![]() |
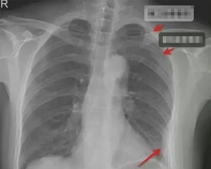
| Phim chụp cho thấy, cô bị gãy 2 xương sườn trước bên phải và 1 xương sườn bên trái. |
Mời quý độc giả xem thêm video: Quái xế chạy xe tốc độ cao, tông gãy chân CSGT (Nguồn video: THĐT)
![]() |
| Phim chụp cho thấy, cô bị gãy 2 xương sườn trước bên phải và 1 xương sườn bên trái. |
Mời quý độc giả xem thêm video: Quái xế chạy xe tốc độ cao, tông gãy chân CSGT (Nguồn video: THĐT)
Người già xương cốt yếu hơn, giòn hơn, sợ nhất là gãy xương. Mới đây, tại Hàng Châu, Chiết Giang, Trung Quốc đã xảy ra sự việc hy hữu, một cụ bà 93 tuổi họ Lưu đi khám vì chứng đau mông không thể giải thích được, không ngờ qua thăm khám lại phát hiện bị gãy cổ xương hông đùi.
Phát hiện này khiến bà Lưu và gia đình bàng hoàng, rõ ràng bà Lưu không bị ngã, không va đập, không bị thương, tại sao lại có thể gãy xương. Cuối cùng, suy nghĩ mãi, bà Lưu mới chợt nhận ra, nguyên nhân khiến bà gãy xương là do... một con gián.
Theo thông tin đăng tải, bà Lưu cho biết, một buổi đêm vài ngày trước, bà thức dậy và đi vệ sinh. Nhìn thấy trên sàn nhà tắm có con gián, bà vội vã nhấc chân lên dẫm chết. Vì không dùng nhiều sức, bà Lưu không để ý gì. Mãi đến lúc mông đột nhiên đau ê ẩm, bà cũng chưa từng nghĩ rằng chỉ vì một cái dậm chân hơi mạnh chút mà lại bị gãy xương.
![]() |
| Người già dễ bị gãy xương không rõ nguyên nhân. - Ảnh minh họa. |
"Tôi chỉ đạp con gián một cái, căn bản không dùng đến sức, không thể tin được chỉ vì vậy mà lại gãy xương", bà Lưu nói.
Về vấn đề này, bác sĩ cho biết không hiếm trường hợp gãy xương "không thể giải thích được" như vậy xảy ra ở những người cao tuổi tầm 80, 90.
Những trường hợp gãy xương như vậy là do loãng xương ở người già, bởi xương ở người cao tuổi có đặc tính giòn, kém chất lượng, chỉ cần sơ ý là cũng bị tổn thương.
Bác sĩ cũng giải thích rằng, trong suốt cuộc đời, khối lượng xương của một người có xu hướng hình parabol, khi sinh ra khối lượng xương sẽ ít, theo tuổi tác, khối lượng xương tăng lên và đạt giá trị xương đạt cao nhất trong độ tuổi từ 30 đến 35, sau đó sẽ giảm 0,5% mỗi năm. Hậu quả trực tiếp nhất của loãng xương là tỷ lệ gãy xương tăng lên đáng kể, nhất là đối với người cao tuổi, một khi bị gãy xương sẽ ảnh hưởng rất lớn đến sức khỏe.
Hông là bộ phận kết nối thân và chi dưới, liên quan nhiều chất lượng cuộc sống trong quãng đời còn lại. Ngoài ra, xương cũng ngày càng già đi, yếu đi. Cùng một lực tác động tương tự, người trẻ có thể không bị sao, còn người già có thể bị gãy xương. Vì vậy, chỉ cần người già bị bong gân hoặc ngã, họ dễ bị gãy xương hông, ngay cả khi không có chấn thương rõ ràng.
Để phòng tránh gãy xương hông, trước hết người cao tuổi phải tích cực thực hiện các hoạt động phù hợp như đi bộ hàng ngày.
Thứ hai, trong quá trình sinh hoạt hàng ngày phải luôn cảnh giác để tránh bị chấn thương, dù nằm xuống hay đứng dậy cũng phải từ từ.
Chú ý đến việc chống trượt, điều quan trọng nhất là tích cực phòng ngừa loãng xương, ngoài việc tập thể dục thể thao nên tích cực bổ sung canxi.
Mùa đông, cơ thể dễ mệt mỏi, cần tăng sức đề kháng. Cá lóc, cá trắm đen, cá lăng được ví “sâm nước” nhờ giàu dinh dưỡng, dễ chế biến món ngon.
Canh khoai tây nấu rau cần đang là ‘hot trend’ ẩm thực, vừa ngon miệng, dễ làm vừa mang lại lợi ích bất ngờ cho sức khỏe.
Bệnh viện Sản – Nhi tỉnh Quảng Ngãi đã phẫu thuật thành công lấy búi tóc nặng 0,5 kg trong dạ dày một bệnh nhi 6 tuổi.
