Ngày 4-7, Bệnh viện hữu nghị đa khoa Nghệ An cho biết bệnh viện này vừa phẫu thuật vét 5 ổ sán trong đầu một bệnh nhân nam do ăn tiết canh.
![]() |
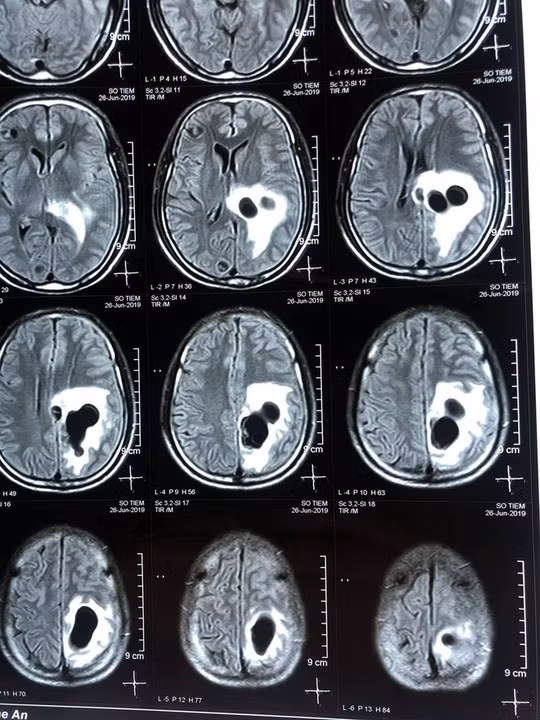
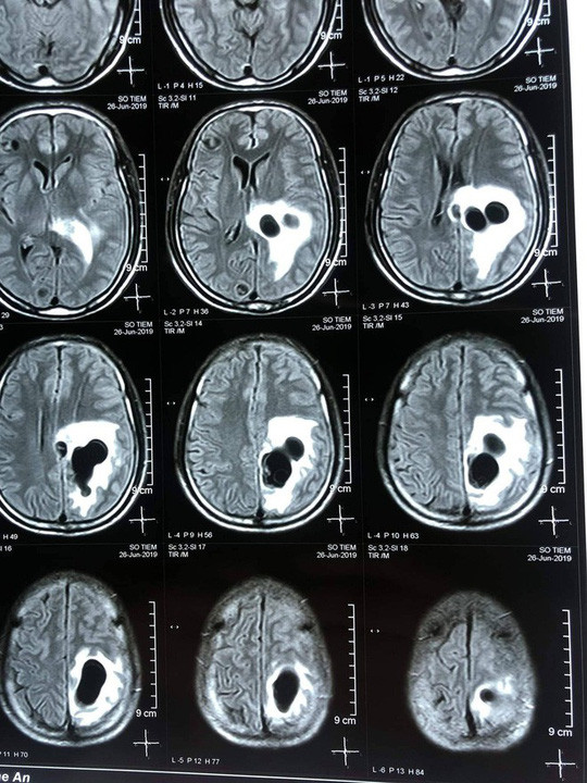
| Não nạn nhân có nhiều sán làm tổ do ăn tiết canh. |
Theo người nhà, khoảng 1 tháng trở lại đây, ông Lô Văn S. (38 tuổi, trú huyện Quỳ Hợp, Nghệ An) thường xuyên xuất hiện những cơn đau đầu triền miên. Dù uống thuốc nhiều nhưng ông S. không đỡ. Cách đây 1 tuần, ông S. bị liệt nửa người, đau đầu nhiều, buồn nôn nên được người nhà đưa đi cấp cứu tại bệnh viện.
Qua thăm khám và chụp CT não, các bác sĩ phát hiện có 5 ổ sán nằm rải rác trong não ông S., trong đó có một ổ sán lớn trên đỉnh não của bệnh nhân gây phù não.
Bệnh nhân sau đó được các bác sĩ phẫu thuật lấy được trọn vẹn các ổ nang sán khỏi não. Sau ca mổ, bệnh nhân S. hồi phục, tỉnh táo, không liệt, đi lại và sinh hoạt bình thường.
Các bác sĩ tại bệnh viện cho biết kén sán não là bệnh nhiễm trùng hệ thần kinh do ấu trùng sán sống ký sinh ở người gây ra. Bệnh thường gặp ở người dân ăn thịt lợn chưa nấu chín, ăn tiết canh, ăn gỏi sống.


