Chấn thương sọ não sau lên cơn động kinh, cách gì phát hiện sớm?

Sau cơn động kinh, chấn thương đầu có thể dẫn đến: Xuất huyết nội sọ, vỡ xương sọ, tăng nguy cơ co giật tái diễn.

Khoa Ngoại thần kinh – Bệnh viện 19-8 vừa phẫu thuật thành công 1 trường hợp bệnh nhân nam 55 tuổi bị xuất huyết não trán – thái dương phải do ngã sau cơn động kinh.

Theo đó, bệnh nhân vào viện trong tình trạng lơ mơ, Glasgow 12 điểm, liệt nửa người trái.

Bệnh nhân đã được phẫu thuật cấp cứu lấy máu tụ kịp thời.

Sau mổ 2 ngày, bệnh nhân tỉnh, GCS (Glasgow Coma Scale) 15 điểm (có nghĩa là bệnh nhân hoàn toàn tỉnh táo), cai được thở máy, cơ lực nửa người trái cải thiện, phục hồi tốt.

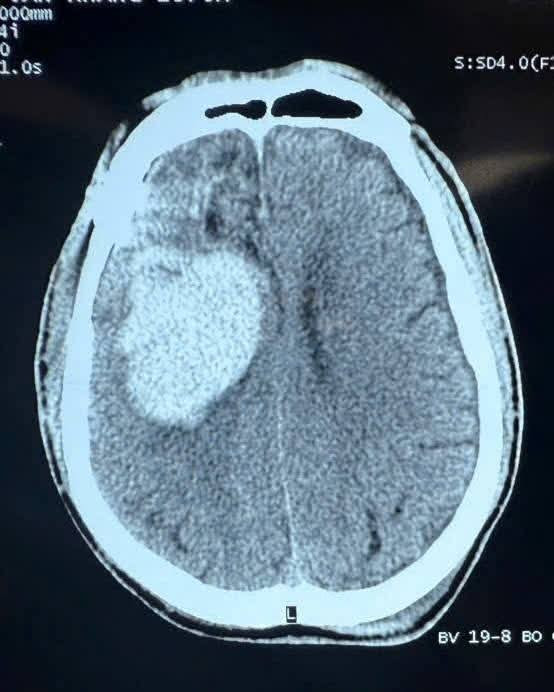
chan-thuong-1.jpg
Hình ảnh chấn thương não sau cơn động kinh - Ảnh BSCC

Vì sao dễ xảy ra ngã ở người bệnh động kinh?

Trong cơn co giật (đặc biệt là động kinh toàn thể – cơn co cứng – co giật), người bệnh thường xuất hiện:

Mất ý thức hoàn toàn.

Mất kiểm soát trương lực cơ dẫn đến ngã đột ngột.

Va đập đầu vào nền nhà, tường, cạnh bàn, đồ vật.

Do đó, chấn thương sọ não là một biến chứng tương đối thường gặp.

Khi nào nguy hiểm?

Sau cơn động kinh, chấn thương đầu có thể dẫn đến:

Xuất huyết nội sọ: Máu tụ dưới màng cứng (SDH); Máu tụ ngoài màng cứng (EDH); Xuất huyết dưới nhện; Dập não – phù não.

Vỡ xương sọ

Tăng nguy cơ co giật tái diễn

Do tổn thương cấu trúc não.

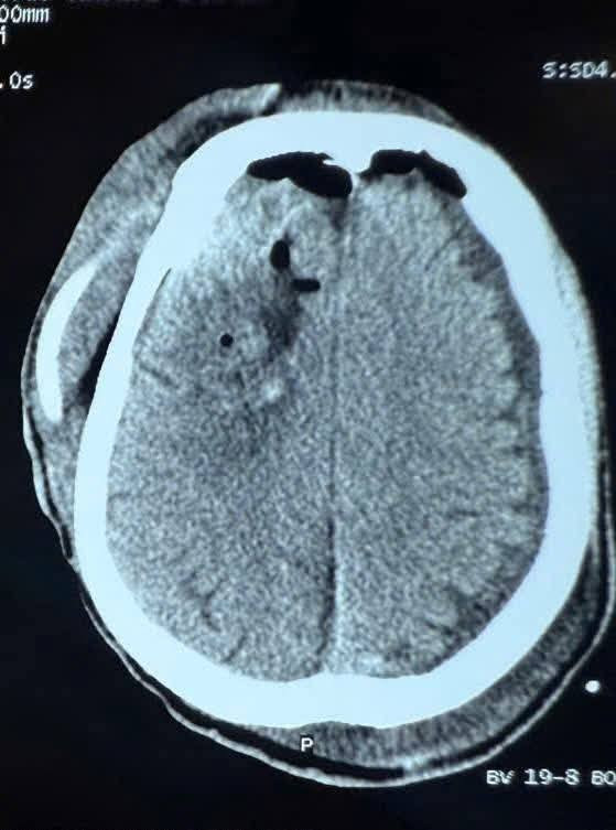
chan-tuong.jpg
Hình ảnh chấn thương não trên phim chụp - Ảnh BSCC

Dấu hiệu cảnh báo chấn thương sọ não sau cơn động kinh (cần đi viện ngay)

Mất ý thức kéo dài hơn bình thường sau cơn (>15–20 phút chưa tỉnh rõ).

