Cơn đau đầu kéo dài, sụp mí không ngờ đột quỵ tuyến yên

Đau đầu là triệu chứng rất thường gặp nhưng đau đầu kéo dài có thể là dấu hiệu cảnh báo những bệnh lý nghiêm trọng, thậm chí đe dọa tính mạng.

Đau đầu kéo dài suốt nhiều tuần, kèm theo sụp mí mắt và nhìn mờ, cô gái trẻ không ngờ mình đang đối mặt với bệnh lý đột quỵ tuyến yên nguy hiểm.

Các bác sĩ khoa Sọ não Cột sống 2 Bệnh viện Đa khoa Xuyên Á đã kịp thời phẫu thuật nội soi lấy u qua đường mũi, giúp bệnh nhân loại bỏ hoàn toàn khối u và hồi phục tích cực. Trường hợp này là lời cảnh báo người dân đừng nên chủ quan với những cơn đau đầu dai dẳng.

Đau đầu, nhìn mờ, liệt mặt do u tuyến yên

Một tháng nay, chị N.T.A.T (27 tuổi, Hóc Môn) thường xuyên bị đau đầu, hoa mắt, chóng mặt kéo dài. Dù chị đã tự dùng thuốc giảm đau, các triệu chứng vẫn không thuyên giảm.

Một tuần trước khi nhập viện, tình trạng trở nên nghiêm trọng hơn khi chị T. càng ngày càng đau đầu dữ dội, cơn đau lan đến vùng tuyến mang tai, chị bị sụp mí mắt, nhìn mờ và liệt mặt một bên.

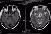
Chị được gia đình đưa đến Bệnh viện Đa khoa Xuyên Á thăm khám, kết quả chụp cộng hưởng từ (MRI) cho thấy có khối u vùng tuyến yên, kèm tình trạng xuất huyết trong u – một biểu hiện của bệnh lý đột quỵ tuyến yên.

dot-quy-tuyen-yen.jpg
Cô gái trẻ không ngờ tình trạng đau đầu lại do đột quỵ tuyến yên - Ảnh BVCC

Tuyến yên là một tuyến nội tiết nhỏ nhưng đóng vai trò quan trọng trong việc điều tiết hormone của cơ thể. Khi u vùng tuyến yên xảy ra xuất huyết, lượng máu tụ trong khối u có thể tăng nhanh, gây chèn ép các cấu trúc xung quanh như dây thần kinh thị giác và não.

Nếu không được phẫu thuật kịp thời, người bệnh có nguy cơ đối mặt với nhiều biến chứng nặng nề như: suy tuyến yên cấp, giảm thị lực, thậm chí mù lòa do chèn ép dây thần kinh thị giác, xuất huyết não dẫn đến tử vong.

Chính vì vậy, đột quỵ tuyến yên là một tình trạng cấp cứu, cần được can thiệp phẫu thuật khẩn cấp.

Phẫu thuật nội soi lấy u tuyến yên qua đường mũi ít xâm lấn, không cần mở sọ

Hiện nay, có hai phương pháp phẫu thuật chính để điều trị u tuyến yên: phẫu thuật nội soi lấy u qua đường mũi và phẫu thuật mở sọ lấy u dưới sự hỗ trợ của kính hiển vi.

Sau khi hội chẩn, các bác sĩ khoa Sọ não Cột sống 2 đã quyết định lựa chọn phương pháp phẫu thuật nội soi lấy u qua đường mũi cho bệnh nhân. Đây là kỹ thuật hiện đại, ít xâm lấn, ít mất máu, cho phép tiếp cận trực tiếp khối u mà không cần mở sọ. Nhờ đó, bệnh nhân giảm đau sau mổ, giảm nguy cơ tổn thương mô não và dây thần kinh.

dot-quy-tuyen-yen-1.jpg
Ê-kíp phẫu thuật cho bệnh nhân bị đột quỵ tuyến yên - Ảnh BVCC

ThS.BS CKII. Huỳnh Văn Vũ, Phó trưởng khoa Sọ não Cột sống 2 Bệnh viện Đa khoa Xuyên Á, trưởng ê-kíp ca mổ chia sẻ: “Thay vì phải mở sọ, vén não để tiếp cận tuyến yên như phương pháp truyền thống, các bác sĩ chỉ cần rạch một đường nhỏ ở cánh mũi để đi vào khoang mũi.

