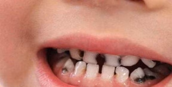
Loạt thói quen khiến trẻ bị sâu răng, cha mẹ nên chú ý sớm

Trên thực tế, nhiều phụ huynh có hiểu lầm khi cho rằng chỉ có kẹo mới gây sâu răng ở trẻ, chỉ cần trẻ không được ăn kẹo thì sẽ không bị sâu răng.

Trên thực tế, đường chỉ có thể là nguyên nhân thứ hai gây sâu răng ở trẻ em và đường đọng lại trong miệng mới là thủ phạm.

Loat thoi quen khien tre bi sau rang, cha me nen chu y som

Những thói quen này của cha mẹ có thể khiến con bạn bị sâu răng

Cha mẹ có thể nghĩ rằng răng của trẻ xấu là do ăn đường và không thể phủ nhận hoàn toàn vai trò của đường, nhưng cha mẹ nên loại bỏ những thói quen này càng sớm càng tốt.

1. Cho trẻ ăn nhiều đường

Như chúng ta đã biết, sở thích ăn vặt của trẻ không thể nào ngăn cản được, một số cha mẹ còn thích mua đồ ăn vặt cho con như bánh kem, bánh mì, nước uống có ga,…

Hàm lượng saccharin trong loại thực phẩm này rất cao, các nhà khoa học nghiên cứu sinh học đã chỉ ra rằng saccharin không phải là đường mà là sản phẩm tổng hợp, chứa rất nhiều chất hóa học, nếu ăn quá nhiều thực phẩm chứa saccharin sẽ trực tiếp kích thích các dây thần kinh răng nhạy cảm, cặn bã ở các kẽ răng rất bất lợi cho sức khỏe răng miệng của trẻ. Chúng tồn tại lâu trong miệng trẻ dễ làm mòn men răng và hình thành sâu răng.

Loat thoi quen khien tre bi sau rang, cha me nen chu y som-Hinh-2

2. Không hình thành thói quen đánh răng càng sớm càng tốt

Nói chung, cha mẹ nên bắt đầu đánh răng cho trẻ khi chiếc răng sữa đầu tiên của trẻ mọc ra, nhưng nhiều cha mẹ cảm thấy rằng về cơ bản là không thể cho trẻ đánh răng sau khi ăn vặt vì trẻ còn nhỏ và khả năng thực hành kém. Điều này khiến vi khuẩn tồn đọng trong miệng và gây sâu răng.

3. Không khám răng cho con thường xuyên

Loat thoi quen khien tre bi sau rang, cha me nen chu y som-Hinh-3

Sự phát triển thể chất của trẻ em khác với người lớn, xương và các cơ quan trong cơ thể trẻ em giai đoạn đầu đời chưa phát triển hoàn thiện, răng cũng vậy. Lúc này, nếu cha mẹ không thể thường xuyên quan sát quá trình phát triển răng miệng của trẻ mà bỏ qua, vi khuẩn sẽ lợi dụng và phá hủy cấu trúc răng của trẻ.

Cha mẹ nên làm gì khi phát hiện con mình “miệng đầy sâu răng”?

Cha mẹ rất lo lắng khi phát hiện con mình bị sâu răng, nhưng lo lắng cũng vô ích, quan trọng là giúp trẻ sửa một số thói quen trong sinh hoạt, nếu có răng sâu thì phải nhổ bỏ. Phương pháp cụ thể như sau:

1. Đưa trẻ đến bệnh viện điều trị kịp thời

Khi phát hiện trẻ bị sâu răng, cha mẹ phải giữ bình tĩnh, đưa trẻ đến bệnh viện để kiểm tra kỹ lưỡng, tuân theo lời khuyên điều trị của bác sĩ và giúp trẻ hợp tác điều trị, để không để lại những rắc rối vĩnh viễn cho răng của đứa trẻ.

