Theo các chuyên gia y tế, sau khi tiêm vacxin, đa số người được tiêm sẽ có miễn dịch. Tuy nhiên, thực tế vẫn có có một tỷ lệ người do khả năng miễn dịch thấp nên chưa đạt được ngưỡng miễn dịch bảo vệ.
Từ cuối tháng 6 đến nay, tại tỉnh Bình Phước có 47 người nghi mắc bệnh bạch hầu, trong đó có 3 người chết, những người còn lại đang được theo dõi tại bệnh viện.
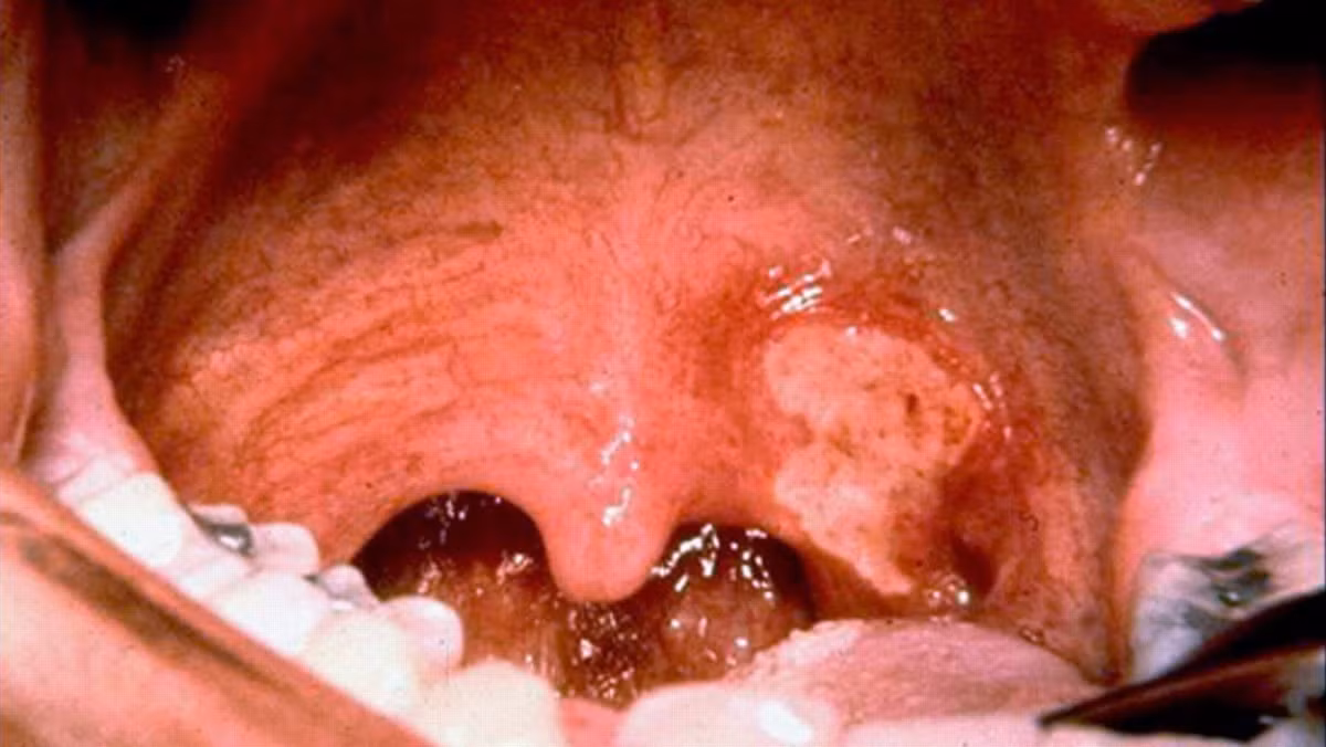
![]() |
| Một bệnh nhân mắc bệnh bạch hầu được theo dõi tại bệnh viện. |
Ông Nguyễn Văn Sáu - Phó Giám đốc phụ trách Trung tâm Y tế dự phòng Bình Phước cho biết, 2 trong số 3 bệnh nhân tử vong đã tiêm phòng bệnh bạch hầu. Trường hợp còn lại theo người nhà bệnh nhân tuy không còn lưu sổ tiêm chủng nhưng đã tiêm chủng đầy đủ phòng ngừa các loại bệnh.
“80-90% sau khi tiêm chủng phòng ngừa bệnh bạch hầu sẽ miễn nhiễm được bệnh, tỉ lệ còn lại vẫn có thể mắc bệnh do trong quá trình tiêm chủng bị lỗi kỹ thuật, dẫn đến thuốc không phát huy được tác dụng” - bác sĩ Sáu nói.
Lý giải những trường hợp tiêm vắc xin rồi vẫn mắc, bác sĩ Nguyễn Trung Cấp, Phó Trưởng khoa Cấp cứu, Bệnh viện Nhiệt đới Trung ương, chuyên gia về các bệnh truyền nhiễm cho biết, sau khi tiêm vắc xin, đa số người được tiêm sẽ có miễn dịch. Tuy nhiên, thực tế vẫn có có một tỷ lệ người do khả năng miễn dịch thấp nên chưa đạt được ngưỡng miễn dịch bảo vệ.
“Nếu trong cộng đồng có tỷ lệ người đã có miễn dịch cao (gọi là miễn dịch cộng đồng) thì dịch bệnh không xảy ra và những người chưa có miễn dịch cũng được bảo vệ. Ngược lại, nếu miễn dịch cộng đồng không đủ để ngăn ngừa dịch, khi dịch xảy ra những người này sẽ bị mắc”, bác sĩ Cấp nhấn mạnh.
Trước tình hình này, nhiều người dân đang lo lắng khi dịch bệnh có nguy cơ lan rộng, khó kiểm soát. Tuy nhiên trả lời phóng viên, ông Trần Đắc Phu cho biết, nguy cơ dịch lan rộng là khó xảy ra do những đối tượng tiếp xúc gần với bệnh nhân đã được uống thuốc dự phòng.
Bên cạnh đó, hiện Bộ Y tế đã chi viện khẩn cấp hơn 10.000 liều vắc xin cho Bình Phước để tiêm chủng.
“Bộ Y tế cam kết dập dịch trong thời gian sớm nhất”, Cục trưởng Cục Y tế Dự phòng khẳng định.
Vì vậy, để tạo nên cộng đồng đủ miễn dịch với bệnh bạch hầu, các bậc phụ huynh nên đưa trẻ tiêm đúng lịch, đúng liều trong Chương trình tiêm chủng mở rộng. Sau khi tiêm vắc xin khoảng hai tuần, hiệu lực phòng dịch sẽ được phát huy.
Bạch hầu là một bệnh nguy hiểm lây truyền qua đường hô hấp với biểu hiện ban đầu là sốt, ho, khàn tiếng, sau đó nổi các mảng trắng ở vùng hầu - họng, nhìn bên ngoài có thể thấy sưng hạch ở cổ. Tính mạng bệnh nhân sẽ bị đe dọa khi các mảng trắng lan rộng, làm tắc đường thở. Ngoài ra, nội độc tố bạch hầu cũng sẽ xuất hiện gây viêm cơ tim, dẫn đến suy hô hấp, sốc tim và tử vong.
Mời các bạn xem video clip: Xuất hiện dịch bệnh bạch hầu ở Gia Lai. (Nguồn: VTC14):

