![]() |
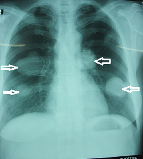
| Kết quả chụp X-quang của chị Cẩm Thị H. có 4 khối u khổng lồ trên phổi, mỗi bên có 2 u. |
![]() |
| Sán dây chó dưới kính hiển vi. |
![]() |
| Kết quả chụp X-quang của chị Cẩm Thị H. có 4 khối u khổng lồ trên phổi, mỗi bên có 2 u. |
![]() |
| Sán dây chó dưới kính hiển vi. |
![]() |
| Dưỡng da mềm mịn. Lấy 10 lá diếp cá rửa sạch, nghiền nát, lấy bông mềm thấm phần nước cốt lau nhẹ lên da mặt và cổ. Sau đó, dùng các đầu ngón tay vỗ nhẹ khắp mặt khoảng 1 phút để nước cốt diếp cá thấm sâu vào da và rửa mặt sau 15 phút. |
![]() |
| Sữa bò. Sữa bò tươi có chứa một lượng lớn protein, nguyên nhân gây cảm giác đầy bụng ở trẻ. Hơn nữa, dạ dày của trẻ cũng không thể tiêu hoá do thiếu enzim thẩm thấu. Ngoài ra, hàm lượng protein quá cao có thể làm tăng nguy cơ mắc tiểu đường nếu trong gia đình có “tiền sử” mắc bệnh tiểu đường. Vậy nên tốt nhất là cho trẻ uống sữa bò khi bé được 1 tuổi trở lên. |
![]() |
| Để chọn được trái giòn và thơm, chị em lưu ý chọn những quả có kích cỡ vừa phải, màu trắng hồng hoặc vàng trong, hơi dẹt; khi gọt không có cảm giác sít tay. |
Cục Đăng kiểm VN cho biết không có cơ sở kỹ thuật để chấp thuận kiến nghị chỉ đạp ga khoảng 1/2 hành trình khi kiểm định khí thải đối với ô tô diesl thế hệ cũ.
Vượt qua 6 đối thủ cạnh tranh, Liên danh Việt Ngân - Phùng Hưng vừa trúng gói thầu kè chống sạt lở sông Máu với giá giảm hơn 2,8 tỷ đồng so với dự toán ban đầu.
Gói thầu xây dựng trạm quan trắc tại KCN Giao Long vừa ghi nhận kết quả trúng thầu của Liên danh Thành Thiên – Tùng Phát với tỷ lệ tiết kiệm 1,6%
Gói thầu chiếu sáng tại phường Phú Lợi, TP Cần Thơ đang thu hút sự quan tâm khi có đến 7 nhà thầu tham dự, trong đó một đơn vị chào giá thấp hơn giá gói thầu tới hơn 45%.
Thông qua hình thức chỉ định thầu, Công ty TNHH Khâm Đức vừa được giao thi công gói thầu hơn 1,73 tỷ đồng tại xã Đạ Tẻh 2 với tỷ lệ tiết kiệm ngân sách thấp.
Với mức giảm giá sâu hơn 22%, nhà thầu đến từ Cần Thơ đã vượt qua hàng loạt doanh nghiệp "tên tuổi" để đảm nhận gói thầu xây dựng quan trọng thuộc dự án Trung tâm y tế huyện Châu Thành
Chỉ trong một ngày, Công ty TNHH XD Minh Đạt NH được phê duyệt trúng liên tiếp hai gói thầu xây lắp tại phường Ninh Hòa (tỉnh Khánh Hòa) thông qua hình thức chỉ định thầu với tỉ lệ tiết kiệm cho ngân sách bằng 0.
Chỉ trong ngày 12/3/2026, Công ty TNHH Xây dựng Thương mại Nguyễn Lê Gia đã được Phòng Kinh tế, Hạ tầng và Đô thị phường Ninh Hòa phê duyệt trúng liên tiếp 3 gói thầu với tỷ lệ tiết kiệm 0 đồng.
Xã Hàm Thuận Bắc vừa phê duyệt chỉ định thầu cho Công ty Nguyên Luân thực hiện gói thầu xây lắp hệ thống chiếu sáng với giá trị hơn 1,3 tỷ đồng.
Ban Quản lý dự án xã Trí Phải vừa chỉ định Công ty TNHH Xây dựng Gia Thịnh Phát thực hiện gói thầu hơn 1,8 tỷ đồng với tỷ lệ tiết kiệm 5,07%.
Với việc cùng lúc thực hiện 3 dự án hạ tầng lớn tại phường Ninh Hòa, năng lực thực thi và máy móc nhân sự của Công ty TNHH Xây dựng Thương mại Nguyễn Lê Gia đang là tâm điểm chú ý.
Tại gói thầu số 28 thuộc dự án đầu tư thiết bị dạy học huyện An Phú, Công ty Xây dựng Phương Quyên đã khẳng định năng lực khi trúng thầu sát nút, loại bỏ đối thủ nhờ hồ sơ kỹ thuật vượt trội.
