Suýt thủng phế quản vì mảnh xương cá đi lạc

Dị vật đường thở là tai nạn không hiếm gặp ở trẻ nhỏ và người lớn tuổi. Người trưởng thành cũng có thể gặp phải nếu ăn vội, nói chuyện hoặc cười trong lúc ăn.

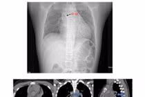
Các bác sĩ Khoa Nội Soi – Bệnh viện Đa khoa Xuyên Á Vĩnh Long vừa nội soi gắp thành công dị vật là một mảnh xương cá sắc nhọn nằm trong phế quản gốc trái của bệnh nhân N.H.N. (42 tuổi, ngụ Vĩnh Long).

Bệnh nhân cho biết cách đây khoảng 3 tuần trước, trong lúc đang ăn cơm có bị sặc xương cá, sau đó ho khạc liên tục và có khạc ra máu. Dù đã đi khám và điều trị tại một bệnh viện phổi, nhưng tình trạng ho và khạc máu vẫn không thuyên giảm, khiến anh rất lo lắng. Không yên tâm, anh tiếp tục đến Phòng khám Hô hấp – Bệnh viện Đa khoa Xuyên Á Vĩnh Long để kiểm tra.

Tại đây, các bác sĩ phòng khám chuyên khoa Hô hấp đã khám và nhận định trường hợp này nghĩ nhiều đến viêm phổi do hít sặc hoặc dị vật.

Bệnh nhân được chỉ định chụp CT-scan lồng ngực. Kết quả cho thấy một dị vật cản quang nằm trong lòng phế quản gốc trái – vị trí cực kỳ nguy hiểm vì chỉ cần thêm một chút di chuyển, mảnh xương có thể đâm thủng phế quản, gây biến chứng nặng.

Ngay sau khi xác định dị vật, các bác sĩ khoa Hô hấp, Ngoại Lồng ngực và Nội soi đã nhanh chóng hội chẩn và lên kế hoạch nội soi gắp dị vật bằng ống soi mềm dưới gây mê. Quá trình được thực hiện tỉ mỉ và phối hợp nhịp nhàng giữa khoa Nội soi và khoa Gây mê Hồi sức.

Kết quả, mảnh xương cá hình đa giác, kích thước khoảng 8x16mm, có cạnh sắc bén đã được lấy ra an toàn. Sau thủ thuật, bệnh nhân được theo dõi và điều trị nội khoa ổn định, hết ho – không còn khạc máu và xuất viện sau 1 ngày.

“Dị vật đường thở là tai nạn không hiếm gặp, đặc biệt ở trẻ nhỏ và người lớn tuổi. Tuy nhiên, người trưởng thành cũng có thể gặp phải nếu ăn vội, nói chuyện hoặc cười trong lúc ăn.

Nếu sau khi sặc có ho kéo dài, khạc ra máu, khò khè, đau ngực hoặc khó thở, người bệnh không nên chủ quan, cần đến bệnh viện để được kiểm tra và can thiệp sớm, tránh để lại hậu quả nguy hiểm”, các bác sĩ chuyên khoa Nội soi Bệnh viện Đa khoa Xuyên Á Vĩnh Long khuyến cáo.

Viêm phổi kéo dài do hạt hồng xiêm mắc sâu ở thùy dưới phổi phải

Nhiều ca hóc, sặc dị vật đường thở đến viện muộn đã gặp biến chứng nghiêm trọng, ảnh hưởng nặng nề tới chức năng hô hấp.

Các bác sĩ Bệnh viện Hữu Nghị Việt Nam - Cu Ba Đồng Hới đã thành công lấy hạt hồng xiêm mắc sâu trong thùy phổi bệnh nhân và đưa ra cảnh báo về dị vật đường thở ở người lớn.

Theo đó, bệnh nhân nữ 67 tuổi nhập viện vì ho kéo dài, đau ngực âm ỉ. Qua nội soi phế quản, các bác sĩ tại khoa Thăm dò chức năng - Nội soi đã phát hiện một hạt hồng xiêm mắc sâu ở thùy dưới phổi phải, gây tắc nghẽn và viêm phổi kéo dài. Nhờ can thiệp nội soi phế quản, dị vật được lấy ra an toàn và bệnh nhân hồi phục tốt.

Bé 13 tuổi nguy hiểm tính mạng vì đinh ghim sắc nhọn rơi vào đường thở

Bệnh viện Phổi Trung ương đã thực hiện thành công ca nội soi phế quản gắp đinh ghim dài 2,5 cm mắc sâu trong phế quản của bé trai.

Các bác sĩ Bệnh viện Phổi Trung ương đã xử trí thành công trường hợp bệnh nhi P. T. T. P (13 tuổi, Hà Nội) bị dị vật đinh ghim sắc nhọn mắc sâu trong đường thở, sau khi trẻ vô tình hít phải khi đang ngậm trong lúc xem điện thoại.

Theo gia đình, tối ngày 13/10/2025, bé P. vừa ngồi xem điện thoại vừa ngậm chiếc đinh ghim bảng dài khoảng 2,5 cm. Trong lúc cười lớn, chiếc đinh bất ngờ rơi vào họng khiến bé ho sặc sụa, khó thở và cảm giác vướng ở ngực, nói khó. Gia đình hốt hoảng đưa trẻ tới bệnh viện gần nhà.

Người phụ nữ 57 tuổi hóc dị vật hạt kha tử gây tắc đường thở

Các bác sĩ Khoa Nội Hô hấp, Bệnh viện Bãi Cháy vừa nội soi phế quản thành công gắp dị vật hạt kha tử nằm sâu trong phế quản của người bệnh.

Người bệnh là bà N.T.H (57 tuổi, trú tại Hà Nội) nhập viện trong tình trạng khó thở, tức ngực sau khi nuốt phải hạt kha tử kích thước khoảng 1cm. Kết quả chụp CT cho thấy dị vật nằm tại phế quản gốc phải, sát vị trí phân nhánh phức tạp, gây bít tắc hoàn toàn đường thở.

Ê-kíp của bác sĩ CKI Phạm Thị Út Trang – Phó Trưởng Khoa Nội hô hấp đã phối hợp với bác sĩ gây mê hồi sức đã nhanh chóng tiến hành nội soi phế quản ống mềm, phát hiện dị vật góc cạnh khoảng 1cm là hạt kha tử hình bầu dục, bề mặt trơn nhẵn, hai đầu nhọn nằm chắn, gây bít tắc trong lòng phế quản gốc phải, ngay sát vị trí chia nhánh phế quản phân thùy - khu vực giải phẫu hẹp, góc rẽ nhánh phức tạp khiến việc gắp dị vật gặp khó khăn. Ê-kíp nội soi can thiệp đã khéo léo tiếp cận và thành công gắp dị vật ra khỏi lòng phế quản bệnh nhân. Sau can thiệp, sức khỏe của bệnh nhân ổn định, thở dễ dàng, không còn cảm giác tức ngực, được xuất viện sau 24h theo dõi.

Đọc nhiều nhất

Tin mới