Bữa sáng không chỉ cung cấp năng lượng cho cơ thể mà còn ảnh hưởng trực tiếp đến sức khỏe răng miệng. Lựa chọn thông minh giúp men răng chắc khỏe cả ngày.
Đánh răng tưởng chừng như là một việc nhỏ, nhưng với nhiều gia đình nó lại là “cuộc chiến” mỗi sáng và tối. Không ít cha mẹ cảm thấy mệt mỏi khi phải nhắc nhở, năn nỉ, thậm chí “ra chiêu” con vẫn không chịu hợp tác.
Sức khỏe tiêu hóa và răng miệng có mối quan hệ mật thiết với nhau. Khi hệ tiêu hóa gặp vấn đề, không chỉ cơ thể bị ảnh hưởng mà còn có tác động trực tiếp đến răng, nướu và hơi thở.
Cảm giác ê buốt răng khi ăn kem lạnh hoặc súp nóng là dấu hiệu của sâu răng, nứt răng và phổ biến hơn cả là nhạy cảm ngà răng. Có rất nhiều nguyên nhân gây bệnh cần biết để xử lý.
Viêm tuỷ răng nếu không được điều trị triệt để, bị tái phát nhiều lần chẳng những mang đến nguy cơ nhổ răng hàm sữa sớm mà còn dễ gây biến chứng viêm nhiễm toàn thân, nguy cơ nhiễm trùng máu.
Viêm tuỷ răng nếu không được điều trị triệt để, bị tái phát nhiều lần chẳng những mang đến nguy cơ nhổ răng hàm sữa sớm mà còn có nguy cơ biến chứng viêm nhiễm toàn thân, nguy cơ nhiễm trùng máu vô cùng nguy hiểm...
Việc đánh răng là thói quen sinh hoạt hằng ngày của mọi người, dù nghe có vẻ dễ dàng như vậy, nhưng rất ít người trong chúng ta thực sự đã đánh răng đúng cách.
Nếu không muốn gặp nha sĩ vì các vấn đề răng lợi, bạn hãy tự mình chăm sóc chúng thật tốt. Các bác sĩ khuyên nên kết hợp vệ sinh răng miệng sạch sẽ với một số thay đổi chế độ ăn uống.
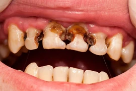
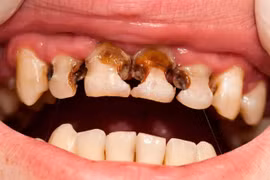
Sâu răng là bệnh răng miệng phổ biến, nhất là ở trẻ em. Răng sâu đem đến rất nhiều phiền toái, khiến người bệnh ăn không ngon, đau đớn kéo dài và ảnh hưởng đến chất lượng cuộc sống.