Trẻ 13 tuổi bị bỏng nặng do điện thoại phát nổ khi sạc

Một bé trai tại Tuyên Quang bị bỏng và chấn thương nghiêm trọng sau khi điện thoại nổ khi đang sạc, cảnh báo nguy hiểm của việc sử dụng điện thoại không an toàn

Theo VTV, Bệnh viện Đa khoa khu vực Bắc Quang (Tuyên Quang) vừa tiếp nhận một trường hợp tai nạn nghiêm trọng liên quan đến việc sử dụng điện thoại không an toàn.

Bệnh nhân là B.V.D. (13 tuổi, trú tại xã Vĩnh Tuy, tỉnh Tuyên Quang), nhập viện trong tình trạng bỏng và chấn thương vùng tay, chân và mặt.

Theo thông tin từ gia đình, tai nạn xảy ra khi bệnh nhi vừa sạc pin vừa sử dụng điện thoại. Thiết bị bất ngờ phát nổ, gây tổn thương phần mềm và tiềm ẩn nguy cơ để lại di chứng, ảnh hưởng lâu dài đến sức khỏe và sinh hoạt.

Đây chỉ là một trong nhiều trường hợp bị tai nạn do điện thoại phát nổ vì lý do vừa dùng điện thoại vừa sạc pin. Ảnh VTV

Ngay sau khi tiếp nhận, các bác sĩ đã tiến hành xử trí cấp cứu, bao gồm cắt lọc, làm sạch, khâu vết thương, cầm máu và băng ép vô khuẩn. Đồng thời, ê-kíp điều trị đánh giá kỹ độ sâu và diện tích bỏng để xây dựng phác đồ điều trị phù hợp, hạn chế tối đa biến chứng cho người bệnh.

Theo các bác sĩ Khoa Chấn thương Chỉnh hình - Phẫu thuật tạo hình, thẩm mỹ, việc vừa sạc vừa sử dụng điện thoại là thói quen tiềm ẩn nhiều nguy cơ, đặc biệt khi người dùng chơi game nặng, sử dụng liên tục trong thời gian dài hoặc dùng pin, bộ sạc kém chất lượng. Khi pin bị quá nhiệt, nguy cơ chập điện, cháy nổ có thể xảy ra bất ngờ, gây bỏng, chấn thương nghiêm trọng, thậm chí đe dọa tính mạng.

Theo các chuyên gia, trẻ em và thanh thiếu niên là nhóm đối tượng dễ gặp tai nạn do thiếu kỹ năng nhận biết nguy cơ và thường có thói quen sử dụng điện thoại trong thời gian dài. Do đó, vai trò giám sát, nhắc nhở của gia đình là đặc biệt quan trọng. Cha mẹ không nên cho trẻ nhỏ sử dụng điện thoại, đặc biệt khi các em ở nhà một mình.

Nguyên nhân các vụ nổ điện thoại khi đang sạc là do cục pin quá cũ, các linh kiện sạc không đảm bảo, điểm tiếp xúc chỗ sạc không tốt, môi trường sạc bị ẩm gây hiện tượng đánh lửa, phát nổ. Ngoài ra việc vừa sạc vừa dùng điện thoại sẽ khiến nhiệt độ cục pin tăng cao do phải vừa nạp vừa xả, làm gia tăng nguy cơ cháy nổ.

Đối với nạn nhân bị chấn thương do điện thoại phát nổ khi sạc, cần nhanh chóng ngắt nguồn thiết bị để tránh điện giật. Băng bó vết thương, bất động chi và chuyển bệnh nhân đến cơ sở y tế để được cấp cứu kịp thời.

Từ trường hợp trên, các bác sĩ khuyến cáo người dân tuyệt đối không sử dụng điện thoại khi đang sạc pin; chỉ dùng pin và bộ sạc chính hãng, có nguồn gốc rõ ràng; tránh đặt điện thoại ở những nơi bí nhiệt như gối, chăn, đệm. Khi thiết bị có dấu hiệu nóng bất thường, phồng pin hoặc sạc chập chờn, cần ngừng sử dụng ngay và mang đi kiểm tra.

Hồi sức thành công bệnh nhi 15 tuổi ngừng tim vì đuối nước

Chỉ một phút lơ là, thiếu giám sát của người lớn cũng có thể dẫn đến hậu quả thảm khốc. Cần tăng cường quản lý, giám sát trẻ.

Bệnh viện Bệnh Nhiệt đới Trung ương vừa tiếp nhận và cứu sống một bệnh nhi 15 tuổi ở Hà Nội trong tình trạng hôn mê sâu sau đuối nước tại nhà, nguy cơ tử vong rất cao.

Theo người trực tiếp cứu hộ và đưa vào viện, em G.B bị trượt chân ngã xuống hồ sâu trong lúc câu cá. Khi được phát hiện và đưa lên bờ, em đã rơi vào tình trạng hôn mê, tím tái, ngừng thở và ngừng tuần hoàn.

Đi bơi cùng cha, trẻ 10 tuổi ngạt nước nguy kịch

Bệnh nhi được chẩn đoán ngạt nước, phù phổi cấp, thiếu oxy não và viêm phổi hít nguy kịch đã được cứu sống sau 3 tuần hồi sức tích cực.

Bệnh viện Nhi đồng Thành phố đã tiếp nhận bé trai T.A.K. (10 tuổi, ngụ phường Hòa Thuận, tỉnh Vĩnh Long) trong tình trạng ngạt nước nguy kịch tính mạng.

Khai thác bệnh sử, trước khi tai nạn xảy ra, bé K. đi bơi cùng cha ở hồ bơi gần nhà. Do sơ ý, người cha không thường xuyên quan sát con. Sau khoảng 4 phút lơ đễnh, anh bàng hoàng phát hiện bé trong trạng thái nằm ngửa dưới hồ nước.

15 ngày giành sự sống cho nữ bệnh nhân 43 tuổi bị đuối nước mặn nguy kịch

Sau nhiều ngày cấp cứu, bệnh nhân bị đuối nước mặn nguy kịch được hồi phục chức năng phổi, rút ống nội khí quản và xuất viện trong tình trạng ổn định.

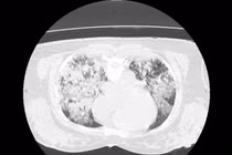
Trước đó, ngày 18/11/2025, Khoa Cấp cứu – Bệnh viện Đa khoa Cẩm Phả tiếp nhận một bệnh nhân nữ 43 tuổi bị đuối nước mặn, nhập viện trong tình trạng lơ mơ, tím tái, suy hô hấp nguy kịch. Chỉ số oxy máu của bệnh nhân ở mức cực kỳ thấp, đe dọa tính mạng từng phút.

Ngay lập tức, các bác sĩ phải đặt ống nội khí quản và tiến hành hồi sức khẩn cấp. Chụp CT ngực ghi nhận tổn thương lan tỏa hai phổi, phù hợp tình trạng tổn thương phổi cấp sau đuối nước.

Đọc nhiều nhất

Tin mới