Báo Tri thức và Cuộc sống - TIN TỨC PHỔ BIẾN KIẾN THỨC 24H
Hà Nội

KHDS VNDAILY DoiSong TamNhin
  • Trang chủ
  • Trending
  • Vusta - Tri thức KH&CN
  • Nhà khoa học
  • Kiến thức cần biết
  • Thời sự 24h
    Chính trị Xã hội Thế giới Kinh doanh Bất động sản Sống xanh Bạn đọc Doanh nghiệp
  • Khoa học & Công nghệ
    Nhà khoa học Kho tri thức Giải mã Quân sự Số hóa Xe Sống đạo
  • Đời sống & Giải trí
    Sống Khỏe Đời sống Giải trí Thể thao Du lịch Cộng đồng trẻ Sốt mạng
  • Spotlight
    Gallery Video Podcast e-Magazine
  • Xem thêm
Trending Vusta & Trí thức KH&CN Nhìn thẳng - Nói thật Kiến thức cần biết Cải chính Đọc Báo in KH&ĐS
Thời sự 24h Chính trị Xã hội Thế giới Kinh doanh Bất động sản Sống xanh Bạn đọc Doanh nghiệp
Khoa học & Công nghệ Nhà khoa học Kho tri thức Giải mã Quân sự Số hóa Xe Sống đạo
Đời sống & Giải trí Sống Khỏe Đời sống Giải trí Thể thao Du lịch Cộng đồng trẻ Sốt mạng
Spotlight Gallery Video Podcast e-Magazine

Từ khóa: Nuốt xương cá

Nuốt phải xương, người đàn ông 58 tuổi bị thủng đại tràng

Nuốt phải xương, người đàn ông 58 tuổi bị thủng đại tràng

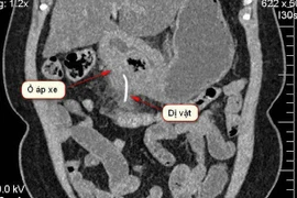
Bệnh viện Thống Nhất, TP HCM vừa phẫu thuật thành công cho người đàn ông bị thủng đại tràng, áp xe gan do nuốt phải xương.

Người phụ nữ 61 tuổi bị xương cá xuyên thủng thành ruột non

Người phụ nữ 61 tuổi bị xương cá xuyên thủng thành ruột non

Xương cá có đầu sắc nhọn di chuyển trong hệ tiêu hóa có thể đâm vào thành ruột gây phù nề, viêm nhiễm, tạo ổ áp xe, thậm chí có thể hoại tử gây thủng ruột.
Cố nuốt xương cá khi hóc, người phụ nữ thủng ruột suýt chết

Cố nuốt xương cá khi hóc, người phụ nữ thủng ruột suýt chết

Cố gắng nuốt mảnh xương cá bị mắc trong cổ họng, người phụ nữ không ngờ bị xương cá đâm thủng ruột, viêm phúc mạc, tình huống nguy kịch.
Suýt mất mạng vì hóc xương cá

Suýt mất mạng vì hóc xương cá

Sau khi bị hóc xương cá, người phụ nữ 64 tuổi ở Tiền Giang dùng tay móc họng nhiều lần khiến cổ sưng to.
Viêm phúc mạc vì nuốt phải xương cá

Viêm phúc mạc vì nuốt phải xương cá

(khoahocdoisong.vn) - Trẻ em và người cao tuổi phải thận trọng khi ăn cá vì nếu nuốt phải xương, dễ dẫn đến viêm phúc mạc, thủng đại tràng do xương cá.
Nuốt tọt xương cá dài 5cm, người phụ nữ chỉ chậm chút nữa thì có thể tử vong

Nuốt tọt xương cá dài 5cm, người phụ nữ chỉ chậm chút nữa thì có thể tử vong

Vô tình nuốt xương cá, chiếc xương nhọn tạo áp xe suýt chút nữa làm thủng dạ dày người phụ nữ.
Báo Tri thức và Cuộc sống - TIN TỨC PHỔ BIẾN KIẾN THỨC 24H

Hotline: 096 523 77 56/091 181 1111 (Toà soạn Hà Nội)
/ 091 122 12 22 (VPĐD TPHCM)

baotrithuccuocsong@kienthuc.net.vn
tkts@kienthuc.net.vn

Facebook Rss
Trending Vusta - Trí thức KH&CN Nhà khoa học Kiến thức cần biết Thời sự 24h Khoa học & Công nghệ Đời sống & Giải trí Spotlight

CƠ QUAN CHỦ QUẢN: LIÊN HIỆP CÁC HỘI KHOA HỌC VÀ KỸ THUẬT VIỆT NAM

Giấy phép: Số 536/GP-BTTTT ngày 19/11/2020 do Bộ Thông tin và Truyền thông cấp.

Tổng Biên tập: Nhà báo Nguyễn Thị Mai Hương

Phó Tổng Biên tập: Nhà báo Nguyễn Danh Châu

Tòa soạn: Số 70 Trần Hưng Đạo, phường Cửa Nam, Hà Nội.

VPĐD tại TP.HCM: Số 54 Phạm Huy Thông, phường Hạnh Thông, Thành phố Hồ Chí Minh.

DMCA.com Protection Status