![]() |
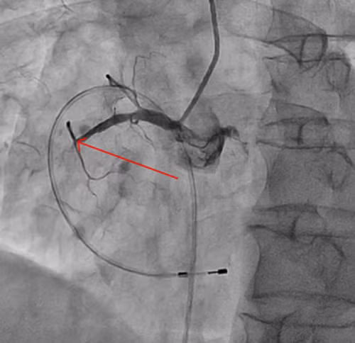
| Đoạn động mạch vành phải bị tắc hoàn toàn (vị trí mũi tên chỉ); |
![]() |
| Động mạch vành phải đã được tái thông sau khi nong và stent (vị trí mũi tên chỉ). |
![]() |
| Bác sĩ kiểm tra sức khỏe cho người bệnh sau khi can thiệp. |
![]() |
| Đoạn động mạch vành phải bị tắc hoàn toàn (vị trí mũi tên chỉ); |
![]() |
| Động mạch vành phải đã được tái thông sau khi nong và stent (vị trí mũi tên chỉ). |
![]() |
| Bác sĩ kiểm tra sức khỏe cho người bệnh sau khi can thiệp. |
Toàn hai chiếc thuyền đều không xuất trình được giấy phép khai thác khoáng sản và các giấy tờ có liên quan đến hoạt động khai thác cát.
Xuất phát từ động cơ vụ lợi cá nhân, Nguyễn Hoàng Huy (Huế) lên mạng xã hội đăng tải bài viết bịa đặt về các hoàn cảnh thương tâm nhằm kêu gọi tiền từ thiện...
Đối tượng đã làm con dấu tròn “SỞ Y TẾ TỈNH QUẢNG NINH – BỆNH VIỆN ĐA KHOA TỈNH” để làm giả giấy khám sức khỏe, giấy ra viện…
Tại vườn của một hộ dân ở Hà Nội, hàng loạt gốc hoa ly bị cắt ngọn, chặt bông, nhiều thân cây bị chém nham nhở, không còn khả năng thu hoạch.
Chủ nhiệm Văn phòng Chính phủ Trần Văn Sơn trân trọng ghi nhận và cảm ơn sự đồng hành, gắn bó của các cơ quan báo chí với hoạt động của Chính phủ.
Công an tỉnh Phú Thọ vừa triệt phá đường dây mua bán, tàng trữ vũ khí quân dụng trá hình “súng thông bồn cầu”, thu giữ 100 khẩu, khởi tố 5 bị can.
Qua số liệu báo cáo của hơn 50.000 doanh nghiệp, mức thưởng Tết Bính Ngọ 2026 bình quân là 8,69 triệu đồng/người, tăng 13% so với Tết Ất Tỵ 2025.
Giám đốc Sở Giáo dục và Đào tạo tỉnh Bắc Ninh vừa nêu một số điểm mới của kế hoạch tuyển sinh năm học 2026 - 2027 tại Hội nghị thường kỳ tháng 1/2026.
Bộ Công an khuyến cáo người dân khi tham gia các phương tiện giao thông, nếu phát hiện dấu hiệu vi phạm cần phản ánh kịp thời cho lực lượng công an.
Lợi dụng đêm tối, đường vắng, đối tượng Từ Chí Phát (TP HCM) đã gây ra liên tiếp 3 vụ cướp giật dây chuyền vàng trên địa bàn tỉnh Vĩnh Long.
Những ngày cuối năm, phố ông đồ ở Sài Gòn – TP HCM thu hút đông đảo du khách đến tham quan, xin chữ và chụp ảnh.
Bên cạnh bán trực tiếp, nhiều tiểu thương tại chợ Tết Phú Thọ đã tận dụng công nghệ để giới thiệu, chốt đơn bán đào, nâng cao hiệu quả kinh doanh.
Không làm chủ tốc độ, không giữ khoảng cách an toàn, tài xế xe tải đã đâm va vào Trung tá Lao Hoàng Hải khiến cán bộ CSGT này hy sinh tại hiện trường.
