Ung thư phổi tế bào nuôi - căn bệnh nguy hiểm, hiếm gặp

Người phụ nữ được chẩn đoán mắc choriocarcinoma tại phổi, một dạng ung thư rất hiếm, cần nhận biết sớm để có phương pháp điều trị phù hợp.

Mới đây, Bệnh viện Đa khoa Medlatec tiếp nhận nữ bệnh nhân N.H.A (36 tuổi) đến khám vì rối loạn kinh nguyệt kéo dài 3 tháng, kèm theo các triệu chứng hô hấp đáng lo ngại như ho khan, nuốt vướng và khạc máu đông. Thời điểm nhập viện, bệnh nhân đã sạch kinh 5 ngày.

Bệnh nhân được PGS.TS.BS Hoàng Thị Phượng trực tiếp thăm khám. Kết quả xét nghiệm cho thấy Beta-hCG tăng cao tới 1540 U/L, một chỉ số thường chỉ gặp ở phụ nữ mang thai, gây nhiều nghi ngờ trong bối cảnh lâm sàng không phù hợp.

Kết quả chụp CT lồng ngực có tiêm cản quang cho thấy hình ảnh u thùy dưới phổi trái/Ảnh Medlatec

Chụp CT lồng ngực có tiêm cản quang phát hiện khối u thùy dưới phổi trái (LUNG-RADS 4B), kèm theo nốt nhỏ thùy giữa phổi phải, cần loại trừ tổn thương thứ phát.

Nhận định đây là ca bệnh phức tạp, không điển hình, PGS. Phượng đã chỉ định sinh thiết phổi dưới hướng dẫn CT để xác định bản chất tổn thương.

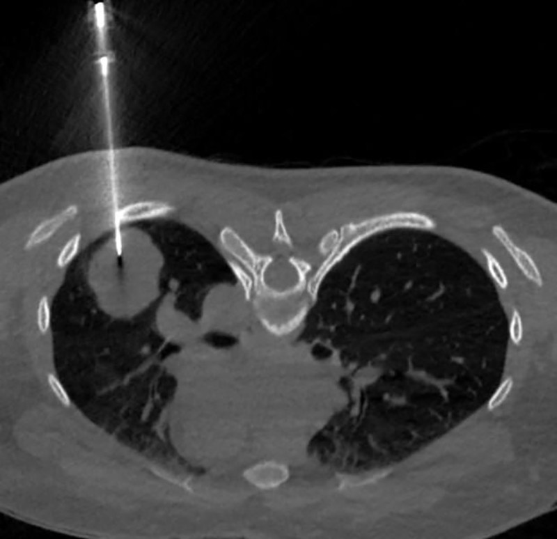
BSCKI. Trần Văn Thụ - Trưởng Khoa Chẩn đoán hình ảnh, Bệnh viện Đa khoa Medlatec là người trực tiếp thực hiện sinh thiết cho bệnh nhân.

Mẫu bệnh phẩm được chuyển đến Trung tâm Giải phẫu bệnh Medlatec. Sau khi phân tích hình thái mô bệnh học, các bác sĩ giải phẫu bệnh đã đưa ra chẩn đoán đây là một loại u ác tính, tuy nhiên hình ảnh tế bào rất hiếm gặp và cần phải làm thêm các xét nghiệm chuyên sâu như hóa mô miễn dịch(HMMD) hoặc sinh học phân tử. Kết quả nhuộm HMMD cho thấy các tế bào u dương tính mạnh với các dấu ấn CK, hCG, SALL4.

Dựa vào kết quả trên, chị A. được chẩn đoán mắc u phổi ác tính phù hợp với Choriocarcinoma (ung thư tế bào nuôi nguyên phát tại phổi) - một loại ung thư rất hiếm gặp.

Trên cơ sở chẩn đoán xác định từ giải phẫu bệnh, bệnh nhân được hội chẩn đa chuyên khoa và chuyển tuyến điều trị chuyên sâu tại Bệnh viện Phổi Trung ương. Hiện tại, thể trạng người bệnh ổn định và đang được theo dõi, điều trị đúng phác đồ.

Hình ảnh sinh thiết phổi dưới hướng dẫn CT/Ảnh Medlatec

Đây là một ca bệnh khó, biểu hiện lâm sàng và xét nghiệm không điển hình, đòi hỏi sự phối hợp chặt chẽ giữa các chuyên khoa: Lâm sàng – Xét nghiệm – Chẩn đoán hình ảnh – Giải phẫu bệnh. Trong đó, Giải phẫu bệnh đóng vai trò quyết định, giúp “giải mã” bản chất khối u, định hướng chính xác chẩn đoán và điều trị.

Theo PGS.TS.BS Hoàng Thị Phượng, Choriocarcinoma (ung thư tế bào nuôi) vốn khởi phát từ tế bào lá nuôi của nhau thai tại tử cung. Tuy nhiên, trường hợp của chị A là Choriocarcinoma nguyên phát tại phổi – biến thể đặc biệt hiếm gặp.

