![]() |
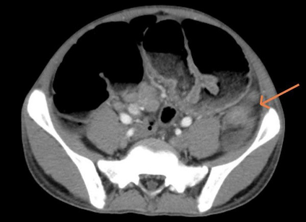
| Hình ảnh cắt lớp vi tính ổ bụng của bệnh nhân. |
![]() |
| Hình ảnh cắt lớp vi tính ổ bụng của bệnh nhân. |
Nhóm nhà khoa học tại Đại học Harvard và Đại học Tufts (Mỹ) phát hiện những người đàn ông ăn nhiều thực phẩm chế biến sẵn có nguy cơ phát triển ung thư đại trực tràng tăng 30%. Không có mối tương quan nào được tìm thấy ở phụ nữ.
Các loại thịt chế biến sẵn bị đánh giá gây ra nhiều tác động xấu nhất bao gồm xúc xích, thịt xông khói và chả. Tiêu thụ nhiều đồ uống có đường và nước ngọt cũng làm tăng nguy cơ ung thư.

Nghiên cứu được công bố trên BMJ đã thu thập dữ liệu của hơn 200.000 người. Họ được hỏi về tần suất ăn 130 loại thực phẩm.
Trong khoảng thời gian 25 năm, đã phát hiện gần 1.300 ca ung thư đại trực tràng trong số 46.000 nam giới và hơn 1.900 ca bệnh trong gần 160.000 nữ giới.
Mingyan Song, đồng tác giả của nghiên cứu, thông tin: “Ung thư phát triển sau nhiều năm hoặc hàng chục năm. Do đó, điều quan trọng là phải thu thập dữ liệu trong thời gian dài để đánh giá nguy cơ ung thư tốt hơn”.
Ở nam giới, các nhà khoa học tìm thấy mối tương quan rõ ràng giữa những người ăn nhiều thực phẩm chế biến sẵn và và tình trạng bệnh tật. Họ đặc biệt nhấn mạnh đến các sản phẩm làm từ thịt.
Tiến sĩ Lu Wang, tác giả chính của nghiên cứu, cho biết: “Chúng tôi bắt đầu nghĩ rằng ung thư đại trực tràng có thể là loại ung thư bị chế độ ăn uống ảnh hưởng nhiều nhất. Các loại thịt đã qua chế biến, hầu hết thuộc nhóm chế biến siêu nhanh, là yếu tố nguy cơ cao”.
Theo Daily Mail, thực phẩm chế biến siêu nhanh cũng chứa nhiều đường bổ sung và ít chất xơ, góp phần làm tăng cân và béo phì, là yếu tố nguy cơ gây ung thư đại trực tràng.
Nhiều người Mỹ thường xuyên ăn thực phẩm chế biến do tiện lợi. Một số mặt hàng thậm chí còn được dán nhãn là lựa chọn thay thế lành mạnh giúp giảm cân và hỗ trợ ăn kiêng.
Tuy nhiên, không phải tất cả các loại thực phẩm đã qua chế biến đều có tác động tiêu cực. Những phụ nữ ăn thực phẩm chế biến từ sữa đã giảm nhẹ nguy cơ ung thư đại trực tràng.
Fang Fang Zhang, nhà dịch tễ học ung thư tại Đại học Harvard, chia sẻ: “Chúng tôi đã tìm thấy mối liên hệ nghịch giữa thực phẩm chế biến như sữa chua và nguy cơ ung thư đại trực tràng ở phụ nữ”.
Mối tương quan tương tự không được tìm thấy ở nhóm nam giới trong phân tích.
Dấu hiệu của bệnh ung thư đại trực tràng là chán ăn, đầy bụng, giảm cân bất thường, táo bón, đi ngoài ra máu, mệt mỏi, chóng mặt.
Theo thống kê của Globocan 2020, tại Việt Nam, trong 5 loại ung thư phổ biến ở nam giới, ung thư đại trực tràng xếp thứ 4, sau ung thư gan, phổi, dạ dày. TS.BS Phạm Văn Bình, Phó Giám đốc Bệnh viện K Trung ương, cho biết ung thư đại trực tràng nếu được phát hiện ở giai đoạn sớm, tỷ lệ chữa khỏi lên tới 90%.
