15 ngày giành sự sống cho nữ bệnh nhân 43 tuổi bị đuối nước mặn nguy kịch

Sau nhiều ngày cấp cứu, bệnh nhân bị đuối nước mặn nguy kịch được hồi phục chức năng phổi, rút ống nội khí quản và xuất viện trong tình trạng ổn định.

Trước đó, ngày 18/11/2025, Khoa Cấp cứu – Bệnh viện Đa khoa Cẩm Phả tiếp nhận một bệnh nhân nữ 43 tuổi bị đuối nước mặn, nhập viện trong tình trạng lơ mơ, tím tái, suy hô hấp nguy kịch. Chỉ số oxy máu của bệnh nhân ở mức cực kỳ thấp, đe dọa tính mạng từng phút.

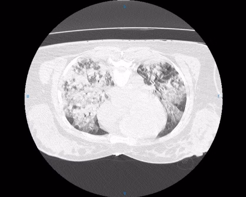
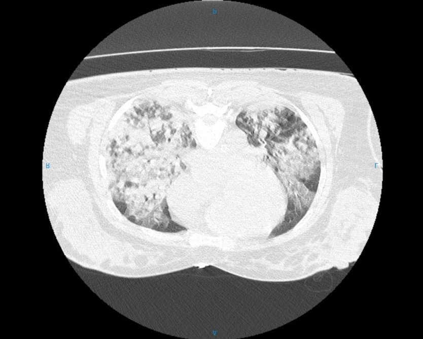
Ngay lập tức, các bác sĩ phải đặt ống nội khí quản và tiến hành hồi sức khẩn cấp. Chụp CT ngực ghi nhận tổn thương lan tỏa hai phổi, phù hợp tình trạng tổn thương phổi cấp sau đuối nước.

Trong 72 giờ đầu, diễn biến hô hấp của bệnh nhân trở nặng. Tại Khoa Hồi sức Tích cực - Chống độc - Thận nhân tạo, bệnh nhân được an thần, thở máy và điều trị kháng sinh. Sang ngày thứ 3, oxy máu tiếp tục giảm, hình ảnh CLVT (Chụp Cắt Lớp Vi Tính - CT scan) phổi cho thấy tổn thương lan rộng, nghi ngờ hội chứng suy hô hấp cấp tiến triển (ARDS).

czczz.jpg
Hình ảnh tổn thương phổi của bệnh nhân/Ảnh Bệnh viện Đa khoa Cẩm Phả.

Kíp điều trị hội chẩn khẩn và thống nhất áp dụng chiến lược thở máy bảo vệ phổi, tối ưu PEEP, kiểm soát dịch, kiểm soát nhiễm khuẩn và chăm sóc ICU toàn diện nhằm cải thiện oxy hóa. Đây là giai đoạn then chốt, đòi hỏi theo dõi liên tục để hạn chế tổn thương phổi tiến triển.

Kỳ tích đã xảy ra, sau khoảng 2 tuần điều trị tích cực, chức năng hô hấp của bệnh nhân cải thiện rõ rệt, phổi nở tốt, chỉ số oxy máu ổn định. Người bệnh được cai máy thở và rút ống nội khí quản thành công vào ngày thứ 15.

Bác sĩ thăm khám cho bệnh nhân/Ảnh Bệnh viện Đa khoa Cẩm Phả.

Bệnh nhân xuất viện trong tình trạng ổn định. Theo bệnh viện, ca bệnh là minh chứng cho năng lực xử trí những trường hợp suy hô hấp nặng, sự phối hợp chặt chẽ giữa các khoa và tinh thần làm việc khẩn trương trong cấp cứu - hồi sức tích cực.

Gia đình bệnh nhân đã gửi lời cảm ơn sâu sắc tới đội ngũ bác sĩ và điều dưỡng của khoa Cấp cứu và khoa Hồi sức Tích cực - Chống độc - Thận nhân tạo, Bệnh viện Đa khoa Cẩm Phả.

Tưởng rối loạn tiêu hóa không ngờ vỡ ruột thừa tạo ổ áp xe khổng lồ

Viêm ruột thừa ở trẻ nhỏ, đặc biệt dưới 5 tuổi, hiếm khi có triệu chứng điển hình như người lớn nên dễ bị bỏ qua đến khi ruột thừa vỡ, gây áp-xe...

Bệnh viện Nhi đồng 2 vừa phẫu thuật nội soi cứu bé trai 3 tuổi khỏi ổ áp xe bụng “khổng lồ do ruột thừa vỡ”.

Ruột thừa vỡ từ nhiều ngày, gây viêm lan tỏa, chèn ép dẫn đến tắc ruột

Trẻ sơ sinh thoát vị rốn 'khổng lồ' được cứu sống sau 71 ngày điều trị

Sau 71 ngày chăm sóc, bệnh nhi thoát vị rốn khổng lồ đã ổn định chức năng hô hấp, khối thoát vị giảm kích thước và xuất viện an toàn.

Khoa Hồi sức tích cực Ngoại – Bệnh viện Sản nhi Nghệ An vừa cứu sống thành công trường hợp bệnh nhi sơ sinh chào đời với khối thoát vị rốn “khổng lồ”, nội tạng sa ra ngoài. Bé đã hồi phục sau 71 ngày điều trị.

Hồi cuối tháng 9, bệnh nhi L.H.D., chào đời với khối thoát vị rốn kích thước lên tới 15x14x13 cm, trong đó gan và ruột sa hoàn toàn ra ngoài thành bụng. Dị tật được phát hiện từ tuần thai thứ 13 qua siêu âm, nên ngay sau sinh, bệnh nhi được đặt nội khí quản và chuyển thẳng đến Khoa Hồi sức tích cực Ngoại để xử trí.

Thanh Hóa điều trị thành công ca uốn ván toàn thể hiếm gặp sau phẫu thuật

Bệnh nhân 61 tuổi thoát khỏi uốn ván toàn thể sau điều trị tích cực tại Thanh Hóa, nhấn mạnh tầm quan trọng của tiêm phòng và xử lý đúng cách.

Bệnh viện Đa khoa tỉnh Thanh Hóa vừa cứu sống bệnh nhân bị uốn ván toàn thể hiếm gặp sau phẫu thuật tắc ruột do hoại tử ruột non - thể bệnh đặc biệt nguy hiểm.

Trước đó, bệnh nhân là bà L.T.H., 61 tuổi, ở phường Hàm Rồng, nhập viện trong tình trạng đau bụng dữ dội, bụng chướng, bí trung đại tiện. Qua thăm khám và chẩn đoán hình ảnh, các bác sĩ xác định bệnh nhân bị tắc ruột do hoại tử ruột non và nhanh chóng chỉ định phẫu thuật cắt bỏ đoạn ruột hoại tử, nối ruột. Sau phẫu thuật, sức khỏe bệnh nhân tiến triển ổn định.

Đọc nhiều nhất

Tin mới