Hít sặc nước bẩn, chàng trai 21 tuổi đuối nước nguy kịch vì điều trị tại nhà

Sự chủ quan, thiếu kiến thức của người nhà sau khi cứu bệnh nhân thoát khỏi đuối nước đã khiến anh suýt mất mạng vì các biến chứng.

Ngày 29/7, Bệnh viện Trung ương Thái Nguyên cho biết, nhờ sự phối hợp đa chuyên khoa các bác sĩ đã cứu sống được một người bệnh đuối nước nguy kịch vì chủ quan điều trị tại nhà.

Rất may, với sự phối hợp tích cực các chuyên khoa (Cấp cứu, Hô hấp và Hồi sức tích cực - Chống độc, người bệnh đã vượt qua giai đoạn nguy hiểm, phục hồi và ra viện.

Theo đó, ngày 21/7, người bệnh C.Đ.Đ (21 tuổi, xã Nam Hòa, tỉnh Thái Nguyên) được chuyển đến Bệnh viện trong tình trạng hôn mê sâu, tím tái toàn thân, suy hô hấp cấp tiến triển (ARDS) do hít sặc nước bẩn, rối loạn toan chuyển hóa, đe dọa tử vong. Người bệnh phải đặt ống nội khí quản và được hỗ trợ hô hấp bằng máy thở xâm lấn.

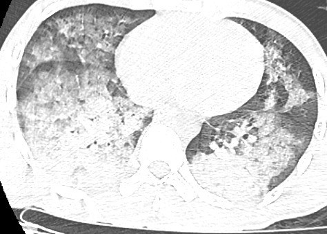
phoi-dong-duoi-nuoc.jpg
Hình ảnh kính mờ (ground-glass opacity) kèm đông đặc phế nang trên phim chụp CLVT của người bệnh Đ. - Ảnh BVCC

Trước tình trạng của người bệnh, các bác sĩ đã tiến hành hội chẩn khẩn cấp và triển khai đồng bộ nhiều biện pháp hồi sức tích cực. Trong đó, kỹ thuật nội soi phế quản được thực hiện nhằm hút bỏ toàn bộ dịch và dị vật trong đường hô hấp, giúp cải thiện thông khí phổi.

Đồng thời, áp dụng liệu pháp lọc máu liên tục (CVVH), nhằm hỗ trợ xử trí sốc nhiễm khuẩn và suy đa cơ quan - các biến chứng nghiêm trọng thường gặp ở bệnh nhân đuối nước nặng; điều trị bằng kháng sinh phổ rộng liều cao, phối hợp với các biện pháp hỗ trợ tuần hoàn, đảm bảo ổn định huyết động và duy trì cân bằng nội môi.

Tất cả đều được triển khai dưới sự theo dõi chặt chẽ của ê-kíp điều trị và đúng phác đồ hồi sức đa chuyên ngành.

duoi-nuoc.jpg
Các bác sĩ khoa Hô hấp và Hồi sức tích cực – Chống độc cùng phối hợp nội soi phế quản, hút dịch và dị vật trong đường hô hấp - Ảnh BVCC

Sau ba ngày điều trị tích cực, người bệnh dần hồi tỉnh, được cai máy thở và rút ống nội khí quản. Đến ngày thứ tám, người bệnh có thể nói chuyện, ăn uống bình thường, không để lại di chứng thần kinh, đủ điều kiện xuất viện.

Tuy nhiên, các bác sĩ khuyến cáo, bệnh nhân vẫn cần tiếp tục theo dõi sức khỏe tại nhà và tái khám sau hai tuần để đánh giá đầy đủ chức năng hô hấp và các cơ quan khác.

BS Nguyễn Tiến Tuệ - người trực tiếp điều trị ca bệnh, chia sẻ: Đây là một trường hợp đuối nước rất nặng. Nếu không được cấp cứu và điều trị đúng phác đồ trong “giờ vàng”, khả năng tử vong là rất cao. Việc phối hợp các chuyên khoa, áp dụng đồng bộ các kỹ thuật hồi sức chuyên sâu, cùng sự phối hợp chặt chẽ từ gia đình đã giúp chúng tôi thành công trong việc giành giật sự sống cho người bệnh.

duoi-nuoc-1.jpg
Người bệnh đang được thực hiện kỹ thuật lọc máu liên tục, được điều trị chuyên sâu tại khoa Hồi sức tích cực - Chống độc - Ảnh BVCC

Trong niềm vui ngày xuất viện, người bệnh Đ. không giấu được sự xúc động. Anh cho biết: Sau khi bị ngã xuống nước, tôi được người thân đưa lên bờ và tiến hành sơ cứu tại chỗ. Do thấy tôi đã tống được nước ra ngoài và hoàn toàn tỉnh táo nên gia đình chủ quan cho nằm nghỉ ngơi tại nhà, mà không đưa đến bệnh viện.