Đau đầu tăng dần sau vài giờ đến vài ngày.

Nôn ói liên tục.

Lú lẫn, nói khó, yếu tay chân.

Mắt mờ, nhìn đôi.

Co giật lặp lại trong thời gian ngắn.

Chảy máu tai – mũi, bầm tím quanh mắt hoặc sau tai (dấu hiệu vỡ nền sọ).

Trẻ nhỏ hoặc người già: ngủ li bì bất thường.

Với đội ngũ bác sĩ giàu kinh nghiệm và hệ thống trang thiết bị tiên tiến, Khoa Ngoại thần kinh – Bệnh viện 19-8 là địa chỉ tin cậy trong điều trị bệnh lý sọ não và cột sống, mang lại kết quả an toàn, hiệu quả cho người bệnh.

BSCKI Vũ Anh Tuấn (Khoa Ngoại thần kinh, Bệnh Viện 19-8)

10 năm mờ mắt kéo dài không phát hiện nguyên nhân từ hệ thần kinh

U tuyến yên khổng lồ và các bệnh lý u sàn sọ phức tạp luôn là thách thức lớn trong chuyên ngành phẫu thuật thần kinh

Ngày 4/12, Bệnh viện Chợ Rẫy cho biết, lần đầu tiên tại Việt Nam các bác sĩ tại bệnh viện đã ứng dụng hệ thống phẫu thuật nội soi thần kinh hiện đại 4K – ICG lấy thành công khối u tuyến yên khổng lồ cho người bệnh 77 tuổi.

10 năm thị lực suy giảm vì u tuyến yên khổng lồ mà không tìm ra bệnh

Thoát khỏi những cơn động kinh đeo đẳng suốt 3 thập kỷ

Sau 31 năm chịu đựng, anh H. đã kiểm soát thành công cơn động kinh nhờ phẫu thuật tại Bệnh viện Việt Đức.

Hành trình tìm “ổ phát động kinh” 31 năm

Khởi phát những cơn động kinh đầu tiên khi mới 7 tuổi, suốt hơn 31 năm, anh H sống trong nỗi ám ảnh bởi bệnh tật. Dù đã điều trị bằng thuốc tại nhiều bệnh viện, tình trạng vẫn không cải thiện.

Công ty Thuận Thiên bán thuốc động kinh nhập khẩu không phép, nguy hại sao?

Theo Bộ Y tế, các vi phạm liên quan đến nhập khẩu thuốc không phép, đặc biệt là thuốc độc và thuốc kê đơn, tiềm ẩn nhiều rủi ro đối với sức khỏe người dân.

Mới đây, Cục Quản lý Dược (Bộ Y tế) đã ban hành quyết định xử phạt hành chính đối với Công ty TNHH Thương mại Dược phẩm Thuận Thiên (trụ sở tại xã Phong Phú, huyện Bình Chánh, TP HCM) vì có hành vi bán thuốc thuộc danh mục thuốc độc được nhập khẩu nhưng không có giấy phép nhập khẩu.

Tiêu hủy hàng nghìn hộp thuốc độc nhập khẩu không phép

Đọc nhiều nhất

Lợi ích sức khỏe của táo đỏ

Lợi ích sức khỏe của táo đỏ

Đông y cho rằng táo đỏ có tác dụng bổ khí huyết, kiện tỳ vị, an thần nên thường cho vào các bài thuốc có tác dụng bồi bổ cơ thể.
Vì sao càng mệt càng khó ngủ?

Vì sao càng mệt càng khó ngủ?

Mệt mỏi không đồng nghĩa với buồn ngủ. Khi não bộ còn căng thẳng và hormone stress tăng cao, giấc ngủ dễ bị chập chờn, thậm chí biến mất hoàn toàn.

Tin mới

Vì sao càng mệt càng khó ngủ?

Vì sao càng mệt càng khó ngủ?

Mệt mỏi không đồng nghĩa với buồn ngủ. Khi não bộ còn căng thẳng và hormone stress tăng cao, giấc ngủ dễ bị chập chờn, thậm chí biến mất hoàn toàn.

Lợi ích sức khỏe của táo đỏ

Lợi ích sức khỏe của táo đỏ

Đông y cho rằng táo đỏ có tác dụng bổ khí huyết, kiện tỳ vị, an thần nên thường cho vào các bài thuốc có tác dụng bồi bổ cơ thể.