Nang ruột đôi cần phát hiện sớm tránh biến chứng cho trẻ

Nang ruột đôi là một dị tật bẩm sinh hiếm gặp (1/4500), túi hình ống hoặc hình cầu phát triển thừa ra và dính vào đường tiêu hóa.

nang-ruot.jpg
Siêu âm phát hiện chính xác trẻ bị vỡ nang ruột đôi - Ảnh BVCC

Bệnh viện Nhi Thanh Hóa vừa thực hiện phẫu thuật thành công ca bệnh viêm phúc mạc ruột thừa do nang ruột đôi vỡ. Thành công của ca bệnh là nhờ sự phối hợp nhịp nhàng, thuần thục của các bác sĩ chẩn đoán, điều trị và ê- kíp phẫu thuật.

Đặc biệt, việc chẩn đoán sớm trước mổ đã giúp định hướng phẫu thuật thành công, giúp hạn chế tối đa biến chứng cho bệnh nhân.

Theo đó, bệnh nhân nam, 7 tuổi, vào viện với lý do sốt, đau bụng. Bệnh nhi được khám lâm sàng, chỉ định làm các xét nghiệm cận lâm sàng và chẩn đoán hình ảnh.

nang-ruot-1.jpg
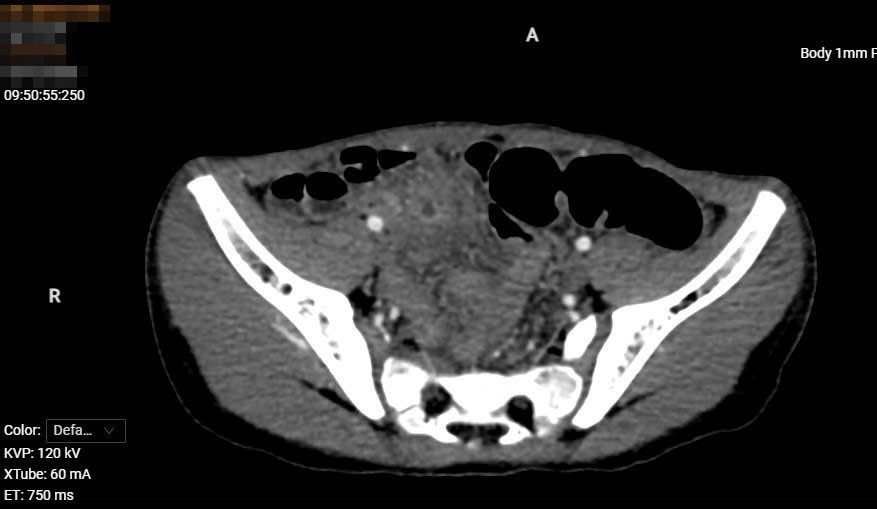
Hình ảnh vỡ nang ruột đôi trên phim chụp - Ảnh BVCC

Sau khi bệnh nhân được siêu âm và cắt lớp vi tính thấy: Hố chậu phải có cấu trúc dạng dịch, thành của cấu trúc này có các lớp giống với các lớp của thành ống tiêu hóa, ngấm thuốc mạnh sau tiêm. Dịch bên trong cấu trúc này không đồng nhất. Thành của cấu trúc này có vị trí mất liên tục, thâm nhiễm xung quanh.

Ngay lúc này, bệnh nhân được hội chẩn liên chuyên khoa bởi các bác sĩ Chẩn đoán hình ảnh, Ngoại tổng hợp, Gây mê hồi sức. Bệnh nhân được chẩn đoán viêm phúc mạc khu trú hố chậu phải nghĩ đến nguyên nhân do nang ruột đôi vỡ. Các bác sĩ đã thống nhất thực hiện phẫu thuật mổ cấp cứu cho bệnh nhân.

Hiện tại, sau 2 ngày phẫu thuật, bệnh nhi đã ổn định, vết mổ khô và tiếp tục được theo dõi, chăm sóc tích cực tại khoa Ngoại tổng hợp.

giay-to-1.jpg
Hình ảnh vỡ nang trên phim chụp - Ảnh BVCC

Theo BSCK1 Trần Sỹ Đạt, Khoa Chẩn đoán hình ảnh cho biết: Nang ruột đôi là một dị tật bẩm sinh hiếm gặp (1/4500), một túi hình ống hoặc hình cầu phát triển thừa ra và dính vào đường tiêu hóa, thành của cấu trúc này có cấu trúc các lớp tương tự thành của ống tiêu hóa, thường gặp ở hồi tràng.

Nang ruột đôi có thể được phát hiện một cách tình cờ hoặc khi nang ruột đôi gây ra các biến chứng như đau bụng, nôn, tắc ruột, thậm chí là nang vỡ gây chảy máu, viêm phúc mạc…

Việc chẩn đoán nang ruột đôi chủ yếu dựa vào các phương tiện chẩn đoán hình ảnh như: Siêu âm, chụp cắt lớp vi tính hoặc MRI. Việc chẩn đoán nang ruột đôi sau khi nang đã vỡ là vô cùng khó khăn, đòi hỏi trình độ chuyên môn bác sĩ và trang thiết bị hiện đại.

Lấy trọn khối u xơ tử cung nặng 4 kg cho người phụ nữ Campuchia

Các bác sĩ đã tiến hành cắt trọn khối u xơ tử cung, đồng thời cắt đoạn ruột non dính vào khối u và nối ruột an toàn.

Bệnh viện Hùng Vương Gia Lai, khoa Phụ sản vừa phối hợp cùng khoa Ngoại Tổng hợp và khoa Phẫu thuật – Gây mê Hồi sức phẫu thuật thành công ca u xơ tử cung khổng lồ biến chứng phức tạp, lấy trọn khối u nặng 4 kg cho bệnh nhân M.P (47 tuổi, trú tại tỉnh Ratanakiri – Campuchia).

BS.CKII Trần Thị Thảo – Trưởng khoa Phụ sản cho biết, bệnh nhân đã triệt sản, mất kinh khoảng 6 tháng, phát hiện u xơ tử cung từ lâu nhưng không điều trị.

Lợi ích của bài tập gập bụng

Bài tập gập bụng giúp săn chắc cơ bụng, tăng cường sức mạnh cốt lõi, cải thiện tư thế, và hỗ trợ giảm đau lưng.

Tập cơ bụng hay gập bụng là một động tác tập luyện cúi thấp người, giúp làm thon gọn vòng 2 và làm mỡ vùng eo. Khi tập động tác này, bạn không cần phải sử dụng bất kỳ dụng cụ nào khác. Hoặc một số người sẽ lựa chọn thêm một chiếc tạ để tăng thêm áp lực. Dưới đây sẽ là một số những lợi ích của gập bụng:

Tăng cường cơ bụng

Đọc nhiều nhất

Tin mới