2. Giúp trẻ xử lý một số trường hợp khẩn cấp

Đau răng tuy không được coi là bệnh nhưng lại thực sự khiến trẻ khó chịu và khiến cha mẹ xót xa. Khi bị đau răng, cha mẹ nên kịp thời kiểm tra xem chiếc răng nào của trẻ bị “sâu”, nếu cần thiết có thể áp dụng một số biện pháp làm giảm cơn đau răng và giúp trẻ giảm bớt sự khó chịu ở chiếc răng này.

Loat thoi quen khien tre bi sau rang, cha me nen chu y som-Hinh-4

* Súc miệng nước muối

Cha mẹ có thể chuẩn bị một cốc nước muối nhạt để súc miệng cho trẻ, nước muối có tác dụng sát trùng, diệt khuẩn, giúp trẻ có thể chống lại một số vi khuẩn xâm nhập vào răng, phá hủy cấu trúc răng, làm sạch răng miệng cho trẻ.

* Chữa đau răng bằng nước cốt chanh

Theo "Báo cáo điều trị lâm sàng trẻ em bị sâu răng" do viện sĩ Yin, một nhà nghiên cứu y khoa, khi ông nghiên cứu trẻ em bị sâu răng, vôi có chứa một lượng lớn axit citric có tác dụng ức chế sự sinh sản của vi khuẩn và có tác dụng tẩy rửa mạnh và hiệu quả khử trùng. Hãy thử các phương pháp điều trị bổ sung áp dụng cho bệnh sâu răng ở trẻ em. Vì vậy, cha mẹ có thể mua một hoặc hai quả chanh xanh tươi, vắt lấy nước cốt chanh rồi dùng ống hút đưa lên bề mặt răng bị đau của trẻ, lưu lại một lúc sẽ làm dịu cơn khó chịu do đau răng gây ra.

Loat thoi quen khien tre bi sau rang, cha me nen chu y som-Hinh-5

* Nén ấm

Rửa sạch bằng nước ấm và đắp khăn sạch lên mặt trẻ, chú ý những vùng răng bị đau trên khuôn mặt, chườm lạnh có thể làm giảm cảm giác đau rát do đau răng và giúp trẻ giảm bớt sự khó chịu khi bị sâu răng.

Cha mẹ biết những thói quen tốt này giúp trẻ tránh sâu răng

Loat thoi quen khien tre bi sau rang, cha me nen chu y som-Hinh-6

Không cha mẹ nào muốn con mình có “cái miệng đầy sâu răng”, ngoài việc cho trẻ ăn ít đường, việc rèn luyện cho con một số thói quen tốt cho con cũng vô cùng quan trọng, điều cha mẹ cần làm những điều sau và hãy nói một cái gì đó về sâu răng với con cái của họ.

1. Chú ý chăm sóc răng miệng để ức chế sự phát triển của vi khuẩn

Cha mẹ nên hiểu rằng việc trẻ bị sâu răng phần lớn là do môi trường miệng có vấn đề, có thể nói khoang miệng đã bị “ô nhiễm”, môi trường miệng bị ô nhiễm rất dễ sinh sôi vi khuẩn và làm hỏng hàm răng chắc khỏe của trẻ.

Vì vậy, cha mẹ cần làm gương, đôn đốc trẻ hình thành thói quen tốt đánh răng trước khi đi ngủ hàng ngày từ khi trẻ 2 tuổi, để miệng trẻ luôn trong môi trường sạch sẽ, không vi khuẩn sẽ không có vấn đề gì với răng.

Loat thoi quen khien tre bi sau rang, cha me nen chu y som-Hinh-7

2. Bỏ đồ ăn vặt nhiều đường và bổ sung dinh dưỡng hợp lý

Cha mẹ có thể phủ nhận rằng đồ ăn vặt không bổ dưỡng, bởi không có đứa trẻ nào là không thích ăn vặt, nhưng ăn quá nhiều đồ ngọt dễ làm mòn răng, những thực phẩm như socola, phô mai hay bánh kem đều cung cấp dinh dưỡng cho trẻ đồng thời cũng đang phá hủy răng của trẻ, vì vậy cha mẹ được yêu cầu không cho trẻ ăn quá nhiều thực phẩm có hàm lượng đường cao, và thay thế một số đồ ăn nhẹ có đường bằng trái cây và rau tươi càng nhiều càng tốt, để đảm bảo dinh dưỡng đồng thời không làm hỏng răng của trẻ.

