Đau đầu đột ngột, người đàn ông 50 tuổi ở Hà Nội không ngờ bị nhồi máu não

Bệnh nhân 50 tuổi phát hiện tụ máu não qua cơn đau đầu đột ngột, các bác sĩ khuyến cáo không chủ quan với triệu chứng này để tránh hậu quả nghiêm trọng.

Khoa Cấp cứu A9, Bệnh viện 19-8 vừa tiếp nhận và điều trị cho 1 bệnh nhân bị tụ máu nhu mô não kèm tràn máu não thất mà triệu chứng duy nhất vào viện chỉ là đau đầu.

Bệnh nhân là ông Nguyễn Thái H. (50 tuổi, Tây Tựu – Hà Nội). Bệnh nhân cho biết, buổi sáng trước khi nhập viện, vào khoảng 6h, ông bị đau nửa đầu trái âm ỉ, không buồn nôn, không nôn, không chấn thương, vẫn đi tập thể dục bình thường.

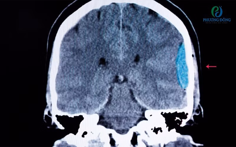
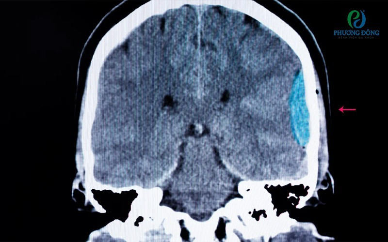
6h sáng bệnh nhân vẫn đi thể dục, sau 1 tiếng đau đầu đột ngột phát hiện tụ máu não (Ảnh: BV 19-8).

Đến 7h sáng cùng ngày, cơn đau tăng dần nên bệnh nhân vào khám tại Bệnh viện 19-8. Thăm khám ban đầu cho thấy, bệnh nhân tỉnh táo, tiếp xúc tốt; Không liệt khu trú; Mạch 90 lần/phút, huyết áp 130/80 mmHg; SpO₂ 99%, tự thở khí trời.

Tuy nhiên, kết quả chẩn đoán hình ảnh cho thấy bệnh nhân bị tụ máu nhu mô não vùng thái dương trái, kèm tràn máu não thất bên trái và não thất III. Trước tình trạng nguy hiểm, bệnh nhân được chỉ định nhập viện cấp cứu, điều trị theo chuyên khoa thần kinh.

Chia sẻ về ca bệnh, BS Đỗ Chí Hiếu - Phó Trưởng khoa Cấp cứu A9, Bệnh viện 19-8 cho biết: “Không phải cơn đau đầu nào cũng lành tính. Những cơn đau đầu xuất hiện đột ngột, đau tăng nhanh hoặc đau khác thường so với trước đây có thể là dấu hiệu sớm của xuất huyết não, tụ máu não hoặc các bệnh lý nội sọ nguy hiểm.

Việc đi khám sớm giúp phát hiện kịp thời, từ đó quyết định trực tiếp đến tiên lượng và tính mạng của người bệnh".

Các bác sĩ khuyến cáo, người dân không nên chủ quan và cần đến cơ sở y tế ngay khi có các dấu hiệu sau: Đau đầu đột ngột, tăng dần; Đau đầu khác hẳn những lần trước; Đau đầu kèm nôn, nói khó, yếu tay chân, lơ mơ; Đau đầu sau khi uống nhiều rượu; Người trên 40 tuổi lần đầu xuất hiện kiểu đau đầu bất thường...

Tụ máu não thường xảy ra do chấn thương hoặc vỡ mạch máu. Ảnh minh họa/Nguồn benhvienphuongdong.vn

Khi thấy các triệu chứng trên, không chủ quan với đau đầu bất thường, không tự ý uống thuốc giảm đau kéo dài, không nghĩ rằng “ngủ một giấc là sẽ khỏi” và đi khám sớm khi có dấu hiệu cảnh báo để tránh hậu quả đáng tiếc.

