![]() |
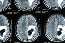
| Hình ảnh CT sọ não phát hiện tổ sán lợn trong não bệnh nhân |
Phân biệt chắp - lẹo, cách điều trị và phòng ngừa bệnh hiệu quả
Chắp và lẹo là hai bệnh thường gặp ở bờ mi mắt. Hai bệnh này khác nhau nhưng hay bị nhầm lẫn, vì vậy phân biệt 2 chứng bệnh này rất cần thiết cho mỗi người để việc điều trị và phòng ngừa bệnh hiệu quả hơn.
Liệt nửa người, não có 5 tổ sán do món "khoái khẩu" tiết canh
Do ăn tiết canh, một người đàn ông ở huyện Quỳ Hợp, Nghệ An đã bị liệt nửa người vì não có nhiều sán làm tổ gây phù não.
Khoái khẩu tiết canh lợn, người đàn ông bị phù não vì sán làm tổ
Do ăn tiết canh, một người đàn ông ở huyện Quỳ Hợp, Nghệ An đã bị liệt nửa người vì não có nhiều sán làm tổ gây phù não.
Đọc nhiều nhất
Chăm quất cảnh sau Tết đúng cách, mang sắc xuân trở lại mỗi năm
Theo chuyên gia, khi được chăm sóc đúng cách, quất cảnh có thể trở thành cây cảnh lâu năm, mang sắc xuân trở lại mỗi mùa Tết.
Gắp thành công côn trùng sống trong ống tai bệnh nhân ở Quảng Trị
Khi phát hiện côn trùng chui vào tai, người bệnh đã đến tiệm cắt tóc để lấy nhưng không được, sau đó được người nhà đưa đến bệnh viện thăm khám.
Huế có gì hấp dẫn khiến du khách quốc tế 'phải lòng'?
Vẻ đẹp trầm lắng, chất thơ và nhịp sống chậm giúp Huế lọt top điểm đến trăng mật lãng mạn nhất thế giới 2026, ghi dấu ấn trên bản đồ du lịch.
'Kho báu' dinh dưỡng ẩn sau lớp vỏ cứng của macca
Hạt macca giúp giảm cholesterol, hỗ trợ hệ tiêu hóa, làm đẹp da và tóc, đồng thời tăng cường sức khỏe xương và kiểm soát đường huyết.
Tín hiệu cơ thể 'quá tải' sau Tết
Sau những ngày Tết, việc lắng nghe các tín hiệu cảnh báo của cơ thể chính là bước quan trọng để bảo vệ sức khỏe lâu dài trong năm mới.
Mách chị em cách làm cá lóc nướng cúng ngày vía Thần Tài, đơn giản mà ý nghĩa
Không chỉ vàng hay heo quay, cá lóc nướng là lễ vật quen thuộc trong ngày vía Thần Tài của người miền Nam, mang ý nghĩa cầu tài lộc, may mắn và bứt phá đầu năm.
Ô nhiễm không khí đe dọa sức khỏe mắt, cần chủ động phòng tránh
Các chuyên gia cảnh báo tác hại của bụi mịn đối với mắt, khuyến khích người dân theo dõi chất lượng không khí và thực hiện các biện pháp bảo vệ đúng cách.
Thói quen buổi sáng tốt cho sức khỏe não bộ
Một số thói quen buổi giúp não bộ hoạt động hiệu quả, ngăn ngừa lão hóa, tăng cường tập trung và tinh thần sảng khoái để khởi đầu ngày mới.
Mẹo nhỏ giúp nhà khô ráo, sạch mùi trong mùa nồm ẩm
Nồm ẩm khiến sàn nhà “đổ mồ hôi”, đồ đạc ẩm mốc và bốc mùi khó chịu. Chỉ với vài mẹo đơn giản dưới đây đã bạn có thể giữ không gian sống luôn khô ráo, dễ chịu.
Cá lóc giàu dinh dưỡng nhưng chuyên gia cảnh báo 4 nhóm người hạn chế ăn
Dù giàu protein và vitamin, cá lóc cần hạn chế với người mắc bệnh gout, gan, thận hoặc dị ứng để tránh rủi ro sức khỏe.