Sau khi tiếp cận hố yên qua xoang bướm, với sự trợ giúp của camera nội soi, các bác sĩ cắt bỏ khối u bằng phương pháp nội soi. Dưới sự hỗ trợ của camera nội soi giúp phẫu thuật viên có góc nhìn tốt và nhờ đó việc phẫu thuật được diễn ra thuận lợi, lấy được trọn khối u, giảm tổn thương thần kinh”.

Sau mổ, bệnh nhân T. hết đau đầu, thị lực cải thiện rõ rệt, không còn mờ mắt, hết liệt mặt, bệnh nhân có thể trở lại sinh hoạt bình thường. Người bệnh tiếp tục được theo dõi và điều trị nội tiết sau mổ.

Trường hợp của bệnh nhân T. là lời cảnh báo người dân: đừng chủ quan với những cơn đau đầu kéo dài, đặc biệt đau đầu dữ dội kèm theo các triệu chứng như sụp mí mắt, nhìn mờ, liệt mặt.

Đau đầu là triệu chứng rất thường gặp trong cuộc sống hằng ngày. Tuy nhiên, trong một số trường hợp, đau đầu kéo dài kèm theo các biểu hiện thần kinh bất thường có thể là dấu hiệu cảnh báo những bệnh lý nghiêm trọng, thậm chí đe dọa tính mạng.

Việc thăm khám chuyên khoa kịp thời có thể giúp người bệnh phát hiện sớm những bệnh lý nguy hiểm, từ đó tăng khả năng cứu sống và hạn chế biến chứng lâu dài.

Bất thường ở mắt không ngờ u não khổng lồ

Khuyết thị trường thường tiến triển âm thầm, người bệnh rất khó tự nhận ra, chỉ phát hiện khi tình trạng đã nặng.

Các bác sĩ Khoa Mắt - Bệnh viện Bạch Mai, vừa tiếp nhận và phát hiện một ca bệnh cho thấy những bất thường ở mắt có thể là “chìa khóa” phát hiện bệnh lý nghiêm trọng toàn thân. U tuyến yên là một trong những bệnh lý có liên quan tới bất thường ở mắt.

Nhìn mờ kéo dài - dấu hiệu không thể chủ quan

10 năm mờ mắt kéo dài không phát hiện nguyên nhân từ hệ thần kinh

U tuyến yên khổng lồ và các bệnh lý u sàn sọ phức tạp luôn là thách thức lớn trong chuyên ngành phẫu thuật thần kinh

Ngày 4/12, Bệnh viện Chợ Rẫy cho biết, lần đầu tiên tại Việt Nam các bác sĩ tại bệnh viện đã ứng dụng hệ thống phẫu thuật nội soi thần kinh hiện đại 4K – ICG lấy thành công khối u tuyến yên khổng lồ cho người bệnh 77 tuổi.

10 năm thị lực suy giảm vì u tuyến yên khổng lồ mà không tìm ra bệnh

Sốt tiểu buốt kéo dài không khỏi vì sỏi san hô gây nhiễm khuẩn

Kỹ thuật tán sỏi qua da giúp loại bỏ sỏi san hô lớn, giảm nguy cơ nhiễm khuẩn và duy trì chức năng thận cho bệnh nhân.

Trung tâm y tế khu vực Yên Lập Phú Thọ vừa điều trị thành công cho một người bệnh thoát khỏi sỏi thận lớn và nhiễm khuẩn kéo dài, tái đi tái lại nhờ kỹ thuật tán sỏi qua da.

Trong thời gian dài, người bệnh nữ 64 tuổi liên tục phải chịu đựng những đợt nhiễm khuẩn tiết niệu tái đi tái lại, mỗi lần xuất hiện đều kèm theo sốt, tiểu buốt, đau vùng hố thắt lưng, mệt mỏi nhiều khiến cuộc sống sinh hoạt bị đảo lộn.

Đọc nhiều nhất

Tin mới

Đi khám sức khỏe phát hiện ung thư amidan

Đi khám sức khỏe phát hiện ung thư amidan

Người dân cần chủ động thăm khám sức khỏe định kỳ, đặc biệt khi có dấu hiệu bất thường vùng tai mũi họng, đau họng kéo dài, nuốt vướng, khàn tiếng, nổi hạch cổ…