Bụng chướng không ngờ viêm tụy cấp nặng phải lọc máu

Viêm tụy cấp do tăng mỡ máu thường nặng hơn và đe dọa tính mạng bệnh nhân hơn so với các nguyên nhân khác.

Ngày 4/11, Bệnh viện Đa khoa Hùng Vương Phú Thọ cho biết, bệnh viện vừa thực hiện thành công phương pháp lọc máu hấp phụ điều trị viêm tụy cấp mức độ Balthazar D do tăng Triglycerid cho nam bệnh nhân 45 tuổi
Nam bệnh nhân 45 tuổi vào viện vì đau bụng thượng vị. Theo lời bệnh nhân kể, vào sáng ngày nhập viện, bệnh nhân xuất hiện đau bụng thượng vị nhiều, đau quặn cơn bụng cảm giác căng tức khó chịu, đau ngày càng tăng đã uống giảm đau không đỡ nên gia đình đã đưa bệnh nhân tới Bệnh viện Đa khoa Hùng Vương khám.
Tại Bệnh viện Đa khoa Hùng Vương sau khi các bác sĩ khám bệnh thấy bệnh nhân trong tình trạng tỉnh, đau bụng thượng vị nhiều, bụng chướng căng, mạch nhanh, huyết áp có dấu hiệu tụt lấy máu làm xét nghiệm, chụp CT ổ bụng, lúc lấy máu thấy máu lấy ra đục trắng như sữa có lẫn dây máu.
Bung chuong khong ngo viem tuy cap nang phai loc mau
 
