Tiểu máu, bụng chướng nhẹ phát hiện u thận khổng lồ xâm lấn đài bể thận

Các triệu chứng như đau hông lưng, đái máu, bụng to bất thường cần được thăm khám chuyên khoa sớm, giúp tăng khả năng phẫu thuật triệt căn, giảm biến chứng...

Các bác sĩ Bệnh viện Ung Bướu Hà Nội vừa thực hiện thành công ca phẫu thuật loại bỏ khối u thận trái kích thước lớn kèm huyết khối xâm lấn tĩnh mạch chủ dưới cho một bệnh nhân nữ 68 tuổi.

Đây là một phẫu thuật có độ khó cao, đòi hỏi kỹ thuật chuyên môn phức tạp và sự phối hợp chặt chẽ của nhiều ê-kíp.

Bất ngờ với khối u lớn với biến chứng nguy hiểm

Bệnh nhân nhập viện trong tình trạng đau tức vùng bụng bên trái, đôi khi tiểu máu và bụng chướng nhẹ. Trước đó, bệnh nhân khỏe mạnh, chưa từng phát hiện bệnh lý.

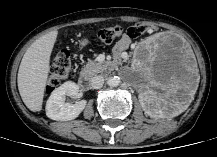
Kết quả thăm khám và chẩn đoán hình ảnh cho thấy khối u ở thận trái kích thước khoảng 15x20 cm, phá hủy hoàn toàn cấu trúc nhu mô thận, xâm lấn đài – bể thận.

Đáng chú ý, khối u đã gây huyết khối trong tĩnh mạch thận, lan tới tĩnh mạch chủ dưới, làm tăng nguy cơ tắc mạch hoặc thuyên tắc mạch phổi đe dọa tính mạng.

than1.jpg
Hình ảnh chụp CT khối u ở thận xâm lấn tĩnh mạch chủ dưới - Ảnh BVCC

Ca phẫu thuật với nhiều thách thức

Ca phẫu thuật thuộc nhóm phẫu thuật tiết niệu – ung bướu có độ khó và nguy cơ cao do: Kích thước u rất lớn, chiếm trọn ổ thận, gây hẹp trường mổ, hạn chế thao tác bóc tách; Xâm lấn hệ tĩnh mạch lớn, huyết khối lan từ tĩnh mạch thận tới tĩnh mạch chủ dưới, lưu lượng máu lớn, nguy cơ mất máu ồ ạt hoặc di chuyển huyết khối.

Nguy cơ gây mê – hồi sức cao: Do ảnh hưởng tuần hoàn tĩnh mạch chủ dưới, đòi hỏi kiểm soát huyết động nghiêm ngặt.

Bệnh nhân được chuẩn bị kỹ trước mổ: Truyền máu, đánh giá toàn diện chức năng tim, phổi, thận. Trong mổ, ê-kíp tiến hành cắt thận trái kèm khối u toàn bộ, đồng thời mở tĩnh mạch chủ dưới lấy huyết khối, bảo tồn tối đa cấu trúc mạch máu và chức năng thận phải.

Quá trình mổ kéo dài nhiều giờ, yêu cầu phẫu thuật viên có kỹ thuật vi phẫu mạch máu chính xác và phối hợp nhịp nhàng với gây mê – hồi sức.

u-than-2.jpg
Khối u thận “khổng lồ” sau khi được cắt bỏ - Ảnh BVCC

Hậu phẫu, bệnh nhân hồi phục tốt, chức năng thận phải ổn định, ăn uống – vận động nhẹ nhàng sau 1 tuần. Người bệnh được chỉ định điều trị bổ trợ bằng thuốc miễn dịch nhằm giảm nguy cơ tái phát và cải thiện tiên lượng sống còn.

Ung thư biểu mô tế bào thận (Renal Cell Carcinoma – RCC) có thể diễn tiến âm thầm, chỉ phát hiện khi khối u lớn hoặc có biến chứng. Các triệu chứng như đau hông lưng, đái máu, bụng to bất thường cần được thăm khám chuyên khoa sớm.

Chẩn đoán và can thiệp kịp thời giúp tăng khả năng phẫu thuật triệt căn, giảm biến chứng và cải thiện chất lượng sống cho người bệnh.

BS Phan Đắc Phương - BS.CKII Phạm Hồng Thiện (Khoa Ngoại Tổng hợp (Bệnh viện Đa khoa Phú Thọ)

Giải mã các bệnh lý khi sốt cao kéo dài không rõ nguyên nhân

20% các trường hợp sốt không rõ nguyên nhân được xác định là do viêm nội tâm mạc cấp tính, viêm van tim...

Sốt kéo dài không rõ nguyên nhân là dấu hiệu cảnh báo nhiều vấn đề nghiêm trọng về sức khỏe. Vì vậy, nên đi khám sớm để được chẩn đoán chính xác, có phương hướng điều trị tích cực, hiệu quả.

Khoảng 20% các trường hợp sốt không rõ nguyên nhân là do ung thư, chủ yếu là ung thư máu, ung thư ống mật, ung thư gan và ung thư thận. 20% các trường hợp sốt không rõ nguyên nhân được xác định là do viêm nội tâm mạc cấp tính, viêm van tim...

Ung thư thận gia tăng đáng báo động ở người trẻ

Mỗi năm, Việt Nam ghi nhận khoảng 1.700 - 2.000 ca ung thư thận mới, một con số đáng báo động cho thấy sự gia tăng của căn bệnh nguy hiểm này.

Thận bé nhỏ nhưng giữ vai trò sống còn

ThS.BSNT Cao Minh Phúc, Khoa Phẫu thuật tiết niệu, Bệnh viện Bạch Mai cho biết, thận là cơ quan nhỏ bé nhưng giữ vai trò sống còn trong cơ thể. Thận am thầm và bền bỉ đảm nhiệm việc lọc máu, loại bỏ độc tố, điều hòa huyết áp, cân bằng nước - điện giải và tham gia sản xuất hormone tạo máu.

Sống chung sỏi bàng quang 30 năm, cô gái đau đớn vì sỏi 10cm

Khi xuất hiện các dấu hiệu bất thường như tiểu buốt, tiểu rắt, đau tức vùng bụng dưới… người dân không nên chủ quan.

Ngày 17/7, Bệnh viện Hùng Vương Gia Lai cho biết, đội ngũ bác sĩ Khoa Ngoại Tổng hợp vừa thực hiện thành công ca phẫu thuật lấy viên sỏi bàng quang “khổng lồ” cho nữ bệnh nhân V.T.N (36 tuổi, trú tại phường Pleiku, tỉnh Gia Lai).

Đây là một trường hợp đặc biệt, khi người bệnh đã sống chung với sỏi bàng quang gần 30 năm, trong tâm thế e ngại và âm thầm chịu đựng những cơn đau kéo dài.

Đọc nhiều nhất

Tin mới

Mẹo tăng sức đề kháng trong mùa đông

Mẹo tăng sức đề kháng trong mùa đông

Để tăng cường sức đề kháng trong mùa đông, cần chế độ dinh dưỡng giàu vitamin, uống đủ nước ấm, tập thể dục đều đặn, giữ ấm cơ thể, ngủ đủ giấc...