Gây tê tủy sống cho bệnh nhân cột sống cong gù

Ở những bệnh nhân viêm cột sống dính khớp nặng, việc gây tê tủy sống là một thách thức lớn.

Một cột sống dính liền, cong gù như khúc gỗ tưởng chừng là rào cản lớn với mọi mũi kim gây tê – nhưng bằng bản lĩnh và đôi tay khéo léo, các bác sĩ Bệnh viện Đa khoa Bắc Ninh số 1 đã chinh phục thành công thử thách này, mang lại an toàn và hiệu quả điều trị cho người bệnh.

Vừa qua, Khoa Phẫu thuật Gây mê Hồi sức đã gây tê tủy sống thành công cho bệnh nhân Đặng Văn H. (51 tuổi, trú tại xã Tân An, Bắc Ninh) – người mắc viêm cột sống dính khớp nhiều năm, cột sống biến dạng nặng, đi lại khó khăn.

cot-song-cung-nhi-go.jpg
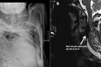
Hình ảnh cột sống của bệnh nhân trên phim chụp - Ảnh BVCC

Bệnh nhân nhập viện với chẩn đoán sỏi niệu quản trái 1/3 giữa và 1/3 trên, theo dõi nhiễm khuẩn niệu, viêm cột sống dính khớp, nang thận phải, sỏi thận trái. Cột sống bị dính cứng khiến khe gian đốt hẹp, việc chọc kim tủy sống trở nên vô cùng phức tạp.

Dù chỉ còn một khe rất nhỏ – tức cánh cửa rất hẹp – nhưng bằng sự nhạy cảm nghề nghiệp, bác sĩ Lê Xuân Hùng đã khéo léo vượt qua, tránh được một cuộc gây mê có thể gặp nhiều khó khăn và rủi ro.

cot-song-9964.jpg
Bệnh nhân được điều trị tại bệnh viện - Ảnh BVCC

Chia sẻ về ca bệnh, BS.CKI Lê Xuân Hùng, Khoa Phẫu thuật Gây mê Hồi sức, Bệnh viện Đa khoa Bắc Ninh số 1 cho biết: "Ở những bệnh nhân viêm cột sống dính khớp nặng, việc gây tê tủy sống là một thách thức lớn.

Chúng tôi phải xác định chính xác từng mốc giải phẫu và kiên trì từng thao tác để vừa đảm bảo đường kim đi đúng vị trí khoang tủy sống mong muốn, vừa an toàn tuyệt đối cho người bệnh”.

Nhờ kinh nghiệm, sự phối hợp ăn ý giữa hai ê-kíp, ca gây tê tủy sống – nội soi tán sỏi và đặt sonde JJ niệu quản trái đã diễn ra an toàn, thuận lợi. Sau phẫu thuật, bệnh nhân tỉnh táo, sinh hiệu ổn định, tiểu tiện bình thường, đang hồi phục tốt.

cot-song-2.jpg
Thực hiện gây tê thành công đảm bảo an toàn cho người bệnh - Ảnh BVCC

Thành công của ca bệnh là minh chứng sinh động cho năng lực chuyên môn vững vàng, tinh thần tận tâm và sự phối hợp chuyên nghiệp của đội ngũ y bác sĩ Bệnh viện Đa khoa Bắc Ninh số 1, đặc biệt là các bác sĩ Gây mê Hồi sức – những người thầm lặng mang lại “giấc ngủ an toàn” trong mỗi ca phẫu thuật.

Hiếm gặp: Rò động tĩnh mạch cột sống liệt tứ chi trên nền gù vẹo nặng

Bệnh viện Đa khoa Quốc tế S.I.S Cần Thơ vừa can thiệp mạch hiếm gặp cứu sống người đàn ông gù vẹo cột sống 30 năm, liệt tứ chi do rò động tĩnh mạch cột sống.

Rò động tĩnh mạch cột sống

Anh V.V.N. (38 tuổi, ngụ An Giang) mang dị tật gù vẹo cột sống bẩm sinh, kèm u sợi thần kinh. Hai tháng trước khi nhập viện tại Bệnh viện Đa khoa Quốc tế S.I.S Cần Thơ, anh N. bắt đầu xuất hiện đau cổ, tê yếu tay chân, khó vận động, tiến triển nhanh đến liệt gần như hoàn toàn tứ chi.

Đọc nhiều nhất

Tin mới

Đi khám sức khỏe phát hiện ung thư amidan

Đi khám sức khỏe phát hiện ung thư amidan

Người dân cần chủ động thăm khám sức khỏe định kỳ, đặc biệt khi có dấu hiệu bất thường vùng tai mũi họng, đau họng kéo dài, nuốt vướng, khàn tiếng, nổi hạch cổ…