Khoảng 30 phút sau, tôi bắt đầu mệt, khó thở nên đã được gia đình cho thở bằng bình ô xy.

Tuy nhiên, tình trạng khó thở, mệt mỏi của tôi không cải thiện, thậm chí diễn biến xấu đi nhanh chóng nên người nhà mới cấp tốc đưa tới bệnh viện. Khi này, tôi đã rơi vào hôn mê sâu. Các bác sĩ tiên lượng xấu. Nếu không có các bác sĩ kịp thời cứu chữa, chắc tôi đã không còn cơ hội sống. Tôi thấy mình như được sinh ra lần thứ hai.

duoi-nuoc-3.jpg
Người bệnh Đ. hồi phục, chụp ảnh cùng bác sĩ điều trị - Ảnh BVCC

Qua sự việc của người bệnh Đ., BSCKII. Phạm Vũ Hậu, Phó trưởng khoa Hồi sức tích cực – Chống độc Bệnh viện khuyến cáo: Với mọi trường hợp đuối nước, dù nạn nhân đã tỉnh táo sau sơ cứu, vẫn cần nhanh chóng đưa tới cơ sở y tế gần nhất để được đánh giá toàn diện, theo dõi các biến chứng như phù phổi cấp, rối loạn điện giải, nhiễm trùng phổi hoặc suy đa tạng.

Ngoài ra, kỹ năng sơ cứu ban đầu đúng cách trong đuối nước có ý nghĩa sống còn. Các bước như đảm bảo đường thở thông thoáng, ép ngực nếu ngừng tim, hô hấp nhân tạo... cần được thực hiện sớm và đúng kỹ thuật, tránh các biện pháp dân gian không phù hợp hoặc trì hoãn cấp cứu chuyên sâu…

2 tuần cứu trẻ 2 tuổi đuối nước ở hồ cá Koi trong sân nhà

Bé M bị ngã vào hồ cá Koi trong sân nhà, không rõ thời gian ngâm nước. Khi được phát hiện, bé đã hôn mê, tím tái, ngưng thở và không phản ứng.

Ngày 23/7, BS Hoàng Thị Lan Hương, Phó Giám đốc Bệnh viện Trung ương Huế cho biết, đơn vị vừa cho bệnh nhi N. T. T. M (2 tuổi, trú xã Lộc An, thành phố Huế) xuất viện sau gần hai tuần điều trị tích cực vì tai nạn đuối nước ngưng tim tại nhà.

Đây là một trong những trường hợp hồi phục kỳ diệu, nhờ can thiệp kịp thời và kỹ thuật chuyên sâu hạ thân nhiệt chỉ huy - phương pháp đang được áp dụng tại các trung tâm hồi sức hiện đại trên thế giới.

Bé trai ở Thái Nguyên trượt chân rơi xuống sông mất tích

Tối 17/7, tại khu vực cầu Bến Tượng, phường Phan Đình Phùng (trước đây là phường Trưng Vương, TP Thái Nguyên), tỉnh Thái Nguyên xảy ra một vụ đuối nước.

Theo thông tin ban đầu, vào khoảng 18h30 cùng ngày, một nhóm trẻ em ra khu vực gầm cầu Bến Tượng chơi đùa. Trong lúc nô đùa, một bé trai không may trượt chân và rơi xuống sông.

Nạn nhân được xác định là cháu Đ.G.B. (SN 2017), trú tại phường Phan Đình Phùng, Thái Nguyên.

Cứu sống trẻ 8 tuổi ngừng thở, ngừng tim do đuối nước

Đuối nước là tai nạn có thể cướp đi sinh mạng con trẻ trong tích tắc. Khi trẻ bị đuối nước, việc sơ cứu ban đầu đúng cách và kịp thời là yếu tố then chốt.

Ngày 9/7, Bệnh viện Sản nhi Nghệ An cho biết, nhờ kỹ thuật hồi sức chuyên sâu bệnh viện vừa cứu sống một bệnh nhi nguy kịch do đuối nước.

Theo đó, chiều 22/6, một tai nạn đuối nước thương tâm suýt chút nữa đã cướp đi sinh mạng của bé H.C., (8 tuổi, đến từ Hà Tĩnh).

Đọc nhiều nhất

Tin mới

Đi khám sức khỏe phát hiện ung thư amidan

Đi khám sức khỏe phát hiện ung thư amidan

Người dân cần chủ động thăm khám sức khỏe định kỳ, đặc biệt khi có dấu hiệu bất thường vùng tai mũi họng, đau họng kéo dài, nuốt vướng, khàn tiếng, nổi hạch cổ…