Khi mắc bệnh lao, các vi khuẩn có thể lây lan từ phổi đến các cơ quan khác gây nguy hiểm cho sức khỏe của người bệnh. Bệnh có thể được chữa khỏi thành công nếu được phát hiện sớm, điều trị đúng phác đồ.
Dù chỉ chiếm 5% tổng số các trường hợp nhiễm lao, nhưng lao màng não có tỷ lệ tử vong cao lên đến 70 - 80%. Nếu vượt qua án tử, bệnh nhân có thể phải gánh chịu những di chứng nặng nề.
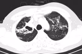
Nhờ tái tạo thành công đường thở bằng kỹ thuật nội soi tiên tiến, đánh bại "tam giác tử thần”, các bác sĩ đã làm “hồi sinh” phổi xẹp cho bệnh nhân lao.
Xẹp phổi do lao được coi là “bản án chung thân” của biến chứng lao phổi. Nhờ tái tạo thành công đường thở bằng kỹ thuật nội soi tiên tiến, đánh bại "tam giác tử thần”, các bác sĩ đã làm “hồi sinh” phổi xẹp cho bệnh nhân lao.
Nếu không được điều trị kịp thời, bệnh lao sau phẫu thuật u sàn miệng có thể dẫn đến nhiều biến chứng nghiêm trọng, gây ảnh hưởng lớn đến sức khỏe của người bệnh.
Bác sĩ cho biết, những trường hợp “ho ra máu sét đánh” (ho ra máu lượng nhiều, đột ngột), nếu không được cấp cứu kịp thời sẽ dễ tử vong do suy hô hấp và mất máu.
Nhiễm khuẩn huyết hay nhiễm trùng máu là một bệnh lý nguy hiểm, nếu không được phát hiện sớm và điều trị kịp thời dẫn đến các biến chứng nặng về tuần hoàn, rối loạn đông máu, hô hấp, thậm chí có thể tử vong do sốc nhiễm trùng.
Lao phổi là bệnh có thể để lại di chứng, dẫn đến những vấn đề sức khỏe lâu dài dù việc chữa trị căn bệnh này đã có nhiều tiến bộ. Ước tính có khoảng ⅕ số người sau điều trị bệnh lao phổi gặp di chứng.
Bé trai 2 tuổi người Campuchia bị dị tật tim bẩm sinh nguy hiểm, nhưng bị kê nhầm thuốc lao phổi suốt 6 tháng đã được các bác sĩ Việt Nam chẩn đoán, cứu sống.
Lao phổi là bệnh truyền nhiễm nguy hiểm, có tỷ lệ tử vong cao. Bệnh có thể khỏi hoàn toàn, không để lại di chứng nếu được phát hiện và điều trị kịp thời.
Lao phổi là bệnh truyền nhiễm nguy hiểm, có tỷ lệ tử vong cao. Việt Nam là nước có gánh nặng bệnh lao cao nhất trên thế giới. Bệnh có thể điều trị khỏi hoàn toàn, không để lại di chứng nếu được phát hiện và điều trị kịp thời.
Lao phổi là bệnh truyền nhiễm nguy hiểm, có tỷ lệ tử vong cao. Việt Nam là nước có gánh nặng bệnh lao cao nhất trên thế giới. Bệnh có thể điều trị khỏi hoàn toàn, không để lại di chứng nếu được phát hiện và điều trị kịp thời.
Nhiễm trùng phổi do nontuberculous mycobacteria (NTM) xuất hiện ở nhiều nơi trên thế giới. Bệnh phổi NTM tương tự lao, nhiễm trùng da và mô mềm, nhiễm trùng hệ thần kinh trung ương, nhiễm khuẩn huyết, nhiễm trùng mắt và các bệnh nhiễm trùng khác...
Người dân cho biết, khu vực này là ruộng bỏ hoang, gần đây một số người đã phun thuốc trừ cỏ để cỏ cháy, vì vậy cần tìm hiểu kỹ địa điểm trước khi check-in.
Chăm sóc và theo dõi sau khi hoàn thành điều trị lao thường bị bỏ qua. Sau khi hoàn thành điều trị, mặc dù cơ thể đã tiêu diệt hoàn toàn vi khuẩn lao nhưng vẫn có thể để lại những triệu chứng hoặc di chứng do lao hoặc thuốc.
Phần lớn lao phổi không bị kháng thuốc, điều trị 6 tháng là khỏi, tỉ lệ khỏi >90%. Rất hiếm khi phải điều trị thêm 2 tháng. Điều trị kéo dài 8 tháng nhiều khi không được lợi gì, mà tốn tiền, thêm tác dụng phụ.