![]() |
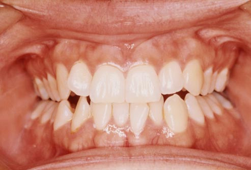
| Chúng ta không thể lường trước được sự nguy hiểm khi răng bị nhiễm trùng. |
![]() |
| Chúng ta không thể lường trước được sự nguy hiểm khi răng bị nhiễm trùng. |
![]() |
| Chuột là loài gặm nhấm với nhiều người thì nó là loại vật đáng sợ và nhiều người không dám chạm vào chúng chứ đừng nói là ăn thịt. Tuy nhiên ở Việt Nam nhiều vùng thịt chuột được chế biến thành một loạt đặc sản. Món thịt chuột trên chỉ cần nhìn thấy dám chắc rằng nhiều người cò giò bỏ chạy vì sợ hãi. |
![]() |
| Rắn mối chiên giòn: Rắn mối hay còn gọi là thằn lằn, nhiều cùng quê Việt Nam như Khánh Hòa biến rắn mối thành đặc sản và lập trại nuôi để cung cấp cho thực khách. Tuy nhiên nếu vào mâm nhìn thấy đĩa rắn mối chiên giòn nguyên con khủng khiếp thế kia liệu bạn có đủ dụng cảm để ngồi tới cuối bữa? |
![]() |
| Miệng có vị “ăn kim loại”. Đây là một trong những dấu hiệu mang thai khá lạ. Hầu như các bác sĩ sẽ không thể khẳng định tại sao lại xuất hiện triệu chứng này và có thể sẽ cho là bạn đang tưởng tượng ra nó. Tất nhiên là bạn không hề tưởng tượng ra nó. Một số bác sĩ cho rằng đó là dấu hiệu của việc trào ngược acid, thường xảy ra khi bạn đang mang thai. Cũng có thể là do sự mất cân bằng hoocmone ở phụ nữ có thai. |
![]() |
| Nhai đá: Nhiều người có thói quen nhai đá, đặc biệt là đá còn sót lại trong một món đồ uống nào đó. Độ cứng và nhiệt độ lạnh của đá thực sự có thể làm cho răng bị gãy, làm hỏng men răng và có khi còn làm lung lay răng. |
![]() |
| Nghiến răng: Tật nghiến răng có thể dẫn đến một loạt các vấn đề về răng bao gồm hao mòn răng, sứt mẻ, nứt, gãy răng và lung lay. Nó cũng có thể gây đau ở các khớp xương hàm, nhức đầu và đau răng nghiêm trọng. |
Dù chào giá thấp nhất tại gói thầu mua sắm xe ô tô, Công ty Ô tô Miền Nam vừa bị chủ đầu tư xử phạt, khóa tài khoản 06 tháng do vi phạm quy định về đối chiếu.
Theo tìm hiểu của Báo Tri thức và Cuộc sống, mức giá của Công ty Thái Hải thấp hơn đơn vị trúng thầu gần 315 triệu đồng vẫn bị loại bởi các tiêu chí kỹ thuật.
Công ty TNHH Bảo Tín Minh Châu sử dụng hai hệ thống sổ sách để trốn thuế, nghi giấu doanh thu lên đến 9.700 tỷ đồng; gây thiệt hại ngân sách khoảng 150 tỷ đồng.
Tại gói thầu xây lắp dự án nâng cấp đường liên xã Ninh Phụng – Ninh Trung, Công ty TNHH Phúc Minh Đạt đã xuất sắc vượt qua các đối thủ nhờ sự chuẩn bị kỹ lưỡng về giải pháp kỹ thuật và biện pháp thi công.
Công ty TNHH Đầu tư Xây dựng Thương mại Loan Khải liên tiếp trúng thầu tại phường Dương Kinh với tỷ lệ tiết kiệm cho ngân sách ở mức "rất thấp", chỉ từ 0,4%.
Từ ngày 28/10/2024, ông Vũ Minh Châu không còn là người đại diện pháp luật của Bảo Tín Minh Châu, thay vào đó là bà Phạm Lan Anh.
Gói thầu xây dựng Trường TH thị trấn Vĩnh Hưng vừa công khai biên bản mở thầu với sự tham gia của 02 nhà thầu, ghi nhận mức giá dự thầu sát với giá dự toán được phê duyệt
Cơ quan công an khởi tố 8 bị can liên quan đường dây tiêu thụ gần 300 tấn lợn bệnh, đưa ra thị trường và trường học, thu lợi bất chính khoảng 2,5 tỷ đồng.
Công ty Tuệ Minh được xã Long Khánh phê duyệt trúng thầu hơn 1,7 tỷ đồng vào ngày 24/03, dù đến 27/03 đơn vị này mới có tên trên hệ thống đấu thầu quốc gia.
Liên tiếp trúng các gói thầu cung cấp thiết bị mạng, máy tính với giá trị hàng tỷ đồng tại Trường Đại học Tôn Đức Thắng, Công ty Cổ phần Hệ thống Công nghệ Hoàng Hải đang cho thấy một "vị thế" đáng nể.
