Cứu trẻ 47 ngày tuổi bị u chèn ép cuống lưỡi, họng

Khối u thường không đau ban đầu, màu hồng nhạt hoặc trắng, thường bị nhầm là amidan, khối u tiến triển nhanh, phồng chèn ép đường thở gây suy hô hấp.

Bệnh viện Sản nhi Quảng Ninh mổ cấp cứu cho bệnh nhi 47 ngày tuổi suy hô hấp cấp do khối u lớn hiếm gặp chèn ép toàn bộ vùng cuống lưỡi, miệng và họng.

Theo đó, bệnh nhi C.S.M (47 ngày tuổi), dân tộc Dao, thường trú tại xã Lục Hồn, tỉnh Quảng Ninh nhập viện trong tình trạng đột ngột suy hô hấp cấp, tím tái, không bú được.

san-u-5.jpg
Hình ảnh nội soi khối u kích thước lớn - Ảnh BVCC

Kết quả nội soi vòm họng, phát hiện vùng gốc lưỡi có khối lớn kích thước 20x20mm, xuất phát từ đáy lưỡi và amidan phải, chèn ép toàn bộ khẩu kính vòm họng trẻ.

Các bác sĩ đã khẩn trương hội chẩn xác định trẻ có một khối u rất lớn vùng đáy lưỡi chèn đường thở gây suy hô hấp, chỉ định tiến hành mổ cấp cứu xử lý loại bỏ khối u lặp lại lưu thông đường hô hấp và tiêu hóa cho trẻ. Tiên lượng khó khăn ngay từ bước gây mê. Trẻ không thể nằm ngửa do tư thế khối u lớn chèn làm tắc hoàn toàn đường hô hấp.

san-u.jpg
Các bác sĩ chuẩn bị phẫu thuật cho bệnh nhi - Ảnh BVCC

Kíp phẫu thuật khởi mê BSCKII Lương Trung Kiên trưởng khoa gây mê quyết định tiến hành gây mê đặt ống nội khí quản ở tư thế đỡ bệnh nhi ngồi. BSCK Răng Hàm Mặt Đỗ Hoàng Việt, khoa Ngoại chuyên khoa, cùng các bác sĩ, điều dưỡng, kỹ thuật viên khoa Ngoại chuyên khoa, Gây mê hồi tỉnh thực hiện cắt khối u qua camera nội soi hỗ trợ bởi bác sĩ chuyên khoa Tai Mũi Họng Nguyễn Văn Việt.

san-u-1.jpg
san-u-2.jpg
Ca phẫu thuật cho bệnh nhi - Ảnh BVCC

Sau 30 phút khối u xuất phát từ gốc lưỡi và thành họng phải được cắt bỏ hoàn toàn.

Sau phẫu thuật trẻ được chuyển khoa hồi sức tích cực điều trị và chăm sóc hồi sức đặc biệt sau hậu phẫu, sức khỏe dần hồi phục và vừa được ra viện.

san-u-3.jpg
san-u-4.jpg
Khối u sau khi được cắt bỏ - Ảnh BVCC

BS Đỗ Hoàng Việt cho biết, trường hợp bé C.S.M là một trường hợp có khối u lành tính bẩm sinh hiếm gặp, hình thành ở cuống lưỡi, vòm họng từ các tế bào của lưỡi, chứa dịch.

Khối u thường không đau ban đầu, màu hồng nhạt hoặc trắng, thường bị nhầm là amidan, khối u tiến triển nhanh, phồng chèn ép đường thở gây suy hô hấp, nếu không phát hiện điều trị kịp thời có thể nguy hiểm đến tính mạng.

U ở đáy lưỡi thường khó phát hiện ở giai đoạn đầu vì triệu chứng mơ hồ, do đó các bác sĩ khuyến các các gia đình nên:

- Định kỳ đi khám sức khỏe tại các cơ sở chuyên khoa uy tín, giàu kinh nghiệm

- Thường xuyên giữ gìn, vệ sinh răng miệng, tránh xa các tác nhân nguy cơ cao gây bệnh như: Khói thuốc lá, uống nhiều rượu bia, nhai trầu, nhiễm virus HPV….

