Hội chẩn liên viện cứu sống trẻ 5 tuổi chấn thương sọ não nặng

Việc quyết định phẫu thuật cấp cứu ngay tại tuyến dưới, với sự hỗ trợ trực tiếp của ê-kíp chuyên sâu giải phóng khối máu tụ, ngăn hôn mê, di chứng thần kinh.

Trong đêm 10/02/2026, Bệnh viện Đa khoa khu vực Tiên Yên đã phối hợp với ê-kíp phẫu thuật của Bệnh viện Đa khoa tỉnh Quảng Ninh, hội chẩn liên viện kịp thời phẫu thuật cấp cứu thành công một ca chấn thương sọ não nặng, nguy cơ tử vong cao ở bệnh nhi 5 tuổi.

Bệnh nhi được đưa vào Bệnh viện Đa khoa khu vực Tiên Yên trong tình trạng chấn thương sọ não nặng do tai nạn sinh hoạt, với nhiều dấu hiệu tổn thương nghiêm trọng.

so-nao.jpg
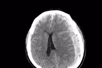
Hình ảnh tổn thương xương sọ trên phim chụp - Ảnh BVCC

Kết quả thăm khám và chẩn đoán hình ảnh cho thấy gãy xương sọ phức tạp nhiều mảnh di lệch, kèm xuất huyết nội sọ, dập não khu trú vùng trán, phù não và nguy cơ tổn thương màng cứng, nhu mô não.

Đây là tổn thương đặc biệt nguy hiểm ở trẻ nhỏ, có thể nhanh chóng dẫn đến tăng áp lực nội sọ, phù não tiến triển, rối loạn ý thức và để lại di chứng thần kinh nặng nề nếu không được phẫu thuật kịp thời.

Ngay sau khi có kết quả chụp CT sọ não, nhận định được tình huống khẩn cấp bệnh viện Đa khoa khu vực Tiên Yên đã chủ động xin hội chẩn và đề nghị hỗ trợ chuyên môn từ Bệnh viện Đa khoa tỉnh Quảng Ninh.

Trên cơ sở đánh giá mức độ tổn thương, xác định là ca chấn thương sọ não phức tạp, chỉ định phẫu thuật cấp cứu không trì hoãn và cần can thiệp ngay tại chỗ, tránh nguy cơ diễn biến xấu trong quá trình chuyển tuyến.

so-nao-2.jpg
Ê-kíp phẫu thuật cho bệnh nhi - Ảnh BVCC

Ê-kíp hỗ trợ của Bệnh viện Đa khoa tỉnh Quảng Ninh do BsCKII Nguyễn Tiến Dũng – Phó Giám đốc Bệnh viện cùng các bác sĩ chuyên khoa Phẫu thuật Thần kinh – Cột sống và Gây mê hồi sức đã nhanh chóng di chuyển đến Bệnh viện Đa khoa khu vực Tiên Yên để trực tiếp tham gia phẫu thuật.

Trong quá trình mổ, ê-kíp đã tiếp cận vùng tổn thương, tiến hành lấy bỏ khối máu tụ ngoài màng cứng và trong nhu mô não, xử trí các ổ dập não, cầm máu triệt để, đồng thời làm sạch và tạo hình lại xương sọ nhằm bảo vệ tối đa cấu trúc não bộ cho bệnh nhi.

Sau gần 2 giờ phẫu thuật, với 300 ml máu được truyền bù, ca mổ đã diễn ra an toàn, đạt được mục tiêu giải phóng chèn ép não và kiểm soát tổn thương. Bệnh nhi được chuyển về phòng hậu phẫu để tiếp tục theo dõi và điều trị tích cực.

Đánh giá sau phẫu thuật, BSCKII Nguyễn Tiến Dũng cho biết: “Ngay khi tiếp nhận đề nghị hỗ trợ từ Bệnh viện Đa khoa khu vực Tiên Yên, chúng tôi xác định đây là ca chấn thương sọ não nặng, đe dọa trực tiếp đến tính mạng và chức năng thần kinh của trẻ.

Việc quyết định phẫu thuật cấp cứu ngay tại tuyến dưới, với sự hỗ trợ trực tiếp của ê-kíp chuyên sâu, là yếu tố then chốt giúp giải phóng khối máu tụ, giảm chèn ép não và ngăn ngừa nguy cơ hôn mê, di chứng thần kinh nặng hoặc tử vong”.

so-nao-1.jpg
Hồi sức cho bệnh nhân trước khi phẫu thuật - Ảnh BVCC

BSCKI Trịnh Văn Thủy, Trưởng khoa Ngoại bệnh viện Đa khoa khu vực Tiên Yên cũng chia sẻ thêm, ca phẫu thuật thành công không chỉ cứu sống bệnh nhi mà còn khẳng định hiệu quả thiết thực của mô hình hội chẩn chuyên môn liên viện và công tác hỗ trợ, chỉ đạo giữa các tuyến, góp phần nâng cao năng lực xử trí các ca bệnh nặng ngay tại địa phương, giảm nguy cơ chuyển tuyến và đảm bảo cơ hội sống cũng như chất lượng hồi phục cho người bệnh, đặc biệt là trẻ em.

Kỳ tích cứu sống bệnh nhân ở Bắc Ninh bị chấn thương sọ não nặng

Nhờ phản ứng nhanh và kỹ thuật cao, đội ngũ y bác sĩ đã cứu sống bệnh nhân hôn mê sâu, mở ra hy vọng cho các ca chấn thương nghiêm trọng.

Bệnh viện Đa khoa Bắc Ninh số 1 vừa cứu sống một bệnh nhân chấn thương sọ não nặng.

Trước đó, bệnh nhân Đ.T.H (42 tuổi, trú tại Tân Yên, Bắc Ninh) được đưa vào viện trong tình trạng hôn mê sâu sau tai nạn.

1 giờ sau ngã tại nhà, cụ ông 70 tuổi nhanh chóng hôn mê

Ca bệnh diễn biến rất nhanh, nguy kịch, đòi hỏi quyết định chính xác và phối hợp tức thời giữa cấp cứu, chẩn đoán hình ảnh, phẫu thuật thần kinh.

Bệnh viện 19-8 vừa thực hiện thành công ca cấp cứu nguy kịch cho người bệnh chấn thương sọ não nặng sau ngã tại nhà.

Theo đó, ngày 24/12/2025, Khoa Cấp cứu A9 – Bệnh viện 19-8, Bộ Công an đã tiếp nhận và xử trí khẩn cấp một trường hợp chấn thương sọ não nặng ở người cao tuổi do tai nạn sinh hoạt.

Đọc nhiều nhất

Tin mới