Đối tượng cướp tiền tại phòng giao dịch Agribank ở Yên Bái nhanh chóng bị Công an phường và nhân viên ngân hàng khống chế, thu giữ tang vật.
Dự kiến năm 2026, thí sinh xét tuyển đại học bằng học bạ sẽ phải có tổng điểm 3 môn thi tốt nghiệp THPT tương ứng tổ hợp xét tuyển từ 16 điểm trở lên.
Hai người đàn ông ở Quảng Trị vận chuyển 35kg gỗ mán đỉa qua khu vực rừng đặc dụng vừa bị phát hiện và bắt giữ. Vụ việc diễn ra trước làn sóng săn lùng loại cây này của thương lái Trung Quốc với giá tiền triệu mỗi kilogam.
Trong những ngày qua, tại khu vực cảng cá La Gi, tỉnh Lâm Đồng (khu vực thị xã La Gi, tỉnh Bình Thuận cũ) liên tục xảy ra vụ việc tàu cá bị chìm, trong đó có vụ làm chết lao động trên tàu cá.
Chủ nhiệm Văn phòng Chính phủ Trần Văn Sơn trân trọng ghi nhận và cảm ơn sự đồng hành, gắn bó của các cơ quan báo chí với hoạt động của Chính phủ.
Lực lượng an ninh sân bay Phú Bài vừa giúp một nữ hành khách tìm lại được chiếc túi xách đựng nhiều trang sức bằng vàng.
Qua số liệu báo cáo của hơn 50.000 doanh nghiệp, mức thưởng Tết Bính Ngọ 2026 bình quân là 8,69 triệu đồng/người, tăng 13% so với Tết Ất Tỵ 2025.
Bộ Công an khuyến cáo người dân khi tham gia các phương tiện giao thông, nếu phát hiện dấu hiệu vi phạm cần phản ánh kịp thời cho lực lượng công an.
Bộ Y tế triển khai đồng bộ các giải pháp với mục tiêu cao nhất là bảo vệ sức khỏe người dân trong dịp Tết Nguyên đán Bính Ngọ 2026.
CSGT Hà Nội đã lập biên bản vi phạm đối với cả lái xe và chủ phương tiện về hành vi đưa ô tô tải cơi nới thành thùng tham gia giao thông.
Công an tỉnh Phú Thọ vừa triệt phá đường dây mua bán, tàng trữ vũ khí quân dụng trá hình “súng thông bồn cầu”, thu giữ 100 khẩu, khởi tố 5 bị can.
Giám đốc Sở Giáo dục và Đào tạo tỉnh Bắc Ninh vừa nêu một số điểm mới của kế hoạch tuyển sinh năm học 2026 - 2027 tại Hội nghị thường kỳ tháng 1/2026.
Hai xe tải lưu thông cùng chiều bất ngờ va chạm khiến hai người tử vong tại chỗ, trong đó có một cán bộ CSGT.
Lợi dụng đêm tối, đường vắng, đối tượng Từ Chí Phát (TP HCM) đã gây ra liên tiếp 3 vụ cướp giật dây chuyền vàng trên địa bàn tỉnh Vĩnh Long.
Xuất phát từ động cơ vụ lợi cá nhân, Nguyễn Hoàng Huy (Huế) lên mạng xã hội đăng tải bài viết bịa đặt về các hoàn cảnh thương tâm nhằm kêu gọi tiền từ thiện...
Toàn hai chiếc thuyền đều không xuất trình được giấy phép khai thác khoáng sản và các giấy tờ có liên quan đến hoạt động khai thác cát.
Đang chuẩn trốn ra nước ngoài, đối tượng truy nã đặc biệt nguy hiểm Nguyễn Văn Đức đã bị Công an tỉnh Vĩnh Long phát hiện, bắt giữ.