tình trạng tăng áp lực nội sọ (vòng đầu lớn, thóp phồng căng, mắt giới hạn nhìn lên). Siêu âm qua thóp ghi nhận khối u vùng não thất III chèn ép gây dãn não thất nặng.

Hình ảnh cộng hưởng từ sọ não ghi nhận khối u vùng não thất III gây chèn ép dẫn đến não úng thủy tắc nghẽn. Khối u nằm vị trí não thất III, vị trí sâu với nhiều cấu trúc thần kinh quan trọng xung quanh, là một trong những vị trí can thiệp rất khó trong phẫu thuật sọ não.

Kết quả giải phẫu bệnh: U đám rối mạch mạc không điển hình độ 2, một u hiếm gặp của hệ thần kinh trung ương.

u-nao-khong-lo.jpg
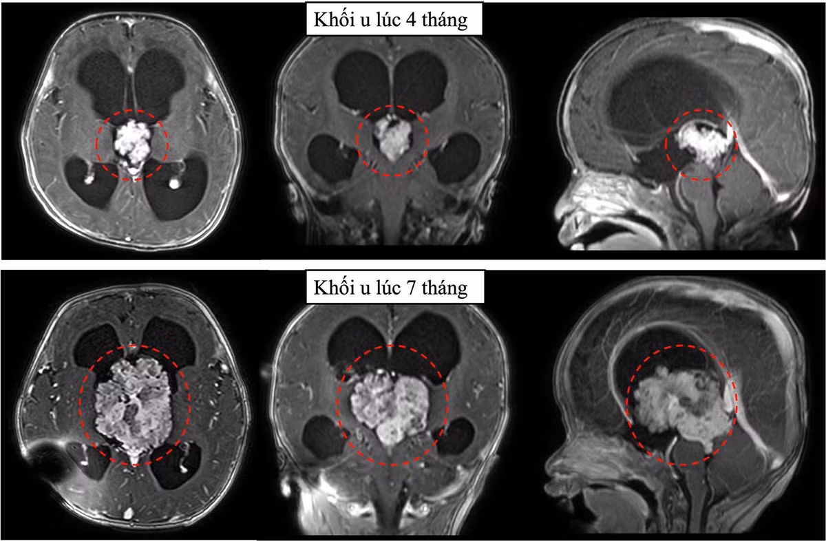
Khối u vùng não thất III lúc 4 tháng tuổi và 7 tháng tuổi của bé G.K.

3 tháng u tăng kích thước gấp 3 lần

Tại thời điểm đó, do lo lắng phẫu thuật lấy u nguy cơ cao, đặc biệt trên em bé còn rất nhỏ, gia đình và bác sĩ đồng ý tiến hành đặt dẫn lưu não thất màng bụng điều trị giảm áp lực nội sọ tạm thời vào ngày 25/11/2025 và đợi một khoảng thời gian bé đủ lớn sẽ mổ lấy u.

Tuy nhiên, phim cộng hưởng từ sọ não 3 tháng sau cho thấy u phát triển rất nhanh, tăng kích thước hơn gấp 3 lần. Không thể trì hoãn thêm, bác sĩ khoa ngoại thần kinh đã tư vấn gia đình bé phẫu thuật mổ lấy u để kịp thời cứu bé.

Ngày 25/3, ca phẫu thuật được tiến hành trong 6 giờ. Với sự chuẩn bị chu đáo và phối hợp nhịp nhàng giữa các chuyên khoa nhi: Ngoại thần kinh, Phẫu thuật gây mê hồi sức và Hồi sức ngoại, ca mổ đã diễn ra an toàn và thuận lợi. Khối u của bé được ê-kíp y bác sĩ đã bóc tách thành công.

u-nao-2.jpg
Hình ảnh khối u bệnh nhi được lấy gần hoàn toàn trên phim sau mổ - Ảnh BVCC

Theo TS.BS Trần Minh Huy, Khoa Ngoại Thần kinh, Bệnh viện Nhi đồng 1: “Đây là một ca mổ khó khăn. Vị trí não thất III là một vị trí sâu, trung tâm của não bộ với nhiều cấu trúc thần kinh và mạch máu quan trọng xung quanh. Khối u kích thước lớn (6cm), tăng sinh mạch máu nuôi, phát triển trong lòng não thất III là thách thức lớn cho phẫu thuật viên.

Ngoài ra, thời gian cuộc mổ kéo dài và nguy cơ mất máu nhiều trên bệnh nhi 7 tháng tuổi, đòi hỏi năng lực chuyên môn và phối hợp chặt chẽ liên chuyên khoa: Phẫu thuật Gây mê Hồi sức trong lúc mổ và Hồi sức ngoại sau mổ. Chúng tôi đã vượt qua những thách thức để thực hiện thành công ca phẫu thuật đưa bệnh nhi trở về lại với cuộc sống bình thường”.

u-nao-khong-lo-1.jpg
TS.BS Trần Minh Huy xúc động, âu yếm bế bé G.K vì bệnh nhi đã rất kiên cường và vui mừng khi bé đã hồi phục tốt sau ca mổ - Ảnh BVCC

Sau thời gian hồi sức và chăm sóc sau mổ, bé đã hồi phục hoàn toàn và xuất viện sau 10 ngày nằm viện.

>>> Mời quý độc giả theo dõi video: Khủng hoảng Trung Đông đẩy giá điện lên cao, EVN đề xuất dừng thị trường điện

Phẫu thuật thành công ca thoát vị màng não tủy hiếm gặp

Thách thức lớn nhất của phẫu thuật là phải phục hồi lại cấu trúc giải phẫu bình thường nhưng vẫn bảo tồn tối đa các rễ thần kinh còn chức năng.

Bệnh viện Nhi Thái Bình tỉnh Hưng Yên vừa phẫu thuật thành công ca thoát vị màng não tủy phức tạp cho một bệnh nhi nhỏ tuổi, đánh dấu lần đầu tiên bệnh viện làm chủ kỹ thuật ngoại thần kinh nhi khoa chuyên sâu này.

Thành công của ca mổ không chỉ mở ra cơ hội điều trị ngay tại địa phương cho trẻ mắc dị tật hiếm gặp mà còn khẳng định năng lực chuyên môn ngày càng nâng cao của đội ngũ y bác sĩ.

Lần đầu tiên phẫu thuật thành công ca giãn não thất ở tuyến tỉnh

Não úng thủy là bệnh lý nguy hiểm khi lượng dịch não tủy tăng lên bất thường, gây tăng áp lực trong sọ, có thể dẫn tới biến chứng thần kinh.

Lần đầu tiên thực hiện kỹ thuật cao tại tuyến tỉnh

Bệnh viện Nhi Thái Bình (tỉnh Hưng Yên) vừa thực hiện thành công ca phẫu thuật dẫn lưu não thất ổ bụng cho trẻ em bị não úng thủy. Đây là một kỹ thuật cao, chuyên sâu trong phẫu thuật thần kinh, lần đầu tiên được thực hiện tại Bệnh viện Nhi Thái Bình.

Đọc nhiều nhất

Tin mới