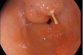
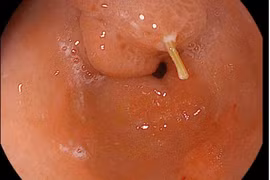
Chỉ đến khi tận mắt nhìn thấy chiếc tăm được lấy ra, bệnh nhân mới sực nhớ rằng mình có thói quen ngậm tăm sau bữa ăn và đã ngủ quên mà không hay biết. Tăm tre xuyên qua thành ruột, có thể gây viêm nhiễm, áp xe, thủng ruột...
Người phụ nữ 65 tuổi nhập viện trong tình trạng đau bụng, chướng bụng và có dấu hiệu viêm phúc mạc. Trong quá trình mổ, bác sĩ phát hiện lỗ thủng trên ruột non do một que tăm tre sắc nhọn gây ra, dẫn đến viêm phúc mạc.
Những trường hợp nuốt phải dị vật sắc nhọn như cây tăm, xương cá,… nếu không được phát hiện kịp thời có thể dẫn đến nhiễm trùng nặng và nguy hiểm đến tính mạng.
Người dân không nên ngậm tăm vì có thể vô tình nuốt phải. Nếu lỡ nuốt phải tăm, người dân cần nhanh chóng đến bệnh viện để được kiểm tra, nội soi đường tiêu hóa lấy tăm ra càng sớm càng tốt.
Nhiều người nhập viện do nuốt phải tăm tre được cấp cứu kịp thời nhưng cũng không ít người cho đến khi có triệu chứng đau bụng âm ỉ mới đi khám và nội soi phát hiện tăm tre đâm thủng tá tràng, dạ dày.
Vô tình nuốt tăm tre xỉa răng trong lúc ăn uống, nam thanh niên bị tăm tre đâm thủng ruột non gây đau bụng kéo dài, đã được các bác sĩ Bệnh viện Đa khoa Xuyên Á phẫu thuật nội soi lấy dị vật.
Nữ bệnh nhân nhập viện phẫu thuật cấp cứu do thói quen ngậm tăm sau ăn cơm. Dị vật đường tiêu hoá nếu không được phát hiện sớm và điều trị sẽ gây ra các nguy cơ chảy máu, thủng ruột, tắc ruột, áp xe ổ bụng, nhiễm khuẩn huyết...
(Kiến Thức) - Để tạo ra hàng triệu chiếc tăm mỗi ngày, nếu làm thủ công thì có thể sẽ không thể làm được. Vì vậy, không thể tin được chúng lại được tạo ra bằng cách này.
(Kiến Thức) - Người ta chỉ biết rằng những que tăm làm sạch răng mà không biết rằng mình đã bỏ phí 11 công dụng thần kì của những chiếc tăm bé nhỏ này.
Kết quả kiểm nghiệm 20 mẫu đũa tre sử dụng một lần của cả Việt Nam và Trung Quốc sản xuất đều không phát hiện các chất bảo quản (axít benzoic, Sorbic) và chất tẩy trắng (SO2), hoặc nếu có thì cũng dưới mức quy định.