Khối u to đến mức ngay cả khi Bod diện các bộ đồ dễ che khuyết điểm thì người ta vẫn có thể phát hiện nó nhanh chóng.
![]() |
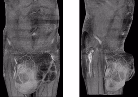
| Từ một chấm nhỏ, khối u trở nên to bất thường chỉ sau 12 tháng. |
Cách đây ít lâu, Bod nhận thấy ở bìu có một nốt nhỏ lồi lên, sờ vào hơi cứng. Ông không chú ý đến nó nhiều vì sức khỏe không có biểu hiện gì đặc biệt.
Chỉ sau 12 tháng, khối u phát triển nhanh chóng. Đến khi nó có kích cỡ tương đương như một trái bóng thì Bod mới tiến hành chụp chiếu kiểm tra.
Tuy vậy, khối u không hề gây đau đớn, Bod vẫn có thể làm vườn và duy trì sinh hoạt bình thường. Điều khác biệt duy nhất là Bod cảm thấy đuối sức và thèm ngủ hơn.
Trong một lần kiểm tra ở Bệnh viện Liverpool Broadgreen, các bác sĩ đã phát hiện Bod mắc sarcoma - một loại ung thư hiếm gặp thường ảnh hưởng đến các mô mềm, cơ và xương.
Khi biết tin Bod mắc ung thư, người thân của ông vô cùng lo lắng, họ chia sẻ: “Với kích thước lớn như vậy, chúng tôi e là việc điều trị bây giờ là quá muộn. Chúng tôi thậm chí còn nghĩ rằng mọi thứ đã kết thúc”.
Hiện Bod đã được phẫu thuật loại bỏ khối u thành công. Dù vậy, để đảm bảo căn bệnh không tái phát, cứ ba tháng một lần, Bod phải tiến hành kiểm tra sức khỏe.
Bác sĩ thực hiện phẫu thuật, Coonoor Chandrasekar cho biết: “Sarcomas hoàn toàn có thể điều trị. Nếu được phát hiện sớm, hiệu quả chữa trị còn được nâng cao hơn nhiều.
Trong trường hợp Bod không phát hiện bệnh kịp thời, các mô có thể bị phá vỡ, di căn đến phổi và có thể gây tử vong”.
