Kịp thời cứu sống lá phổi suýt bị “hủy hoại” do tràn mủ màng phổi phức tạp

Viêm phổi nếu không được điều trị đúng cách, kịp thời có thể biến chứng tràn mủ màng phổi cực kỳ nặng nề, có thể gây sốc nhiễm khuẩn và tử vong.

Bệnh viện Đa khoa khu vực miền núi phía Bắc Quảng Nam vừa tiếp nhận một trường hợp viêm phổi màng phổi biến chứng tràn mủ, tràn khí màng phổi cực kỳ nguy hiểm ở bệnh nhân rất trẻ tuổi.

Bệnh nhân nam (20 tuổi) nhập viện trong tình trạng đau ngực trái kèm khó thở đã kéo dài 1 tuần. Qua thăm khám lâm sàng, bệnh nhân có biểu hiện vẻ mặt nhiễm trùng , SpO2 94%, mạch nhanh 130 lần/phút, huyết áp thấp 90/60 mmHg.

mang-phoi-1.jpg
mang-phoi-3.jpg
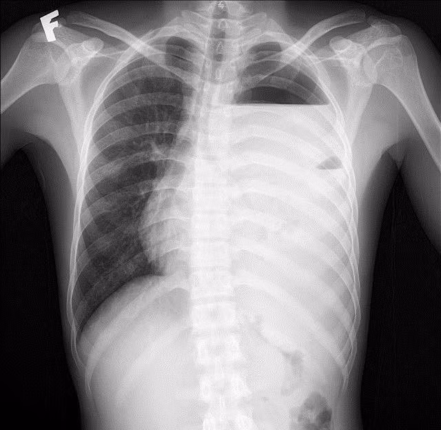
Hình ảnh phổi tổn thương trên phim chụp - Ảnh BVCC

Kết quả xét nghiệm máu cho thấy tình trạng nhiễm trùng nặng với chỉ số bạch cầu (WBC) lên tới 64.8 G/L, chỉ số CRP cao 263.6 mg/dL. Với hệ thống chẩn đoán hình ảnh hiện đại, các bác sĩ ghi nhận: Đông đặc nhu mô thùy dưới phổi trái, tràn dịch màng phổi trái lượng nhiều, tràn khí màng phổi trái, phổi trái bị xẹp thụ động, đẩy lệch trung thất sang phải.

Các bác sĩ khoa Ngoại Tổng hợp đã nhanh chóng đưa ra chẩn đoán: "Viêm phổi màng phổi trái biến chứng tràn mủ màng phổi" và chỉ định can thiệp ngoại khoa cấp cứu.

Ê–kíp phẫu thuật đã tiến hành đặt dẫn lưu màng phổi trái cho bệnh nhân. Ngay lập tức, hơn 1 lít dịch mủ đục, hôi (hậu quả của quá trình nhiễm trùng nặng) đã được giải phóng ra khỏi khoang màng phổi. Sau đó, các bác sĩ tiếp tục tiến hành súc rửa màng phổi bằng nước muối sinh lý để làm sạch ổ nhiễm trùng.

mang-phoi.jpg
Trao đổi với bệnh nhân sau giai đoạn nguy kịch - Ảnh BVCC

Nhờ sự can thiệp kịp thời và chính xác của Ê- kíp bác sĩ khoa Ngoại Tổng hợp, tình trạng hậu phẫu của bệnh nhân hiện đã tạm ổn định, các chỉ số sinh tồn dần trở về mức an toàn, bệnh nhân thở dễ hơn và tiếp tục được theo dõi điều trị tích cực.

mang-phoi-2.jpg
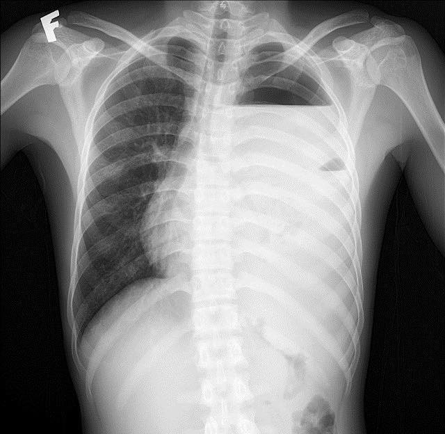
Tổn thương phổi trên phim chụp - Ảnh BVCC

“Trường hợp bệnh nhân nam 20 tuổi này là hồi chuông cảnh báo cho việc chủ quan trước các dấu hiệu đau ngực, khó thở.

Viêm phổi nếu không được điều trị đúng cách và kịp thời có thể nhanh chóng gây biến chứng tràn mủ màng phổi – một tình trạng nhiễm trùng cực kỳ nặng nề, có thể gây sốc nhiễm khuẩn và tử vong.

Bệnh viện khuyến cáo người dân khi có các triệu chứng bất thường về hô hấp cần đến ngay cơ sở y tế để được thăm khám, tránh những biến chứng đáng tiếc”, các bác sĩ Bệnh viện Đa khoa khu vực miền núi phía Bắc Quảng Nam khuyên.

Gắp thành công 2 chiếc răng giả bỏ quên trong phổi bệnh nhân hơn 20 năm

Dị vật là hai chiếc răng giả mắc kẹt trong phổi hơn 20 năm khiến bệnh nhân viêm phổi liên tục, đã được các bác sĩ nội soi lấy ra an toàn.

Bệnh viện Đà Nẵng vừa nội soi phế quản lấy thành công dị vật là hai chiếc răng giả bị hít vào đường thở, tồn tại trong phổi người bệnh hơn 20 năm, gây viêm phổi tái diễn nhiều năm liền.

Bệnh nhân là anh Nguyễn Đức H. 49 tuổi, trú tại TP Đà Nẵng được bệnh viện tuyến dưới chuyển đến Bệnh viện Đà Nẵng trong tình trạng sốt, ho, khó thở.

Nhiều trẻ nhập viện vì biến chứng nặng do cúm A

Cúm A đang gia tăng nhanh, đặc biệt ảnh hưởng đến trẻ nhỏ, với các biến chứng nghiêm trọng như viêm phổi, suy hô hấp, đòi hỏi can thiệp y tế đặc biệt.

Việt Nam hiện có hai chủng cúm cơ bản là cúm A và cúm B, trong đó cúm A chiếm tỷ lệ cao. Cúm A là bệnh truyền nhiễm cấp tính, có thể gặp ở mọi lứa tuổi, nhưng trẻ nhỏ, người cao tuổi hoặc người có bệnh nền là nhóm nguy cơ cao hơn.

Hiện cúm A đang gia tăng với tốc độ lây lan nhanh, nhiều trẻ em phải nhập viện do biến chứng viêm phổi, suy hô hấp. Tại Bệnh viện Nhi Trung ương ghi nhận số trẻ mắc cúm A phải nhập viện điều trị tăng cao trong khoảng hơn 1 tháng trở lại đây.

Đọc nhiều nhất

Tin mới