Ra máu âm đạo ồ ạt do bất thường mạch máu tử cung hiếm gặp

Bất thường nối thông động tĩnh mạch trong cơ tử cung rất hiếm gặp, có thể gây ra tình trạng xuất huyết ồ ạt, kéo dài, đe dọa tính mạng người bệnh.

Ca băng huyết hiếm gặp do thông nối động – tĩnh mạch tử cung (AWM) đã được các bác sĩ Bệnh viện Phụ sản Trung ương chẩn đoán chính xác giúp bệnh nhân được can thiệp kịp thời, thoát khỏi nguy kịch và bảo tồn tử cung.

Máu chảy ồ ạt ở sản phụ 3 lần mổ lấy thai, 3 lần hút thai

Mới đây, Khoa Phụ nội tiết - Bệnh viện Phụ sản Trung ương đã tiếp nhận một trường hợp bệnh nhân đặc biệt: Chị Vũ Thị D. (43 tuổi), tiền sử 3 lần mổ lấy thai, 3 lần hút thai, nhập viện trong tình trạng ra máu âm đạo ồ ạt, choáng nặng, tính mạng bị đe dọa.

Ngay khi tiếp nhận, ThS.BS Đặng Anh Linh – Trưởng khoa Phụ nội tiết đã trực tiếp thăm khám, siêu âm Doppler màu cho thấy hình ảnh bất thường với vùng tăng sinh mạch máu trong cơ tử cung, kèm hình ảnh aliasing của dòng chảy vận tốc cao.

Qua đó, ThS.BS Đặng Anh Linh xác định đây là một trường hợp băng huyết có tổn thương mạch máu bất thường do thông nối động – tĩnh mạch (AVM) trong cơ tử cung – một bệnh lý hiếm gặp nhưng vô cùng nguy hiểm.

ra-mau.jpg
ThS.BS Đặng Anh Linh siêu âm cho bệnh nhân phát hiện bất thường - Ảnh BVCC

Bệnh nhân ngay lập tức được chuyển sang hội chẩn tại Trung tâm Can thiệp mạch – Bệnh viện Việt Đức. Kết quả chụp mạch số hóa xóa nền (DSA) xác nhận chẩn đoán ban đầu chính xác, đồng thời tiến hành nút mạch tại các vùng mạch máu tổn thương.

Sau can thiệp, tình trạng chảy máu âm đạo chấm dứt, bệnh nhân nhanh chóng ổn định và được chuyển về Bệnh viện Phụ sản Trung ương theo dõi, sau đó ra viện trong tình trạng khỏe mạnh, tái khám định kỳ ổn định.

Chia sẻ về ca bệnh hiếm gặp này, ThS.BS Đặng Anh Linh, Trưởng khoa Phụ nội tiết cho biết, bất thường nối thông động tĩnh mạch trong cơ tử cung rất hiếm gặp, có thể gây ra tình trạng xuất huyết ồ ạt, kéo dài, đe dọa tính mạng người bệnh.

Nếu không chẩn đoán đúng, việc xử trí bằng nạo hút buồng tử cung có thể khiến tình trạng xuất huyết trầm trọng hơn, thậm chí buộc phải cắt tử cung để cứu sống bệnh nhân.

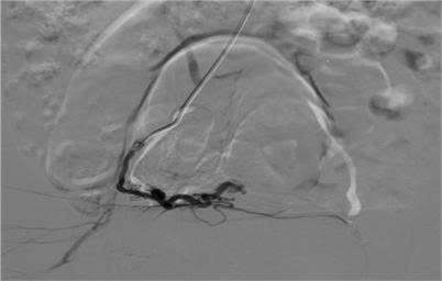
ra-mau-1.jpg
Hình ảnh búi mạch bất thường trên DSA - Ảnh BVCC

Điều này đặc biệt nguy hiểm với những phụ nữ trẻ vẫn còn mong muốn sinh con. Trong trường hợp này, sự phối hợp chặt chẽ giữa Khoa Phụ nội tiết – Bệnh viện Phụ Sản Trung ương và Trung tâm Can thiệp mạch – Bệnh viện Việt Đức đã mang lại kết quả khả quan: không chỉ kiểm soát thành công tình trạng chảy máu đe dọa tính mạng, mà còn bảo tồn được tử cung cho người bệnh.

Phát hiện sớm tránh cắt tử cung bảo tồn sinh sản

Theo các chuyên gia, thông nối động tĩnh mạch (AVM) trong cơ tử cung là một bất thường hiếm gặp có thể gây chảy máu nặng gây nguy hiểm đến tính mạng bệnh nhân.

