Bệnh phổi trắng là gì?
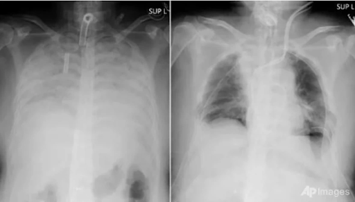
Hội chứng phổi trắng (thường được mọi người gọi là bệnh phổi trắng hay phổi khô) là chỉ tình trạng phổi có màu trắng xoá trên phim chụp X quang.
Chụp X quang phổi là một kỹ thuật quen thuộc trong y khoa. Máy chụp X quang sẽ phát ra những chùm tia X bức xạ cao xuyên qua các cơ quan, dựa trên mức độ hấp thụ và phản hồi của tia X mà cho ra hình ảnh các cơ quan như: phổi, tim, mạch máu,.. trên phim X quang. Các cơ quan, tổ chức bên trong lồng ngực sẽ hiển thị trên phim X quang với các màu sắc trắng, xám, đen với mức độ đậm nhạt khác nhau.
Bình thường, một lá phổi khỏe mạnh khi chụp phim X-quang, thì sẽ thấy phổi trong (hình ảnh hiển thị máu đen). Tuy nhiên, do viêm phổi hoặc bệnh lý khác dẫn đến phim phổi có hình ảnh trắng bất thường.
Ngoài ra, một số triệu chứng chính của bệnh phổi trắng như:
- Ho khan, ho kéo dài, có thể kèm theo đờm
- Khó thở, thở khò khè.
- Đau ngực
- Sốt
- Nhức đầu
- Mệt mỏi
![]() |
| Hình ảnh X-quang phổi trắng (Ảnh minh họa) |
Nguyên nhân gây phổi trắng
Viêm phổi do Mycoplasma pneumoniae
Viêm phổi do các tác nhân vi khuẩn, vi rút, nấm,... có khả năng gây bệnh phổi trắng. Đặc biệt, viêm phổi do vi khuẩn Mycoplasma pneumoniae gây bệnh phổi trắng có xu hướng tăng gần đây.
Khói thuốc lá
Ở những người hút thuốc lá thường xuyên, tỷ lệ mắc bệnh phổi như: bệnh phổi trắng, viêm phổi, tràn dịch màng phổi, lao phổi, ung thư phổi,... tăng cao đáng kể. Bên cạnh đó, hút thuốc lá thụ động (những người hít phải khói thuốc lá) cũng có nguy cơ mắc các bệnh về phổi, đặc biệt là hội chứng phổi trắng.
