Địa chỉ vàng: Bệnh viện điều trị u máu gan

Đối với những trường hợp u máu gan không gây triệu chứng, phương pháp theo dõi định kỳ là lựa chọn hàng đầu.

Bệnh nhân sẽ được chỉ định làm các xét nghiệm hình ảnh như siêu âm, CT scan hoặc MRI để theo dõi sự phát triển của khối u. Nếu khối u không tăng kích thước hoặc không gây ra triệu chứng, không cần can thiệp điều trị.

Khi u máu gan gây ra triệu chứng nghiêm trọng hoặc có nguy cơ biến chứng như chảy máu, phẫu thuật cắt bỏ khối u có thể được thực hiện. Thuyên tắc mạch thường được áp dụng cho những bệnh nhân không đủ điều kiện sức khỏe để phẫu thuật hoặc có nhiều khối u nhỏ.

u-mau-trong-gan.jpg
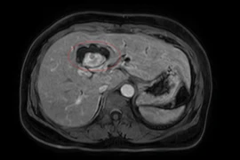
U máu gan - Ảnh minh họa Bệnh viện Việt Đức

Một số thuốc có thể được sử dụng để làm giảm kích thước của u máu gan hoặc kiểm soát triệu chứng. Các loại thuốc này có thể bao gồm thuốc ức chế mạch máu hoặc các loại thuốc giảm đau để kiểm soát các triệu chứng liên quan.

Ghép gan là phương pháp cuối cùng, hiếm khi được áp dụng, chỉ dành cho những trường hợp u máu gan rất lớn hoặc khi các phương pháp điều trị khác không hiệu quả, khối u gây suy gan nghiêm trọng.

Việc lựa chọn phương pháp điều trị u máu gan phụ thuộc vào nhiều yếu tố như kích thước, vị trí của khối u, triệu chứng mà bệnh nhân gặp phải và tình trạng sức khỏe tổng thể của người bệnh. Thảo luận với bác sĩ chuyên khoa là điều quan trọng để xác định phương pháp điều trị phù hợp nhất.

Một số bệnh viện điều trị u máu gan gồm:

Bệnh viện K: Cơ sở 1: Số 43 Quán Sứ, phường Cửa Nam, Hà Nội; Cơ sở 2: Tựu Liệt, phường Hoàng Liệt, Hà Nội; Cơ sở 3 (cơ sở Tân Triều): Số 30 Cầu Bươu, phường Thanh Liệt, Hà Nội.

Bệnh viện Ung Bướu Hà Nội: Số 42A Thanh Nhàn, phường Bạch Mai, Hà Nội.

Bệnh viện Hữu nghị Việt Đức: Số 40 Tràng Thi, phường Hàng Bông, Hà Nội.

Bệnh viện Bạch Mai: Số 78 Giải Phóng, phường Kim Liên, Hà Nội.

Bệnh viện Trung ương Quân đội 108: Số 1 Trần Hưng Đạo, phường Bạch Đằng, Hà Nội.

Bệnh viện Bệnh Nhiệt đới Trung ương: Thôn Bầu, Đông Anh, Hà Nội.

Bệnh viện Quân Y 103: Số 261 Phùng Hưng, phường Phúc La, Hà Nội.

Cứu sống hai người bệnh bị u máu gan khổng lồ

Dù đối mặt với những ca phẫu thuật khó khăn, hai bệnh nhân đều vượt qua nhờ sự tận tâm của các bác sĩ, chứng minh sức mạnh của y đức và niềm tin.

Đôi khi cuộc đời đặt con người trước những thử thách khắc nghiệt, nhưng cũng chính lúc ấy, hy vọng lại lóe lên, dẫn lối bước chân đi tiếp. Hy vọng ấy đến từ sự tận tâm, tài năng và lòng nhân ái của người thầy thuốc.

Hành trình tìm lại niềm tin khi khối u máu khổng lồ khó điều trị

Cứu người đàn ông vỡ khối u gan gây mất máu cấp

Vỡ u gan là biến chứng nguy hiểm hàng đầu ở bệnh nhân xơ gan, ung thư gan. Việc phát hiện sớm, theo dõi chặt và điều trị kịp thời là yếu tố sống còn.

Bệnh viện Đa khoa Hùng Vương Phú Thọ cho biết, các bác sĩ vừa thực hiện cuộc chạy đua giành lại sự sống trong từng giây phút cho người bệnh vỡ u gan sốc mất máu.

Người bệnh nam, 60 tuổi, nhập viện trong tình trạng mất máu cấp do vỡ khối u gan trên nền xơ gan, ung thư biểu mô tế bào gan (HCC). Đây là một biến chứng cực kỳ nguy hiểm, có thể dẫn đến tử vong nếu không được xử trí kịp thời.

Nút mạch cứu sống người đàn ông sốc mất máu do vỡ u gan

Nút mạch cầm máu trong điều trị u gan vỡ là giải pháp tối ưu cứu sống người bệnh bởi ưu điểm ít xâm lấn, bảo tồn gan, ít biến chứng, giảm tỷ lệ tử vong.

Ngày 28/7, Bệnh viện Bãi Cháy cho biết, các bác sĩ bệnh viện đã kịp thời can thiệp, thực hiện kỹ thuật nút mạch cầm máu cứu sống nam bệnh nhân có bệnh lý nền u gan, viêm gan B trong tình trạng sốc mất máu nguy kịch do vỡ u gan. Đây một biến chứng có tỷ lệ tử vong rất cao.

U gan vỡ xuất huyết nặng, máu tràn ổ bụng

Đọc nhiều nhất

Vì sao càng mệt càng khó ngủ?

Vì sao càng mệt càng khó ngủ?

Mệt mỏi không đồng nghĩa với buồn ngủ. Khi não bộ còn căng thẳng và hormone stress tăng cao, giấc ngủ dễ bị chập chờn, thậm chí biến mất hoàn toàn.

Top thực phẩm tốt cho tuyến giáp

Top thực phẩm tốt cho tuyến giáp

Bổ sung hạt điều, hạt bí, trái cây tươi và cá biển để duy trì sức khỏe tuyến giáp, giảm nguy cơ viêm nhiễm và cân bằng hormone tự nhiên.

Tin mới

Top thực phẩm tốt cho tuyến giáp

Top thực phẩm tốt cho tuyến giáp

Bổ sung hạt điều, hạt bí, trái cây tươi và cá biển để duy trì sức khỏe tuyến giáp, giảm nguy cơ viêm nhiễm và cân bằng hormone tự nhiên.

Vì sao càng mệt càng khó ngủ?

Vì sao càng mệt càng khó ngủ?

Mệt mỏi không đồng nghĩa với buồn ngủ. Khi não bộ còn căng thẳng và hormone stress tăng cao, giấc ngủ dễ bị chập chờn, thậm chí biến mất hoàn toàn.

Lợi ích sức khỏe của táo đỏ

Lợi ích sức khỏe của táo đỏ

Đông y cho rằng táo đỏ có tác dụng bổ khí huyết, kiện tỳ vị, an thần nên thường cho vào các bài thuốc có tác dụng bồi bổ cơ thể.