Hiếm gặp, ho ra máu ồ ạt từ nhánh lớn của động mạch vú

Nguồn chảy máu không xuất phát từ động mạch phế quản thông thường, mà từ một nhánh lớn của động mạch vú trong bên phải – biến thể rất hiếm gặp.

Mới đây, Bệnh viện Quân y 103 đã cứu sống bệnh nhân ho ra máu “sét đánh” nhờ can thiệp nút mạch cấp cứu – phát hiện nguồn chảy máu hiếm gặp từ động mạch vú trong bên phải.

Bệnh nhân Nguyễn Văn D., 67 tuổi, có tiền sử lao phổi nặng, trong khi đang gây mê nội khí quản để phẫu thuật lấy một khối u vùng cổ tại bệnh viện tuyến trước thì đột ngột xuất hiện máu đỏ tươi ộc ra từ ống nội khí quản với số lượng lớn, sau đó ngừng tuần hoàn.

Sau khi được cấp cứu hồi sinh tim phổi, ông D. được chuyển đến Bệnh viện Quân y 103 trong tình trạng nguy kịch: Hôn mê, da niêm mạc nhợt nhạt, huyết áp 70/50 mmHg, mạch nhanh 130 lần/phút (dưới tác dụng của thuốc vận mạch liều cao).

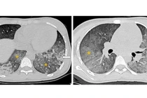
ho-ra-mau-set.jpg
Hình ảnh trên phim chụp trước và sau can thiệp cho bệnh nhân - Ảnh BVCC

Tại Khoa Hồi sức nội, các bác sĩ tiến hành chụp cắt lớp vi tính lồng ngực và nội soi phế quản, chẩn đoán đây là một trường hợp ho ra máu nặng cấp tính – thường gọi là “ho máu sét đánh” – trên nền bệnh nhân có các hang lao và xơ phổi do hậu quả của bệnh lao trước đây.

Mặc dù đã được hồi sức tích cực và truyền nhiều đơn vị hồng cầu khối, tình trạng xuất huyết vẫn tiếp diễn, hồng cầu và huyết sắc tố tiếp tục giảm nhanh. Sau hội chẩn liên khoa, bệnh nhân được chỉ định chụp và gây tắc động mạch phế quản cấp cứu.

Kíp kỹ thuật của Khoa Can thiệp tim mạch phát hiện nguồn chảy máu không xuất phát từ động mạch phế quản thông thường, mà từ một nhánh lớn của động mạch vú trong bên phải – biến thể rất hiếm gặp, gây khó khăn trong can thiệp.

Các bác sĩ đã tiến hành gây tắc động mạch vú trong phải bằng các vòng xoắn kim loại (coil). Chụp kiểm tra lại cho thấy động mạch đã tắc hoàn toàn.

Ngay sau thủ thuật, tình trạng chảy máu ngừng hẳn, các chỉ số sinh tồn cải thiện rõ rệt, giúp bệnh nhân thoát khỏi cơn nguy kịch. Sau 1 tuần theo dõi và điều trị tại Khoa Hồi sức nội, ông D. hồi phục hoàn toàn và được xuất viện.

Thành công của kỹ thuật can thiệp nút mạch trong điều trị ho ra máu “sét đánh” mang nhiều giá trị chuyên môn:

Nguồn chảy máu có thể không từ động mạch phế quản thông thường, cần khảo sát kỹ các biến thể giải phẫu.

Hiệp đồng đa chuyên khoa, quyết định can thiệp kịp thời làm tăng cơ hội sống cho người bệnh.

Trang thiết bị hiện đại cùng trình độ và kinh nghiệm của bác sĩ can thiệp mạch.

Thành công của ca bệnh này một lần nữa khẳng định trình độ chuyên môn, sự quyết đoán và tinh thần làm việc nhóm hiệu quả của đội ngũ y, bác sĩ tại Bệnh viện Quân y 103.

Người phụ nữ bị u nấm phổi phức tạp được phẫu thuật thành công

U nấm phổi Aspergillus nếu không được phát hiện và điều trị kịp thời sẽ tiến triển nhanh khiến các triệu chứng như ho ra máu trở nên trầm trọng.

Bệnh viện Đa khoa tỉnh Quảng Ninh vừa thực hiện thành công ca cắt thùy phổi cho bệnh nhân nữ 65 tuổi mắc u nấm phổi phức tạp, chấm dứt tình trạng ho ra máu kéo dài.

Bệnh nhân Đ.T.L., trú tại Hưng Yên, có tiền sử bệnh phổi tắc nghẽn mạn tính, nhập viện trong tình trạng ho nhiều và ho ra máu tái diễn. Kết quả thăm khám, hội chẩn xác định bệnh nhân có u nấm phổi thùy trên phổi trái, nguy cơ chảy máu nặng nên được chỉ định phẫu thuật cắt thùy phổi.

Nghẹt thở hành trình cứu trẻ 14 tuổi biến chứng lupus ban đỏ

Bệnh nhi nữ 14 tuổi được chẩn đoán mắc Lupus ban đỏ hệ thống (SLE), ho ra máu đỏ tươi, suy hô hấp, suy tuần hoàn, thiếu máu nặng...

Bỗng nhiên nguy kịch vì lupus ban đỏ

Gần đây, bệnh nhi nữ 14 tuổi được chẩn đoán mắc Lupus ban đỏ hệ thống (SLE), đã điều trị tại một bệnh viện tuyến trung ương khác và được xuất viện. Sau khi ra viện 3 ngày, trẻ bắt đầu ho ra máu đỏ tươi liên tục kèm ít đờm và sốt 37,5 - 38 độ C.

Đọc nhiều nhất

Tin mới