Loat thoi quen khien tre bi sau rang, cha me nen chu y som-Hinh-8
Loat thoi quen khien tre bi sau rang, cha me nen chu y som-Hinh-9
Loat thoi quen khien tre bi sau rang, cha me nen chu y som-Hinh-10
Loat thoi quen khien tre bi sau rang, cha me nen chu y som-Hinh-11

Sâu răng xuất hiện ở độ tuổi còn nhỏ có thể khiến cha mẹ và bạn bè lo lắng. Từ bỏ những thói quen xấu đó là cách tốt nhất để trẻ không bị sâu răng. Thường xuyên vệ sinh và chăm sóc khoang miệng của trẻ để vi khuẩn không có nơi ẩn náu. Cha mẹ có thể yên tâm rằng con có một cái miệng trắng và răng nguyên vẹn, con không bị đau răng và thức ăn có mùi vị thơm ngon.

Những vấn đề sức khỏe khiến bạn bị hôi miệng

Tiểu đường, gan nhiễm mỡ, suy thận, dị ứng là một số căn bệnh có thể gây ra tình trạng hôi miệng trong thời gian dài.

Hầu như ai cũng gặp phải tình trạng hôi miệng một lần. Nhưng đối với một số người, hôi miệng là vấn đề hàng ngày và họ phải vật lộn để tìm ra giải pháp. Chứng hôi miệng thường xảy ra vào buổi sáng sau khi thức dậy, sử dụng một số đồ uống, bao gồm rượu hoặc cà phê, hay hút thuốc lá.

Tình trạng này thường do vi khuẩn có trên răng và các mảnh vụn trên lưỡi gây ra. Vì vậy, không có gì ngạc nhiên khi hầu hết trường hợp hôi miệng thường do vệ sinh răng miệng kém, các bệnh về nướu như viêm nướu, viêm nha chu và khô miệng.

Vợ chồng cãi nhau đốt nhà, con trai chết thảm

Hai vợ chồng cãi nhau, đổ xăng đốt nhà định cùng chết. Kết quả họ chỉ sặc khói bị thương nhẹ, người tử vong lại là cậu con trai 20 tuổi.

6 điều cần nắm khi ăn dưa hấu kẻo hại sức khoẻ, nhiều người thích mê loại quả này mà không biết

Dưa hấu là loại trái cây ngọt mát, rất bổ dưỡng và được nhiều người ưa thích. Tuy nhiên, nếu như không biết cách ăn, loại trái cây này sẽ gây hại cho sức khỏe.

Không ăn dưa hấu quá lạnh

Mặc dù mùa hè trời nóng, dưa hấu để lạnh có tác dụng giải khát rất tốt, nhưng đồng thời nó cũng kích thích làm tổn thương dạ dày. Tốt nhất bạn nên để dưa hấu ở nhiệt độ ở 8-10 độ C là hợp lí; mỗi lần ăn không nên vượt quá 500gam. Một số bạn bị sâu răng, sau khi ăn cảm thấy đau buốt răng hay những ai chức năng dạ dày không tốt, không nên ăn.

Đọc nhiều nhất

Tin mới

Sản phụ sau sinh ăn gì để lợi sữa?

Sản phụ sau sinh ăn gì để lợi sữa?

Mẹ bầu sau sinh cần một chế độ dinh dưỡng cân đối, khoa học giữa các nhóm chất dinh dưỡng như chất đạm, chất béo, chất bột đường, vi khoáng, chất xơ.