Bệnh viện Nhân dân 115 TP HCM cho hay vừa phẫu thuật lấy khối u trung thất thành công cho anh N.N.N (20 tuổi, ngụ Đồng Nai). Anh N. tiền căn chưa ghi nhận bệnh lý bất thường, gần đây cảm thấy nhói ngực, nhất là khi ho, đi khám tại phòng khám tư, siêu âm phát hiện có khối u trong ngực.
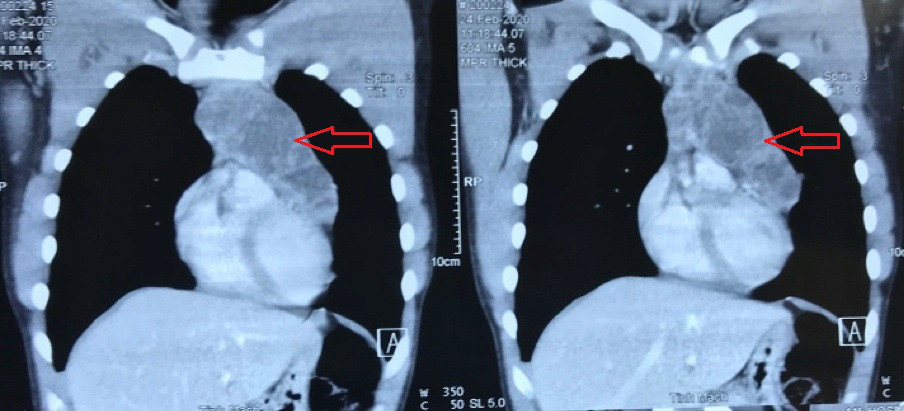
Nhập viện Bệnh viện Nhân dân 115, bác sĩ chỉ ghi nhận bệnh nhân than đau ngực nhẹ, ngoài ra không có triệu chứng gì bất thường. Qua CT scan ngực vùng trung thất cho thấy hình dạng khối u kích thước khoảng 8.5 x 8 x 6 cm. Các bác sĩ tiến hành mở ngực trái và bóc ra khối u to có kích thước 10x10 cm, nặng 1 kg, xâm lấn, chèn ép động mạch chủ, tĩnh mạch chủ.

Khối u khổng lồ trong lồng ngực bệnh nhân (Ảnh: Do BV Nhân dân 115 cung cấp)
Theo BS.CK2 Dương Văn Mười Một, Phó khoa Phẫu thuật tim - Lồng ngực mạch máu Bệnh viện Nhân dân 115 (người trực tiếp phẫu thuật), bệnh nhân bị u diễn tiến bệnh âm thầm, may mắn đã được phát hiện và phẫu thuật kịp thời, nếu không khối u tiếp tục phát triển sẽ chèn ép các mạch máu lớn và các tạng quan trọng gây nguy hiểm đến tính mạng.
"Nên đi khám sức khỏe định kỳ (kể cả người trẻ tuổi) để phát hiện sớm các bệnh lý đặc biệt là u trong lồng ngực, thường có diễn tiến âm thầm, để được phát hiện và xử trí kịp thời" - BS Mười Một khuyến cáo.