Siêu âm là một phương tiện đầu tay hiệu quả để chẩn đoán cũng như tiên lượng các tổn thương AVM. Chụp mạch máu số hóa xóa nền (DSA) là tiêu chuẩn vàng trong chẩn đoán AVM và đồng thời việc nút chọn lọc các mạch máu tổn thương là biện pháp điều trị hiệu quả cho bệnh nhân.

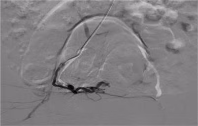
ra-mau-2.jpg
Hình ảnh kiểm tra sau nút mạch - Ảnh BVCC

Không chỉ nhấn mạnh đến tính chất phức tạp và mức độ nguy hiểm của ca bệnh, ThS.BS Đặng Anh Linh đồng thời đưa ra khuyến cáo rằng: Phụ nữ có tiền sử nạo hút thai nhiều lần, mổ lấy thai, bóc u xơ tử cung,… nếu xuất hiện tình trạng ra máu âm đạo bất thường, cần đến khám tại các cơ sở y tế chuyên khoa sớm để được phát hiện nguyên nhân chính xác.

Việc chẩn đoán kịp thời, lựa chọn biện pháp điều trị phù hợp sẽ tránh nguy cơ băng huyết nặng nguy hiểm đến tính mạng người bệnh, hạn chế phải phẫu thuật cắt tử cung để cầm máu, bảo tồn khả năng sinh sản của người phụ nữ.

Cứu sống sản phụ băng huyết sau sinh do rối loạn đông máu

Một sản phụ bị băng huyết nguy kịch sau sinh, nghi do rối loạn đông máu, phải phẫu thuật cắt tử cung nguy kịch vừa được các bác sĩ cứu sống.

Theo VTV, Trung tâm Y tế khu vực Đăk R'lấp (Lâm Đồng) vừa kịp thời cứu sống sản phụ H.T.K. (thai 38 tuần 5 ngày), chuyển dạ sinh con lần thứ 5. Sau quá trình theo dõi, sản phụ sinh thường một bé trai nặng 3,3kg, máu mất sau sinh khoảng 200ml, tử cung co tốt và được khâu phục hồi tầng sinh môn.

Tuy nhiên, chỉ 20 phút sau, sản phụ xuất hiện tình trạng tử cung mềm nhão, máu đỏ sẫm chảy nhiều, không đông. Các biện pháp xử trí ban đầu gồm tăng co, xoa đáy tử cung, đặt bóng chèn, đặt túi cát đều không hiệu quả. Lượng máu mất tăng nhanh, nghi ngờ rối loạn đông máu.

Bé gái chào đời từ phôi thai trữ đông hơn 1 thập kỷ

Tỷ lệ phôi sống sau rã đông là 99-100%. Dù thời gian trôi qua hàng chục năm, mỗi phôi thai vẫn luôn được nâng niu, gìn giữ để chờ đón cha mẹ.

Ngày 22/8, tại Bệnh viện Phụ sản Trung ương, một bé gái xinh xắn cất tiếng khóc chào đời từ một phôi thai đã được lưu trữ suốt 11 năm. Câu chuyện tưởng chừng chỉ có trong phim đã trở thành hiện thực, để lại xúc động mạnh cho cả gia đình và ê-kíp y bác sĩ.

be-gai-tru-dong-1.jpg
Ca phẫu thuật đón bé gái chào đời - Ảnh BVCC

Vỡ thai ngoài tử cung nguy kịch, lời cảnh tỉnh cho tất cả phụ nữ

Thai ngoài tử cung được ví như “quả bom nổ chậm” trong cơ thể người phụ nữ. Khi thai vỡ có thể tước đi mạng sống của họ chỉ trong vài phút nếu chậm trễ cấp cứu.

Triệt sản vẫn nguy kịch vì thai tử cung vỡ

Các bác sĩ Bệnh viện Đa khoa Xuyên Á Vĩnh Long đã kịp thời phẫu thuật cứu sống một người phụ nữ trẻ trong tình trạng sốc mất máu nặng do vỡ thai ngoài tử cung. Điều bất ngờ là trước đó, chị đã từng triệt sản và hoàn toàn không nghĩ mình có thai.

Đọc nhiều nhất

Tin mới

Đi khám sức khỏe phát hiện ung thư amidan

Đi khám sức khỏe phát hiện ung thư amidan

Người dân cần chủ động thăm khám sức khỏe định kỳ, đặc biệt khi có dấu hiệu bất thường vùng tai mũi họng, đau họng kéo dài, nuốt vướng, khàn tiếng, nổi hạch cổ…