Bụng bầm tím sau tai nạn, người bệnh 34 tuổi vỡ lách, vỡ thận ngụy kịch

Nhờ quy trình báo động đỏ nội viện và sự phối hợp giữa các chuyên khoa, giúp người bệnh được cứu sống kịp thời, giảm thiểu tối đa biến chứng.

Ngày 5/2/2026, Bệnh viện 19-8 tiếp nhận một trường hợp đa chấn thương nặng sau tai nạn giao thông, đã kịp thời xử trí bằng kỹ thuật nút mạch, phối hợp chặt chẽ giữa Khoa Cấp cứu A9, Khoa Ngoại tổng hợp và Khoa Chẩn đoán hình ảnh – Y học hạt nhân.

Người bệnh N. (34 tuổi) gặp tai nạn ô tô lúc 15h ngày 4/2/2026. Sau tai nạn, bệnh nhân tỉnh, đi khám tại hai cơ sở y tế ở Thanh Hóa rồi mới bắt xe ra Hà Nội. Khi vào Khoa Cấp cứu A9, người bệnh bụng trái nề cứng, bầm tím, có phản ứng thành bụng và dấu hiệu mất máu trong ổ bụng.

vo-than-1.jpg
Hình ảnh thận vỡ trên phim chụp - Ảnh BVCC

Kết quả chụp CT cho thấy tổn thương rất nặng: vỡ lách phức tạp, vỡ thận độ IV có giả phình mạch và chảy máu hoạt động, kèm tràn máu ổ bụng. Tình trạng này có thể gây sốc mất máu bất cứ lúc nào nếu không xử trí khẩn cấp.

BSCKII Vũ Đức An – Phó Trưởng khoa Cấp cứu A9, người trực tiếp tham gia xử trí ban đầu, cho biết: “Người bệnh đến muộn gần 10 giờ sau tai nạn, nên mọi thao tác phải nhanh và chính xác để không bỏ lỡ giờ vàng. Chúng tôi hội chẩn ngay liên chuyên khoa và thống nhất kích hoạt báo động đỏ nội viện”.

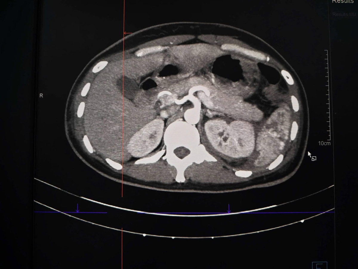
vo-than.jpg
Hình ảnh thận và lách vỡ trên phim chụp - Ảnh BVCC

Sau hội chẩn nhanh giữa Cấp cứu – Ngoại tổng hợp – CĐHA, các bác sĩ nhận định tổn thương mạch máu khu trú, phù hợp ưu tiên can thiệp nội mạch cầm máu nhằm tránh một cuộc mổ lớn nhiều rủi ro.

Tại phòng can thiệp mạch, dưới hệ thống chụp mạch số hóa xóa nền (DSA), các bác sĩ Khoa Chẩn đoán hình ảnh xác định điểm chảy máu và giả phình ở cả lách và thận, sau đó tiến hành nút tắc các nhánh mạch tổn thương. Toàn bộ thủ thuật diễn ra trong khoảng 45–60 phút.

vo-than-3.jpg
Thực hiện can thiệp mạch cho bệnh nhân - Ảnh BVCC

BSCKII Lê Hồng Kỳ – Trưởng khoa CĐHA & YHHN cho biết: “Nút mạch cấp cứu giúp cầm máu nhanh, ít xâm lấn, chỉ tác động vào vùng tổn thương nên có thể giữ lại phần nhu mô tạng còn lành. Đây là lựa chọn tối ưu trong các chấn thương tạng đặc nặng”.

Sau can thiệp, huyết động người bệnh ổn định, bụng mềm hơn, không ghi nhận chảy máu tái phát. Người bệnh được chuyển về Khoa Ngoại tổng hợp để tiếp tục theo dõi, điều trị.

vo-than-4.jpg
Nút mạch kịp thời cứu sống bệnh nhân - Ảnh BVCC

Ca bệnh là minh chứng rõ nét cho hiệu quả của quy trình báo động đỏ nội viện và sự phối hợp nhịp nhàng giữa các chuyên khoa trong các trường hợp nguy kịch, giúp người bệnh được cứu sống kịp thời, giảm thiểu tối đa biến chứng.

Báo động liên viên cứu nam thanh niên vỡ gan, sốc mất máu nguy kịch

Chảy máu ổ bụng tối cấp do vỡ gan là tình trạng cấp cứu tối khẩn, nơi xử trí ban đầu đúng, chuyển tuyến kịp thời và phối hợp liên viện hiệu quả.

Ngày 2/2, Bệnh viện Hữu nghị đa khoa Nghệ An cho biết, đơn vị vừa cứu sống nam bệnh nhân 27 tuổi bị vỡ gan nặng, sốc mất máu tối cấp sau tai nạn giao thông, nhờ kích hoạt báo động đỏ liên viện và phẫu thuật khẩn cấp.

Trước đó, rạng sáng 9/1, anh L.V.D (trú xã Quỳ Hợp, Nghệ An) gặp tai nạn giao thông và được đưa vào Bệnh viện Đa khoa khu vực Tây Bắc Nghệ An trong tình trạng hôn mê, mạch nhanh nhỏ, huyết áp không đo được – biểu hiện điển hình của sốc mất máu nặng, đe dọa tử vong tức thì.

Nút mạch cứu sống nam thanh niên vỡ gan độ IV, không cần dao kéo

Vỡ gan là một tổn thương nguy hiểm đe dọa tính mạng, có thể gây mất máu số lượng lớn, dẫn đến sốc và tử vong.

Nút mạch gan, quyết định mang tính sống còn

Bệnh nhân L.V.T (31 tuổi) nhập viện trong tình trạng sốc chấn thương, đau bụng dữ dội sau tai nạn hy hữu bị tạ rơi trúng vùng bụng. Kết quả CT-Scanner cho thấy vỡ gan độ IV, ổ chảy máu đang hoạt động – nguy cơ tử vong rất cao nếu không cầm máu kịp thời.

Nút mạch cứu sống người bệnh chấn thương gan nặng do tai nạn giao thông

Nút mạch cầm máu chấn thương gan – một kỹ thuật cao, ít xâm lấn, giúp kiểm soát chảy máu hiệu quả, hạn chế tối đa nguy cơ phẫu thuật mở.

Một ca chấn thương gan nặng do tai nạn giao thông, nguy cơ tử vong rất cao, đã được các bác sĩ Bệnh viện Đa khoa tỉnh Phú Thọ điều trị hiệu quả, kịp thời bằng kỹ thuật nút mạch, giúp người bệnh vượt qua giai đoạn nguy kịch.

Người bệnh P.Q.Đ (36 tuổi, trú tại tỉnh Lào Cai) bị tai nạn giao thông, được đưa vào cấp cứu tại một bệnh viện tại địa phương.

Đọc nhiều nhất

Tin mới

Đi khám sức khỏe phát hiện ung thư amidan

Đi khám sức khỏe phát hiện ung thư amidan

Người dân cần chủ động thăm khám sức khỏe định kỳ, đặc biệt khi có dấu hiệu bất thường vùng tai mũi họng, đau họng kéo dài, nuốt vướng, khàn tiếng, nổi hạch cổ…