- Khi phát hiện các dấu hiệu bất thường như khó thở, khó nuốt, đau, sưng họng kéo dài, nôn trớ nhiều… cần đi khám ngay để phát hiện và điều trị kịp thời, tránh nguy hiểm tới sức khỏe.

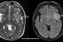
Phẫu thuật thành công u màng não lớn cho cụ bà 73 tuổi

Bệnh nhân đau đầu nhẹ kéo dài, chụp CT và MRI, các bác sĩ phát hiện khối u màng não lớn, vị trí sàn sọ phức tạp cần can thiệp phẫu thuật.

Ngày 5/9, Bệnh viện Đa khoa Thủ Đức cho biết, các bác sĩ vừa điều trị thành công một ca u màng não phức tạp cho bệnh nhân lớn tuổi có nhiều bệnh nền.

Bệnh nhân P.T.N, 73 tuổi, ngụ tại phường Tam Bình, TP HCM, được phát hiện khối u màng não thái dương trái kích thước 3,5x5cm sau khi đi khám vì triệu chứng đau đầu kéo dài.

Tiểu máu, bụng chướng nhẹ phát hiện u thận khổng lồ xâm lấn đài bể thận

Các triệu chứng như đau hông lưng, đái máu, bụng to bất thường cần được thăm khám chuyên khoa sớm, giúp tăng khả năng phẫu thuật triệt căn, giảm biến chứng...

Các bác sĩ Bệnh viện Ung Bướu Hà Nội vừa thực hiện thành công ca phẫu thuật loại bỏ khối u thận trái kích thước lớn kèm huyết khối xâm lấn tĩnh mạch chủ dưới cho một bệnh nhân nữ 68 tuổi.

Đây là một phẫu thuật có độ khó cao, đòi hỏi kỹ thuật chuyên môn phức tạp và sự phối hợp chặt chẽ của nhiều ê-kíp.

Bụng to nhanh người phụ nữ 47 tuổi phát hiện u kích thước lớn bất thường

U xơ tử cung có thể gây nhiễm khuẩn tại vị trí xuất hiện khối u hoặc lây lan sang các cơ quan xung quanh và thậm chí là toàn bộ cơ thể.

1 năm “chung sống” cùng u xơ tử cung bỗng u lớn bất thường

Sau khoảng một năm sống chung với u xơ tử cung, chị Đ.T.Đ. (47 tuổi, trú tại phường Yên Hòa, Hà Nội) bắt đầu cảm nhận rõ rệt những triệu chứng bất thường ngày càng tăng: cảm giác tức nặng vùng bụng, bụng to lên nhanh chóng và những cơn đau âm ỉ vùng hạ vị khiến chị không khỏi lo lắng và quyết định tìm đến Bệnh viện Phụ sản Hà Nội để được thăm khám và điều trị kịp thời.

Đọc nhiều nhất

Mẹo tăng sức đề kháng trong mùa đông

Mẹo tăng sức đề kháng trong mùa đông

Để tăng cường sức đề kháng trong mùa đông, cần chế độ dinh dưỡng giàu vitamin, uống đủ nước ấm, tập thể dục đều đặn, giữ ấm cơ thể, ngủ đủ giấc...

Tin mới

Mẹo tăng sức đề kháng trong mùa đông

Mẹo tăng sức đề kháng trong mùa đông

Để tăng cường sức đề kháng trong mùa đông, cần chế độ dinh dưỡng giàu vitamin, uống đủ nước ấm, tập thể dục đều đặn, giữ ấm cơ thể, ngủ đủ giấc...

Vì sao nọng heo được ưa chuộng?

Vì sao nọng heo được ưa chuộng?

Nọng heo được ưa chuộng vì sự kết hợp độc đáo giữa vị ngọt của thịt nạc và béo ngậy của mỡ, tạo nên hương vị mềm mọng, giòn sật đặc trưng.