Chỉ duy nhất nhà thầu An Đại Lộc tham dự và trúng thầu tại dự án nâng cấp đường Thái Thị Thêm (đoạn 2) do Ban Quản lý dự án xã Phước Lý làm chủ đầu tư
Một công ty mới thành lập chưa lâu nhưng đã trúng toàn bộ 149 gói thầu suất ăn học đường với tổng giá trị hơn 500 tỷ đồng, gây chú ý về mức độ cạnh tranh.
Với tỷ lệ trúng thầu lên tới hơn 91%, năng lực thực tế của Công ty Tư vấn Xây dựng ĐHĐ và trách nhiệm của các cơ quan quản lý tại xã Tân Thuận Bình đang là vấn đề được dư luận quan tâm.
Từ Báo cáo đánh giá E-HSDT gói thầu đường An Lập 25, dư luận không khỏi ngỡ ngàng khi đối thủ duy nhất bị loại bởi những lỗi sơ đẳng về thuế và năng lực đã dọn đường cho Nam Việt Hưng trúng thầu.
Bên cạnh những gói thầu thiết bị mạng và máy tính, Công ty Cổ phần Hệ thống Công nghệ Hoàng Hải còn trúng thầu cung cấp máy chủ vận hành phần mềm quản lý tài chính. Sự xuất hiện dày của nhà thầu này trong "hệ sinh thái" thiết bị CNTT của trường đặt ra nhiều nghi vấn.
Trong mạng lưới trúng thầu của Công ty TNHH Thương mại Gia Bảo A.B, có những gói thầu mà số tiền tiết kiệm cho ngân sách chỉ ở mức "tượng trưng", cùng sự xuất hiện lặp lại của các đối thủ.
Liên tiếp trúng các gói thầu cung cấp thiết bị mạng, máy tính với giá trị hàng tỷ đồng tại Trường Đại học Tôn Đức Thắng, Công ty Cổ phần Hệ thống Công nghệ Hoàng Hải đang cho thấy một "vị thế" đáng nể.
Với tổng giá trị trúng thầu cán mốc hơn 190,9 tỷ đồng, Công ty TNHH Xây dựng Hồng Hậu đang thể hiện vị thế áp đảo tại địa bàn thành phố Cần Thơ mới sau sáp nhập địa giới hành chính.
Phân tích dữ liệu lịch sử đấu thầu của Công ty TNHH DVS Việt Nam cho thấy tỉ lệ tiết kiệm trung bình của doanh nghiệp này chỉ ở mức 0,21%. Một con số rất khiêm tốn.
Với tỷ lệ trúng thầu áp đảo tại các đơn vị thành viên Tập đoàn Xăng dầu Việt Nam (Petrolimex), Công ty TNHH Kỹ thuật Sao Việt đang cho thấy một "vị thế" đặc biệt trong lĩnh vực cung cấp thiết bị hóa nghiệm và đo lường.
Công ty TNHH Bảo Tín Minh Châu sử dụng hai hệ thống sổ sách để trốn thuế, nghi giấu doanh thu lên đến 9.700 tỷ đồng; gây thiệt hại ngân sách khoảng 150 tỷ đồng.
Công ty TNHH Đầu tư Xây dựng Thương mại Loan Khải liên tiếp trúng thầu tại phường Dương Kinh với tỷ lệ tiết kiệm cho ngân sách ở mức "rất thấp", chỉ từ 0,4%.
Cơ quan công an khởi tố 8 bị can liên quan đường dây tiêu thụ gần 300 tấn lợn bệnh, đưa ra thị trường và trường học, thu lợi bất chính khoảng 2,5 tỷ đồng.
Từ ngày 28/10/2024, ông Vũ Minh Châu không còn là người đại diện pháp luật của Bảo Tín Minh Châu, thay vào đó là bà Phạm Lan Anh.
Gói thầu xây lắp dự án láng nhựa đường KT3 vừa hoàn thành mở thầu qua mạng với sự tham gia của 02 nhà thầu địa phương, ghi nhận tỷ lệ giảm giá cạnh tranh nhằm tiết kiệm ngân sách nhà nước
Sau khi sáp nhập các đơn vị hành chính cấp xã theo Nghị quyết 1682 tại Tây Ninh, việc giám sát chặt chẽ công tác lựa chọn nhà thầu là yếu tố then chốt để đảm bảo minh bạch ngân sách.
Tại gói thầu xây lắp dự án nâng cấp đường liên xã Ninh Phụng – Ninh Trung, Công ty TNHH Phúc Minh Đạt đã xuất sắc vượt qua các đối thủ nhờ sự chuẩn bị kỹ lưỡng về giải pháp kỹ thuật và biện pháp thi công.
Công ty Tuệ Minh được xã Long Khánh phê duyệt trúng thầu hơn 1,7 tỷ đồng vào ngày 24/03, dù đến 27/03 đơn vị này mới có tên trên hệ thống đấu thầu quốc gia.
Dù chào giá thấp nhất tại gói thầu mua sắm xe ô tô, Công ty Ô tô Miền Nam vừa bị chủ đầu tư xử phạt, khóa tài khoản 06 tháng do vi phạm quy định về đối chiếu.
Gói thầu số 8 tại Than Vàng Danh ghi nhận diễn biến bất ngờ khi chủ đầu tư quyết định chấm dứt hợp đồng với liên danh trúng thầu do vi phạm nghiêm trọng tiến độ