![]() |

![]() |
Ô tô tông vào nhóm người trước quán nhậu khiến 3 người bị thương được camera an ninh ghi lại. Vụ việc đang được Công an tỉnh Quảng Trị điều tra, làm rõ.
Sở Y tế vừa có Công văn về việc triển khai các biện pháp cấp bách ứng phó với đợt ô nhiễm không khí kéo dài tại khu vực Hà Nội và các tỉnh lân cận.
Hà Nội những ngày qua đang ô nhiễm không khí kéo dài, cha mẹ cần làm gì để bảo vệ sức khỏe cho trẻ?
Cục Quản lý Dược vừa công bố danh mục gần 600 thuốc và nguyên liệu làm thuốc được cấp mới, gia hạn giấy đăng ký lưu hành tại Việt Nam.
Theo các chuyên gia, dù phổ biến, Hội chứng niệu sinh dục mãn kinh (GSM) vẫn thường bị bỏ qua do tâm lý e ngại hoặc thiếu thông tin chính xác.
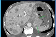
Các khối u tăng sinh mạch máu quá mức có thể gây vỡ các mạch máu này dẫn đến tình trạng xuất huyết ồ ạt.
Các mẹo chữa trị giúp người bệnh vảy nến giảm triệu chứng, thúc đẩy làm lành các tổn thương da.
Khoai tây chứa vitamin và enzyme giúp làm sáng, giảm thâm, nếp nhăn và thúc đẩy sản xuất collagen, mang lại làn da khỏe mạnh và trẻ trung.
Nhiều gia đình tin rằng tẩy rửa mạnh mới sạch, nhưng ít ai biết các hóa chất quen thuộc lại âm thầm tác động lên hô hấp, da và sức khỏe lâu dài.
Phương pháp bắt vít qua da điều trị thoát vị đĩa đệm cột sống ít xâm lấn này giúp bệnh nhân giảm đau, vận động sớm và phục hồi nhanh hạn chế các biến chứng.
Với phương pháp điều trị hóa xạ trị đồng thời, giúp người đàn ông mắc ung thư phổi tế bào nhỏ giảm kích thước khối u, cải thiện chất lượng cuộc sống.
Các bệnh lây truyền qua đường tình dục (STIs) đe dọa thai kỳ với các biến chứng như sinh non, thai chết lưu, nhẹ cân, có thể lây truyền sang trẻ sơ sinh.
Nước đậu đen rang chứa nhiều dưỡng chất, nước đậu đen giúp giảm huyết áp, kiểm soát đường huyết, nâng cao miễn dịch, chống lão hóa và làm đẹp tự nhiên.
Nam sinh trẻ tuổi mắc u não hiếm gặp đe dọa tính mạng, nhưng đã được điều trị thành công nhờ phẫu thuật, hóa trị và xạ trị tại Bệnh viện Đa khoa Xuyên Á.
Gần 1.000 trẻ tại Phú Thọ đã được khám sàng lọc tim bẩm sinh miễn phí, qua đó phát hiện 26 trường hợp cần can thiệp và 28 trường hợp tiếp tục theo dõi.
Một bệnh nhân trở về từ Cameroon - châu Phi mắc sốt rét ác tính đã hồi phục sau điều trị, nhấn mạnh vai trò phòng ngừa và ý thức cộng đồng trong kiểm soát bệnh.
Kết hợp lâm sàng và các xét nghiệm đặc biệt, các bác sĩ đã phát hiện, xử lý kịp thời túi phình mạch não vỡ hiếm gặp ở người phụ nữ trẻ, tránh nguy cơ tử vong.