Bé trai sinh non tháng 33 tuần, nặng 1900 g, suy hô hấp đã được tiến hành hồi sức, hỗ trợ hô hấp và theo dõi sát.
Rất nhiều tai nạn liên quan đến máy móc, người dân cần cẩn trọng với tai nạn trong quá trình sinh hoạt và lao động.
Các bác sĩ ở Hưng Yên đã cứu sống bệnh nhân lớn tuổi bị thủng túi thừa ruột, cảnh báo người dân không chủ quan với dấu hiệu đau bụng kéo dài.
Ở ranh giới mong manh giữa sự sống và tử vong, các bác sĩ vừa xử trí cầm máu khẩn cấp, vừa thận trọng từng thao tác để bảo vệ mầm sống còn lại trong tử cung.
Rất nhiều tai nạn liên quan đến máy móc, người dân cần cẩn trọng với tai nạn trong quá trình sinh hoạt và lao động.
Ở ranh giới mong manh giữa sự sống và tử vong, các bác sĩ vừa xử trí cầm máu khẩn cấp, vừa thận trọng từng thao tác để bảo vệ mầm sống còn lại trong tử cung.
Bé trai sinh non tháng 33 tuần, nặng 1900 g, suy hô hấp đã được tiến hành hồi sức, hỗ trợ hô hấp và theo dõi sát.
Bệnh viện Sản – Nhi tỉnh Quảng Ngãi đã phẫu thuật thành công lấy búi tóc nặng 0,5 kg trong dạ dày một bệnh nhi 6 tuổi.
Các bác sĩ ở Hưng Yên đã cứu sống bệnh nhân lớn tuổi bị thủng túi thừa ruột, cảnh báo người dân không chủ quan với dấu hiệu đau bụng kéo dài.
Mùa đông, cơ thể dễ mệt mỏi, cần tăng sức đề kháng. Cá lóc, cá trắm đen, cá lăng được ví “sâm nước” nhờ giàu dinh dưỡng, dễ chế biến món ngon.
Canh khoai tây nấu rau cần đang là ‘hot trend’ ẩm thực, vừa ngon miệng, dễ làm vừa mang lại lợi ích bất ngờ cho sức khỏe.
Cháo lòng hấp dẫn nhưng không phải ai cũng phù hợp. Người tiêu hóa kém, thai phụ, cao tuổi hay tim mạch nên hạn chế để đảm bảo sức khỏe.
Tăng triglycerid không chỉ gây viêm tụy cấp tính mà còn khiến mỡ tích lại trong gan, gây nên gan nhiễm mỡ và cuối cùng là xơ gan.
Các khối u tăng sinh mạch máu quá mức có thể gây vỡ các mạch máu này dẫn đến tình trạng xuất huyết ồ ạt.
Các mẹo chữa trị giúp người bệnh vảy nến giảm triệu chứng, thúc đẩy làm lành các tổn thương da.
Khoai tây chứa vitamin và enzyme giúp làm sáng, giảm thâm, nếp nhăn và thúc đẩy sản xuất collagen, mang lại làn da khỏe mạnh và trẻ trung.
Cân bằng giữa công việc và nuôi con là thách thức với nhiều phụ huynh. Bí quyết linh hoạt, chia sẻ và chăm sóc bản thân giúp vượt áp lực.
Nước đậu đen rang chứa nhiều dưỡng chất, nước đậu đen giúp giảm huyết áp, kiểm soát đường huyết, nâng cao miễn dịch, chống lão hóa và làm đẹp tự nhiên.
Một bệnh nhân trở về từ Cameroon - châu Phi mắc sốt rét ác tính đã hồi phục sau điều trị, nhấn mạnh vai trò phòng ngừa và ý thức cộng đồng trong kiểm soát bệnh.
Kết hợp lâm sàng và các xét nghiệm đặc biệt, các bác sĩ đã phát hiện, xử lý kịp thời túi phình mạch não vỡ hiếm gặp ở người phụ nữ trẻ, tránh nguy cơ tử vong.
Đột quỵ - căn bệnh vốn được coi là của người lớn xuất hiện ngày càng nhiều ở người trẻ tuổi, với biểu hiện không rõ ràng nhưng diễn biến đột ngột và nguy hiểm.
Cuộc hôn nhân của Hà An kết thúc chóng vánh sau 1 năm, khi cô phát hiện chồng lén lút qua lại với bạn gái cũ.
Tôi không ngờ có tình huống khó xử như vậy xảy ra với gia đình mình. Nghe chị H. kể, tôi tức sôi máu.
"Chúng tôi chạy ra cửa sổ nhưng khói và hơi nóng quá dày đặc, không thể thở nổi nên buộc phải nhảy xuống”, nạn nhân vụ cháy quán ăn nghiêm trọng ở TP HCM kể.