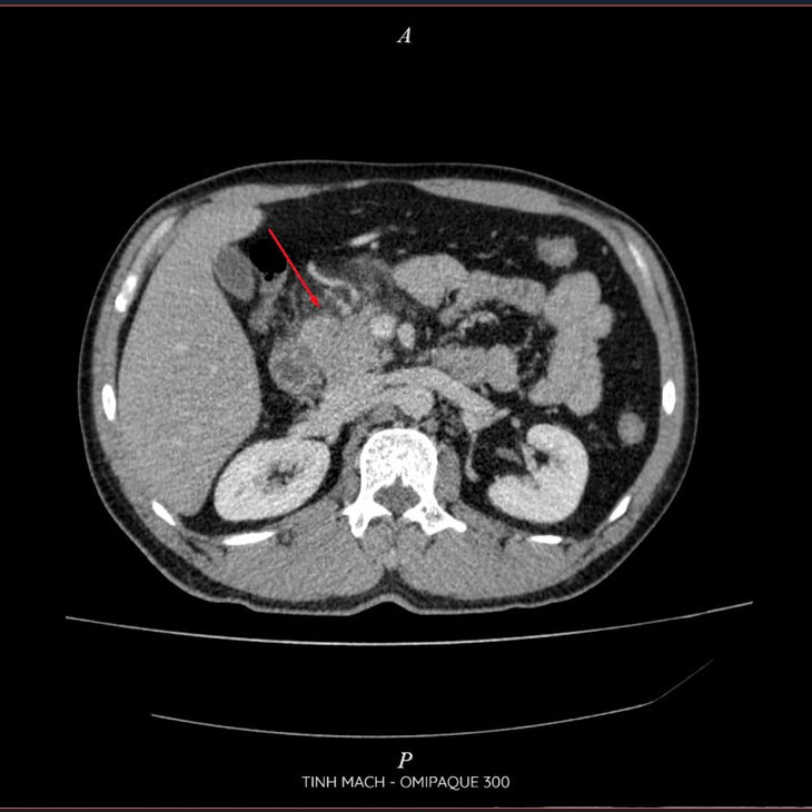
Bung chuong khong ngo viem tuy cap nang phai loc mau-Hinh-2
 Viêm tụy cấp trên phim chụp - Ảnh BVCC
Kết quả chụp CT Scanner đa dãy ổ bụng có thuốc cho thấy: Hình ảnh viêm tụy cấp Balthazar D, mCTSI 4 điểm, xét nghiệm máu triglycerid >73 mmol/ l, khí máu có tình trạng toan Lactat>2. Nhận thấy đây là tình trạng viêm tụy cấp nặng do tăng triglyceride, các bác sĩ khoa Hồi sức cấp cứu Bệnh viện Đa khoa Hùng Vương đã tiến hành lọc máu hấp phụ cho bệnh nhân với mục tiêu là giảm triglycerid, và giảm phản ứng viêm.
Sau khi lọc hấp phụ kết hợp với lọc máu liên tục sau 1 quả lọc hấp phụ MG 350 xét nghiệm lại tri:30 bụng bớt chướng hơn nhiều, bệnh nhân được tiếp tục điều trị nội khoa tích cực và bệnh nhân đã ra viện sau 7 ngày điều trị.
Đây là một kỹ thuật rất mới được ứng dụng tại Bệnh viện Đa khoa Hùng Vương, giúp cho bệnh nhân nhanh chóng ổn định, hạn chế được nhược điểm của phương pháp thay huyết tương, có thể ứng dụng vùng sâu vùng xa nơi không có sẵn nguồn huyết tương.
Dễ tái phát và tử vong
TS.BS Ngô Thị Hoài, Khoa Cấp cứu tiêu hóa - Bệnh Viện TWQĐ 108 chia sẻ: Nhiều nghiên cứu đã chỉ ra rằng viêm tụy cấp do tăng mỡ máu thường nặng hơn và đe dọa tính mạng bệnh nhân hơn so với các nguyên nhân khác.
Viêm tụy cấp do tăng mỡ máu gặp khoảng 30-35% trong tổng số bệnh nhân viêm tụy cấp nhập viện. Với mức triglyceride >5.6 mmol/L bệnh nhân có nguy cơ bị viêm tụy cấp, nếu triglyceride >11.3 mmol/L nguy cơ mắc viêm tụy cấp là 5%, tỷ lệ này tăng lên 10-20% khi mức triglyceride > 22.6 mmol/L.
Nếu mỡ máu của bệnh nhân không được điều trị thì nguy cơ viêm tụy cấp tái phát và tiếp đó sẽ dẫn đến viêm tụy mạn gây suy cả tuyến tụy nội tiết và ngoại tiết.
Bung chuong khong ngo viem tuy cap nang phai loc mau-Hinh-3
 Thăm khám cho bệnh nhân - Ảnh BVCC
Bác sĩ cũng khuyến cáo: bệnh nhân bị bệnh rối loạn chuyển hóa lipid máu nên đến khám và điều trị mỡ máu duy trì kiểm soát mỡ máu bằng chế độ ăn, cân nặng và thuốc. Đặc biệt người trẻ mắc bệnh rối loạn chuyển hóa lipid máu mà có kèm uống rượu thì tình trạng bệnh sẽ nặng và nguy cơ rất cao xảy ra viêm tụy và các bệnh lý tim mạch chuyển hóa”.
Các chuyên gia tiêu hóa cho biết, hiện tình trạng những người bị rối loạn chuyển hóa lipit phải cấp cứu ngày càng nhiều. Ngoài choleterol tăng cao, đa số bệnh nhân có hàm lượng triglyceride cao gấp 15 – 17 lần giới hạn cho phép đi kèm với rất nhiều tổn thương thực thể do uống rượu và rối loạn chuyển hóa gây ra. Đây là một căn bệnh khá nguy hiểm, có thể dẫn đến tử vong nếu không được cấp cứu kịp thời.
Triệu chứng của bệnh viêm tụy cấp diễn ra rầm rộ như bệnh nhân bị chướng bụng, đau bụng, buồn nôn, đau vùng thượng vị (ngay dưới xương ức), bí trung đại tiện.
Viêm tụy cấp diễn biến phức tạp, nhanh chóng. Ngay cả khi cơn nguy kịch đã tạm qua, các biến chứng nhiễm trùng, nhiễm độc, suy kiệt vẫn rình rập. Bệnh rất dễ tái phát nhiều lần. Vì vậy, bệnh nhân luôn cần được theo dõi y tế sát sao và thực hiện đúng theo hướng dẫn điều trị của Bác sĩ.
“Người dân nên đi kiểm tra sức khỏe định kỳ, quản lý bệnh lý tăng mỡ máu giảm thiểu nguy cơ biến chứng viêm tụy cấp, hoặc bệnh lý mạch máu. Đặc biệt, nếu thấy cơ thể có dấu hiệu bất thường cần đến các cơ sở y tế để được thăm khám và điều trị kịp thời”, các bác sĩ khuyến cáo.

Viêm tụy cấp biến chứng từ… tiệc tùng, ngộ độc thực phẩm

Nhiều bệnh nhân đau bụng quằn quại, nôn và đại tiện ra máu, nhập viện cấp cứu do viêm tụy cấp sau ăn tiệc. Thậm chí, có người còn bị tổn thương gan, thận, các triệu chứng này thường nhầm với ngộ độc, rối loạn tiêu hóa...