Xã Hàm Thuận Bắc vừa phê duyệt chỉ định thầu cho Công ty Nguyên Luân thực hiện gói thầu xây lắp hệ thống chiếu sáng với giá trị hơn 1,3 tỷ đồng.
Vượt qua giá dự toán của Ban Quản lý dự án đầu tư xây dựng khu vực Cần Giuộc, một liên danh "quen mặt" tại địa phương đã trúng thầu sát nút, giúp ngân sách tiết kiệm hơn 1,6 tỷ đồng.
Ban Quản lý dự án xã Trí Phải vừa chỉ định Công ty TNHH Xây dựng Gia Thịnh Phát thực hiện gói thầu hơn 1,8 tỷ đồng với tỷ lệ tiết kiệm 5,07%.
Thông qua hình thức chỉ định thầu, Công ty TNHH Khâm Đức vừa được giao thi công gói thầu hơn 1,73 tỷ đồng tại xã Đạ Tẻh 2 với tỷ lệ tiết kiệm ngân sách thấp.
Cục Đăng kiểm VN cho biết không có cơ sở kỹ thuật để chấp thuận kiến nghị chỉ đạp ga khoảng 1/2 hành trình khi kiểm định khí thải đối với ô tô diesl thế hệ cũ.
Gói thầu xây dựng trạm quan trắc tại KCN Giao Long vừa ghi nhận kết quả trúng thầu của Liên danh Thành Thiên – Tùng Phát với tỷ lệ tiết kiệm 1,6%
Với mức giảm giá sâu hơn 22%, nhà thầu đến từ Cần Thơ đã vượt qua hàng loạt doanh nghiệp "tên tuổi" để đảm nhận gói thầu xây dựng quan trọng thuộc dự án Trung tâm y tế huyện Châu Thành
Chỉ trong ngày 12/3/2026, Công ty TNHH Xây dựng Thương mại Nguyễn Lê Gia đã được Phòng Kinh tế, Hạ tầng và Đô thị phường Ninh Hòa phê duyệt trúng liên tiếp 3 gói thầu với tỷ lệ tiết kiệm 0 đồng.
Vượt qua 6 đối thủ cạnh tranh, Liên danh Việt Ngân - Phùng Hưng vừa trúng gói thầu kè chống sạt lở sông Máu với giá giảm hơn 2,8 tỷ đồng so với dự toán ban đầu.
Chỉ trong một ngày, Công ty TNHH XD Minh Đạt NH được phê duyệt trúng liên tiếp hai gói thầu xây lắp tại phường Ninh Hòa (tỉnh Khánh Hòa) thông qua hình thức chỉ định thầu với tỉ lệ tiết kiệm cho ngân sách bằng 0.
Gói thầu chiếu sáng tại phường Phú Lợi, TP Cần Thơ đang thu hút sự quan tâm khi có đến 7 nhà thầu tham dự, trong đó một đơn vị chào giá thấp hơn giá gói thầu tới hơn 45%.
Cuộc đấu thầu tại Ban QLDA Bình Thủy gây chú ý khi các đơn vị chào giá cạnh tranh đều trượt thầu do sai sót ở giải pháp kỹ thuật, nhường sân cho liên danh quen thuộc trúng sát nút.
Phân tích dữ liệu lịch sử đấu thầu của Công ty Phan Gia Phát Kon Tum cho thấy một sự ổn định đáng kinh ngạc khi nhà thầu này trúng đến 48/49 gói thầu đã tham gia.
Chào giá siêu tiết kiệm, Công ty TNHH Kiến Phúc được UBND xã Nam Khánh Vĩnh lựa chọn thi công dự án khắc phục hậu quả mưa lũ với tỷ lệ giảm giá hơn 22%.
Công ty Nguyễn Duy vừa được Ban quản lý dự án xã Phước Hữu chỉ định thầu gói số 04 trị giá hơn 1,7 tỷ đồng, tỷ lệ tiết kiệm ngân sách cực kỳ khiêm tốn.
Dù bỏ giá thấp hơn 170 triệu đồng, nhưng Công ty Thuận Đức Phát vẫn ngậm ngùi rời cuộc chơi tại gói thầu xây dựng đường Khu 2, nhường sân cho Công ty Tấn Phượng
Chỉ duy nhất Công ty TNHH Thuận Hòa Hưng tham gia và trúng gói thầu thi công Nâng cấp Lộ Bà Đóm tại xã Mỹ Tú với tỉ lệ tiết kiệm ngân sách ở mức 2,4%
Tại gói thầu dịch vụ công ích xã Xà Phiên, Cần Thơ, một nhà thầu gây chú ý khi bỏ giá thấp hơn dự toán hàng trăm triệu đồng, dấy lên nghi vấn về tính khả thi và chất lượng thực hiện.