Y văn thế giới (PubMed/NIH cập nhật cuối năm 2024) hiện chỉ ghi nhận chưa tới 200 ca lâm sàng được báo cáo chính thức.

Về bệnh học, ung thư phổi tế bào nuôi phát sinh từ các tế bào mầm đa năng bị "lạc chỗ" từ giai đoạn phôi thai, sau đó diễn tiến ác tính ngay tại nhu mô phổi. Đây là loại u có độ ác tính rất cao, xâm lấn mạch máu mạnh và di căn nhanh qua đường máu đến não, gan, xương.

Do khối u trực tiếp giải phóng hormone Beta-hCG vào máu, bệnh nhân thường có triệu chứng giả mang thai hoặc rối loạn nội tiết (rối loạn kinh nguyệt, căng tức ngực). Kết hợp với đặc tính giàu mạch máu gây ho ra máu, đau ngực, PPC rất dễ bị chẩn đoán nhầm với các bệnh lý sản khoa hoặc hô hấp thông thường. Việc chủ động kiểm tra sức khỏe định kỳ chính là chìa khóa giúp phát hiện sớm những mầm bệnh âm thầm ngay cả khi cơ thể chưa phát ra tín hiệu bất thường.

Phẫu thuật thành công cho bệnh nhi 14 tuổi mắc ung thư buồng trứng hiếm gặp

Các bác sĩ đã loại bỏ khối u an toàn, giúp duy trì chức năng sinh sản và nâng cao chất lượng cuộc sống cho bệnh nhi 14 tuổi mắc ung thư buồng trứng hiếm gặp.

Theo VTV, Bệnh viện Sản nhi Ninh Bình vừa phẫu thuật thành công cho bệnh nhi 14 tuổi mắc ung thư buồng trứng hiếm gặp, bảo tồn tối đa chức năng sinh sản.

BSCKII Trịnh Công Doanh, Trưởng khoa Phụ Ngoại - KHHGĐ cho biết, đây là ca bệnh đòi hỏi chuyên môn sâu và sự phối hợp chặt chẽ giữa nhiều chuyên khoa. Thành công của ca mổ đánh dấu bước tiến quan trọng trong điều trị các bệnh lý ung thư phụ khoa ở trẻ em và trẻ vị thành niên.

Nam sinh đau đầu, chóng mặt thường xuyên do u vùng tuyến tùng hiếm gặp

Nam sinh trẻ tuổi mắc u não hiếm gặp đe dọa tính mạng, nhưng đã được điều trị thành công nhờ phẫu thuật, hóa trị và xạ trị tại Bệnh viện Đa khoa Xuyên Á.

Một tháng nay, cậu học sinh B.G.H (17 tuổi, Củ Chi, TP HCM) thường xuyên trong trạng thái đau nhức đầu, chóng mặt, mức độ đau tăng dần theo thời gian. Gia đình tưởng chừng chỉ là đau đầu thông thường do căng thẳng học tập, nên chỉ cho em dùng thuốc điều trị.

Sau đó tình trạng đau đầu vẫn tái diễn liên tục, có lúc kèm theo nôn ói khiến em mệt mỏi. Nghi ngờ những dấu hiệu bất thường của cơ thể, mẹ em đã đưa em đến cơ sở y tế địa phương thăm khám.

Bệnh nhân 25 tuổi bị u Lymphangioma sau phúc mạc được phẫu thuật thành công

Bệnh viện Đa khoa số 3 tỉnh Lào Cai vừa phẫu thuật thành công, bóc trọn khối u Lymphangioma sau phúc mạc cho bệnh nhân 25 tuổi ở Lào Cai.

Các bác sĩ khoa Ngoại tổng hợp, Bệnh viện Đa khoa số 3 tỉnh Lào Cai vừa phẫu thuật thành công cho bệnh nhân L.V.Đ., 25 tuổi, quê Nậm Có – Lào Cai, mắc u Lymphangioma sau phúc mạc rất lớn biến chứng chèn ép tạng, một bệnh lý hiếm gặp và phức tạp.

Lymphangioma là một khối u lành tính hiếm gặp, phát triển từ hệ bạch huyết, thường xuất hiện ở trẻ em nhưng cũng có thể gặp ở người lớn. Khối u có thể xuất hiện ở nhiều vị trí, trong đó lymphangioma sau phúc mạc rất hiếm, thường tiềm ẩn nguy cơ chèn ép các tạng quan trọng.

Đọc nhiều nhất

Tin mới

Đi khám sức khỏe phát hiện ung thư amidan

Đi khám sức khỏe phát hiện ung thư amidan

Người dân cần chủ động thăm khám sức khỏe định kỳ, đặc biệt khi có dấu hiệu bất thường vùng tai mũi họng, đau họng kéo dài, nuốt vướng, khàn tiếng, nổi hạch cổ…