Viêm tụy cấp là bệnh lý nặng, có nhiều biến chứng như hoại tử tụy, tụ dịch nhiễm khuẩn, suy đa tạng, suy hô hấp tiến triển nặng nếu không được điều trị kịp thời. Ngay cả khi cơn nguy kịch đã tạm qua, các biến chứng nhiễm trùng, nhiễm độc, suy kiệt vẫn rình rập. Bệnh rất dễ tái phát nhiều lần”, BSCKI Lương Minh Tuấn, Phó giám đốc, Trưởng khoa Hồi sức cấp cứu, Bệnh viện đa khoa Hùng Vương nói.
Dễ nhầm lẫn với ngộ độc thức ăn

Sau khi ăn nhiều đạm, mỡ, bia rượu, có dấu hiệu này đi viện ngay

Viêm tụy cấp thường xảy ra đột ngột, diễn biến nhanh, sau các bữa ăn chứa nhiều dầu mỡ, nhiều đạm, uống rượu bia.

Bệnh viện Đa khoa tỉnh Phú Thọ ngày 26/2 cho biết, mới cứu sống người bệnh H.V.Đ, 54 tuổi bị sốc mất máu do viêm tụy cấp biến chứng hoại tử động mạch lách.

Ông Đ. được chuyển từ Trung tâm Y tế huyện Yên Lập (Phú Thọ) lên bệnh viện tỉnh, với dấu hiệu ban đầu là đau bụng dữ dội vùng quanh rốn. Trước đó 2 tuần, ông đã bị viêm tụy cấp.

Vào viện, ông Đ. đau bụng, mệt mỏi, buồn nôn không nôn, da, niêm mạc rất nhợt, tim nhịp nhanh; huyết áp xuống rất thấp (70/40mmHg), dấu hiệu phản ứng thành bụng khắp bụng.

Bác sĩ Khoa Hồi sức tích cực - Chống độc chẩn đoán theo dõi sốc nhiễm khuẩn chưa loại trừ sốc giảm thể tích, theo dõi viêm tụy cấp hoại tử. Bệnh nhân được đặt Catheter tĩnh mạch trung tâm, đặt Artline theo dõi huyết áp liên tục, truyền máu cấp cứu, bù dịch, thuốc vận mạch.

Khi huyết áp tạm thời ổn định, người bệnh được chụp CT ổ bụng có tiêm thuốc cản quang dựng hình mạch máu ổ bụng, kết quả cho thấy hình ảnh thoát thuốc cản quang ra ổ bụng, theo dõi tổn thương động mạch lách.

Ngay lập tức, các bác sĩ Khoa Hồi sức tích cực - Chống độc và Khoa Ngoại tổng hợp đã hội chẩn và chỉ định phẫu thuật cấp cứu cho người bệnh bằng phương pháp kẹp động mạch lách, lấy phần đuôi tụy bị hoại tử.

Sau khi an nhieu dam, mo, bia ruou, co dau hieu nay di vien ngay
Sau hơn 10 ngày điều trị, ông Đ. có thể được xuất viện 

Viêm tụy cấp biến chứng hoại tử động mạch lách là một trong những biến chứng hiếm gặp nhưng rất nguy hiểm, nguy cơ tử vong cao nếu không được chẩn đoán và xử trí kịp thời.

Tuyến tụy vừa có chức năng nội tiết, tiết hormone insulin và glucagon để giữ ổn định lượng đường trong máu; vừa là cơ quan ngoại tiết, tiết ra các men tiêu hóa thức ăn. Tình trạng viêm tụy xảy ra khi các men này hoạt hóa trước khi được đổ vào ruột non. Lúc này, men tụy sẽ tấn công chính tuyến tụy, gây tổn thương, viêm hoại tử, đe dọa tính mạng.

Viêm tụy cấp thường diễn ra đột ngột trong thời gian ngắn, cần điều trị kịp thời vì có thể tạo ra “cơn bão cytokine” - phản ứng miễn dịch quá mức của cơ thể khi dịch tụy tràn ra ngoài tụy, đổ vào ổ bụng gây viêm phúc mạc, sốc nhiễm trùng… Chất độc cũng có thể đi vào máu gây hạ huyết áp, nhiễm trùng huyết, tổn thương các cơ quan ngoài ổ bụng.