Máu tụ nội sọ xảy ra khi máu tụ lại bên trong các mô não. Hiện có nhiều nguyên nhân gây ra tình trạng máu tụ trong não này, bao gồm vỡ phình động mạch (vỡ mạch máu bị phình), chấn thương, các tĩnh mạch và động mạch kết nối bất thường, bị đột quỵ xuất huyết não, khối u…

Những vấn đề kể trên có thể làm rò rỉ máu vào não một cách tự phát. Nhiều khối máu tụ trong não có nguy cơ xuất hiện khi bị va chạm, chấn thương ở đầu.

Lấy xương cá kịp thời khai thông đường thở cho bệnh nhân 63 tuổi

Gắp thành công dị vật là xương cá nằm sâu trong phế quản, giúp khai thông đường thở, cải thiện rõ rệt tình trạng hô hấp cho người bệnh.

Vừa qua, Khoa Hồi sức tích cực – Chống độc, Bệnh viện Hùng Vương Gia Lai đã thực hiện thành công ca nội soi gắp dị vật đường hô hấp, kịp thời khai thông đường thở cho bệnh nhân nam T.V.S (63 tuổi, trú phường Hội Phú, tỉnh Gia Lai).

Theo BS. Đàng Năng Hùng, Phó Trưởng khoa Hồi sức tích cực – Chống độc, bệnh nhân có tiền sử hóc xương cá lóc cách đây khoảng 2 tháng. Sau đó, bệnh nhân đã đi khám tại phòng khám ngoài, được nội soi Tai – Mũi – Họng và điều trị nội khoa, tuy nhiên triệu chứng không cải thiện, vẫn ho nhiều, khó thở kéo dài.

Nhiều biện pháp siết chặt an toàn thực phẩm trước Tết tại Hà Nội

Hà Nội triển khai các biện pháp kiểm tra, xử lý vi phạm an toàn thực phẩm để bảo vệ sức khỏe người dân dịp Tết Nguyên đán 2026.

Trước nhu cầu tiêu dùng thực phẩm tăng mạnh dịp Tết Nguyên đán Bính Ngọ 2026, Hà Nội đang triển khai đồng bộ nhiều biện pháp siết chặt quản lý, kiểm tra an toàn thực phẩm, tập trung vào các địa bàn, mặt hàng và loại hình kinh doanh tiềm ẩn nguy cơ cao, nhằm bảo vệ sức khỏe người dân Thủ đô.

Theo đó, UBND thành phố Hà Nội yêu cầu các sở, ngành và chính quyền cơ sở vào cuộc quyết liệt, không để thực phẩm không bảo đảm chất lượng len lỏi vào bữa ăn của người dân trong dịp Tết.

Điều trị thành công ca bệnh có túi phình lớn ở động mạch cảnh

Nếu không được điều trị kịp thời, túi phình có thể vỡ gây xuất huyết não hoặc xuất huyết dưới nhện, dẫn đến đột quỵ, hôn mê và đe dọa tính mạng.

Ngày 27/1, thông tin từ Bệnh viện Đa khoa tỉnh Quảng Trị cho biết, đơn vị vừa can thiệp thành công cho 1 nữ bệnh nhân có túi phình lớn ở động mạch.

Được biết, bệnh nhân là T.T.L (42 tuổi, trú tại xã Cửa Việt, tỉnh Quảng Trị), nhập viện khoa Nội Tim mạch, Bệnh viện Đa khoa tỉnh Quảng Trị, với triệu chứng đau đầu kéo dài ngày càng dữ dội, đau nhiều hai bên thái dương.

Đọc nhiều nhất

Tin mới

Top thực phẩm tốt cho tuyến giáp

Top thực phẩm tốt cho tuyến giáp

Bổ sung hạt điều, hạt bí, trái cây tươi và cá biển để duy trì sức khỏe tuyến giáp, giảm nguy cơ viêm nhiễm và cân bằng hormone tự nhiên.