Can thiệp đặt stent thành công cho người bệnh nhồi máu cơ tim đã đặt 2 stent

Bệnh nhân vào viện trong tình trạng đau ngực không ổn định trên nền đã đặt stent, kèm tổn thương hẹp cũ khoảng 70% động mạch vành phải.

Bệnh viện Bãi Cháy ứng dụng hệ thống chụp mạch số hóa xóa nền (DSA) 2 bình diện Azurion hiện đại can thiệp đặt stent thành công cho bệnh nhân nhồi máu cơ tim.

Ngày 7/1/2026, Bệnh viện Bãi Cháy đã thực hiện thành công ca can thiệp tim mạch phức tạp cho bệnh nhân nhồi máu cơ tim bằng hệ thống chụp mạch số hóa xóa nền (DSA) 2 bình diện Azurion của hãng Philips, qua đó khẳng định năng lực làm chủ các kỹ thuật can thiệp tim mạch chuyên sâu ngay tại tuyến tỉnh.

2-binh-dien1-copy.png
ThS. BS Đinh Danh Trình, Trưởng khoa Tim mạch Bệnh viện Bãi Cháy cùng ê kíp đang tiến hành can thiệp đặt stent cho bệnh nhân trên hệ thống DSA 2 bình diện Azurion thế hệ mới - Ảnh BVCC

Bệnh nhân trong ca can thiệp là ông Đinh Khắc Hoan, trú tại thôn 6, xã Đường Hoa, tỉnh Quảng Ninh, có tiền sử đặt 2 stent động mạch vành cách đây 4 năm. Trước khi nhập viện, ông thường xuyên xuất hiện các triệu chứng đau tức ngực, khó thở, cảm giác mệt mỏi kéo dài, ảnh hưởng nhiều đến sinh hoạt hàng ngày.

ThS. BS Đinh Danh Trình, Trưởng khoa Tim mạch Bệnh viện Bãi Cháy cho biết: “Bệnh nhân đã được chụp mạch vành và can thiệp hai lần trước đó.

Đợt này, bệnh nhân vào viện trong tình trạng đau ngực không ổn định trên nền đã đặt stent, kèm tổn thương hẹp cũ khoảng 70% động mạch vành phải. Chúng tôi xác định cần chỉ định chụp động mạch vành qua da để đánh giá chính xác”.

Ca can thiệp được tiến hành trên hệ thống DSA 2 bình diện Azurion thế hệ mới. Hình ảnh mạch vành hiển thị rõ nét, trực quan trong suốt quá trình thao tác.

Kết quả chụp cho thấy tổn thương hẹp tại động mạch vành phải đã tiến triển, trong khi các stent cũ vẫn thông tốt, không bị tái hẹp. Trên cơ sở đó, các bác sĩ đã quyết định đặt thêm 01 stent mới tại vị trí tổn thương.

ThS. BS Đinh Danh Trình, Trưởng khoa Tim mạch Bệnh viện Bãi Cháy cùng ê kíp đang tiến hành can thiệp đặt stent cho bệnh nhân trên hệ thống DSA 2 bình diện Azurion thế hệ mới.

2-binh-dien3-copy.png
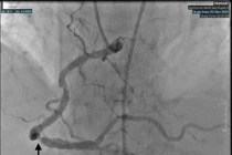
Hình ảnh: Động mạch vành phải được tái thông sau khi đặt stent - Ảnh BVCC

Theo ThS. BS Đinh Danh Trình, hệ thống DSA hai bình diện mang lại nhiều lợi thế vượt trội trong thực hành lâm sàng: “Phần mềm hỗ trợ giúp hình ảnh stent hiển thị rất rõ nét khi đưa dụng cụ vào mạch máu. Điều này cho phép bác sĩ xác định chính xác vị trí đặt stent, đánh giá kích thước stent đã tối ưu với mạch vành của người bệnh hay chưa, từ đó nâng cao độ an toàn và hiệu quả can thiệp.”