Viêm tụy cấp hoại tử thường có tiên lượng rất xấu, không ít người bệnh chịu biến chứng nặng nề, diễn tiến suy đa cơ quan và tỉ lệ tử vong cao khoảng 20-50%. Hầu hết (80%) các trường hợp viêm tụy hoại tử nặng phải điều trị, chăm sóc đặc biệt, thời gian kéo dài có trường hợp lên tới vài tháng.

Theo ThS.BS Lê Văn Quý, Khoa Hồi sức tích cực chống độc, viêm tụy cấp do nhiều nguyên nhân như: Lạm dụng rượu bia (nguyên nhân chính dẫn đến viêm tụy cấp), tăng triglycerid máu, sỏi mật; chấn thương dập vùng tụy, rối loạn chuyển hóa, bệnh tự miễn...

"Người bệnh có tiền sử viêm tụy cấp rất dễ tái lại", bác sĩ Quý cho biết. Các biến chứng của bệnh thường tiên lượng nặng, nguy cơ tử vong cao như nhiễm trùng huyết, suy hô hấp cấp, liệt ruột cơ năng, hoại tử nhu mô tụy, giảm thể tích,…

Sau các dịp nghỉ lễ, Tết, các bệnh viện tiếp nhận nhiều bệnh nhân viêm tụy cấp là nam giới, độ tuổi trung bình là 30-40, khởi phát đau sau khi uống rượu bia.

Do đó, bác sĩ Quý khuyến cáo người bệnh khi thấy các triệu chứng như đau bụng dữ dội, đột ngột vùng trên rốn, quanh rốn, đau thường kéo dài, lan ra sau lưng, hoặc hạ sườn 2 bên, thường xảy ra sau khi dung nạp quá nhiều chất đạm, mỡ hoặc uống rượu bia; chướng bụng, buồn nôn, nôn... cần đến cơ sở y tế để được thăm khám và điều trị kịp thời.

Cứu sống bệnh nhân 15 tuổi viêm tụy cấp nguy kịch hiếm gặp

Bệnh viện Trung ương Huế vừa điều trị thành công, cứu sống một bệnh nhân nam 15 tuổi bị viêm tụy hoại tử chảy máu ổ bụng nguy kịch hiếm gặp.

Ngày 28/9, lãnh đạo Bệnh viện Trung ương Huế cho biết, các y, bác sĩ vừa điều trị thành công cho bệnh nhân Lê Huỳnh Kim C. (15 tuổi) ở TX. Hương Trà bị viêm tụy hoại tử chảy máu ổ bụng nguy kịch. Trước khi vào viện, bệnh nhân có các triệu chứng đau bụng đột ngột, nôn ói, sau đó nhanh chóng rơi vào hôn mê, co giật.

Cuu song benh nhan 15 tuoi viem tuy cap nguy kich hiem gap
Bệnh nhân được điều trị tích cực tại Bệnh viên TW Huế. 

Đọc nhiều nhất

Vì sao càng mệt càng khó ngủ?

Vì sao càng mệt càng khó ngủ?

Mệt mỏi không đồng nghĩa với buồn ngủ. Khi não bộ còn căng thẳng và hormone stress tăng cao, giấc ngủ dễ bị chập chờn, thậm chí biến mất hoàn toàn.

Top thực phẩm tốt cho tuyến giáp

Top thực phẩm tốt cho tuyến giáp

Bổ sung hạt điều, hạt bí, trái cây tươi và cá biển để duy trì sức khỏe tuyến giáp, giảm nguy cơ viêm nhiễm và cân bằng hormone tự nhiên.

Tin mới

Top thực phẩm tốt cho tuyến giáp

Top thực phẩm tốt cho tuyến giáp

Bổ sung hạt điều, hạt bí, trái cây tươi và cá biển để duy trì sức khỏe tuyến giáp, giảm nguy cơ viêm nhiễm và cân bằng hormone tự nhiên.

Vì sao càng mệt càng khó ngủ?

Vì sao càng mệt càng khó ngủ?

Mệt mỏi không đồng nghĩa với buồn ngủ. Khi não bộ còn căng thẳng và hormone stress tăng cao, giấc ngủ dễ bị chập chờn, thậm chí biến mất hoàn toàn.

Sống chậm ngày Tết

Sống chậm ngày Tết

Tết là thời gian để giảm căng thẳng, dành thời gian cho bản thân và gia đình, giúp tinh thần thoải mái, khỏe mạnh hơn.