Ngay sau can thiệp thành công, sức khỏe của ông Đinh Khắc Hoan ổn định nhanh chóng, cảm giác đau tức ngực không còn, có thể đi lại và sinh hoạt bình thường. Ông Hoan bày tỏ sự tin tưởng:

“Tôi chân thành cảm ơn các bác sĩ Bệnh viện Bãi Cháy đã rất nhiệt tình, tận tâm trong suốt quá trình điều trị. Hiện tại tôi cảm thấy khỏe mạnh và thoải mái hơn rất nhiều”.

2-binh-dien-4-copy.png
Ông Đinh Khắc Hoan sức khỏe ổn định ngay sau can thiệp - Ảnh BVCC

Việc đưa hệ thống DSA 2 bình diện Azurion vào vận hành đã tạo điều kiện để Bệnh viện Bãi Cháy triển khai thường quy nhiều kỹ thuật can thiệp ít xâm lấn như chụp và can thiệp mạch, đặt stent, nút mạch cầm máu, dẫn lưu – đặt sonde dưới hướng dẫn hình ảnh…, giúp người bệnh giảm đau, rút ngắn thời gian nằm viện và sớm phục hồi sức khỏe.

Cảnh báo nhồi máu cơ tim ở người lớn tuổi mắc nhiều bệnh nền phức tạp

Người cao tuổi tăng huyết áp, đái tháo đường, suy thận, suy tim, hô hấp mạn tính làm tăng nguy cơ nhồi máu cơ tim, khiến việc chẩn đoán, điều trị phức tạp.

Các bác sĩ khoa Can thiệp Tim mạch, Bệnh viện Đa khoa Xuyên Á TP HCM vừa thực hiện thành công ca can thiệp đặt stent mạch vành, cứu sống cụ bà 70 tuổi khỏi tình trạng nguy kịch do nhồi máu cơ tim cấp kèm phù phổi cấp.

Trường hợp này tiếp tục gióng lên hồi chuông cảnh báo về nguy cơ tim mạch âm thầm ở người cao tuổi có nhiều bệnh lý nền phức tạp.

Nhồi máu cơ tim cấp, chậm 1 phút mất hàng triệu tế bào cơ tim

Nhồi máu cơ tim cấp là một trong những nguyên nhân tử vong tim mạch hàng đầu, tỷ lệ tử vong tăng nhanh theo từng phút nếu không được xử trí kịp thời.

Nhồi máu cơ tim cấp là một trong những nguyên nhân tử vong tim mạch hàng đầu. Đặc biệt ở những trường hợp nhập viện muộn hoặc xuất hiện biến chứng nặng, tỷ lệ tử vong tăng nhanh theo từng phút nếu không được chẩn đoán và xử trí kịp thời.

Bệnh viện 19-8, Bộ Công an vừa cấp cứu và điều trị thành công một trường hợp nhồi máu cơ tim cấp ST chênh lên diễn biến nguy kịch, nhờ phát hiện sớm, hồi sức tích cực kịp thời và phối hợp chặt chẽ giữa Khoa Tim mạch và Khoa Điều trị tích cực – Chống độc.

Hồi sinh bệnh nhân ngừng tuần hoàn do nhồi máu cơ tim cấp ngoài viện

Bệnh nhân 51 tuổi vượt qua ngừng tim kéo dài 2 giờ nhờ chuỗi cấp cứu liên tục, thể hiện vai trò quan trọng của hồi sức tim mạch chuyên sâu.

Khoa Hồi sức Tim mạch, Bệnh viện Trung ương Quân đội 108 (Bệnh viện TWQĐ 108) vừa tiếp nhận và điều trị thành công một bệnh nhân nam, 51 tuổi, quê Thanh Hóa, ngừng tuần hoàn do nhồi máu cơ tim cấp.

Ca bệnh là minh chứng rõ nét cho năng lực hồi sức tim mạch chuyên sâu, tinh thần không bỏ cuộc và sự phối hợp hiệu quả của chuỗi cấp cứu liên tục.

Đọc nhiều nhất

Tin mới