Nhiều người đã sống khỏe mạnh hơn 20 năm sau khi phát hiện bệnh. Tuy nhiên, đa số bệnh nhân phát hiện ở giai đoạn muộn, gây khó khăn, tốn kém trong việc điều trị.
Ung thư đại trực tràng là một trong những loại ung thư phổ biến tại Việt Nam nhưng vẫn có thể phòng chống loại ung thư này bằng một chế độ ăn uống hợp lý. BS Đoàn Thu Hồng - Viện Y học ứng dụng Việt Nam, đã thông tin những thực phẩm bạn nên hoặc không nên ăn để phòng ngừa ung thư đại trực tràng.
Theo BS Hồng, chế độ ăn đóng vai trò quan trọng. Lựa chọn thực phẩm một cách thông thái sẽ giúp bạn giảm thiểu nguy cơ mắc loại ung thư này. Một số nghiên cứu cũng nói rằng những người có chế độ ăn khoa học kết hợp với luyện tập, có cân nặng hợp lý và hạn chế rượu bia thì có thể giảm đến hơn 1/3 nguy cơ mắc bệnh.

Các thực phẩm nên ăn giúp phòng ngừa ung thư đại trực tràng:
Chế phẩm sữa
Hầu hết các nghiên cứu đều đồng ý rằng những sản phẩm từ sữa giàu canxi có thể giúp cho bạn ít bị ung thư đại trực tràng. Các thuốc bổ sung canxi cũng có thể mang lại tác dụng tương tự. Hãy hỏi ý kiến bác sĩ về lượng canxi thích hợp mà bạn nên bổ sung. Bên cạnh đó, vitamin D (thường được bổ sung thêm vào sữa) cũng có thể bảo vệ cơ thể chống lại ung thư đại tràng, tuy nhiên vẫn cần nghiên cứu thêm về tác dụng này của vitamin D.
Ngũ cốc nguyên hạt
Ngũ cốc nguyên hạt chứa nhiều chất dinh dưỡng và là nguồn bổ sung magie và chất xơ rất tốt. Những chất này giúp cho phân dễ dàng đào thải ra ngoài và trên đường đi, chúng có thể kéo theo các hợp chất gây ung thư có trong đại tràng của bạn. Ăn khoảng 90g ngũ cốc nguyên hạt mỗi ngày chẳng hạn như yến mạch, bánh mỳ nguyên cám và gạo lứt là những lựa chọn rất tốt.
Đậu đỗ
Các loại đậu ví dụ như đậu nành, đậu Hà Lan và đậu lăng đều chứa chất xơ, protein, vitamin B và E. Chúng cũng chứa hợp chất gọi là flavonoid, giúp ngăn khối u phát triển, cũng như một số hợp chất chống oxy hóa có thể bảo vệ bạn khỏi ung thư đại tràng. Hãy thử đổi một số món ăn thông thường trong bữa ăn của bạn sang món đậu đen hoặc nấu một món canh đậu nóng.
Trái cây và rau củ nhiều màu sắc
Trong trái cây và rau củ chứa những hóa chất thực vật ngăn chặn sự phát triển của các tế bào ung thư hoặc chống lại viêm nhiễm có thể gây ung thư. Các nghiên cứu liên kết tác dụng chống ung thư và trái cây và rau củ, khuyến khích chúng ta bổ sung chúng như một phần của chế độ ăn uống lành mạnh. Sự lựa chọn tốt nhất cho bạn là súp lơ, bắp cải và trái cây giàu vitamin C như cam.
Các loại cá
Các loại cá béo như cá hồi rất giàu axit béo omega-3 - một chất dinh dưỡng tuyệt vời cho sức khỏe tim mạch và làm chậm sự phát triển của tế bào ung thư. Nhưng liệu việc ăn cá có thể giúp bạn tránh bị ung thư đại trực tràng vẫn chưa thật sự rõ ràng. Một số nghiên cứu chỉ ra rằng những người ăn cá thay vì ăn thịt đỏ thì có ít khả năng mắc ung thư trực tràng hơn. Tuy nhiên bạn cũng cần hạn chế ăn các loại cá như cá kiếm, cá ngừ, cá ngói, cá mập và cá thu vua do chúng có thể chứa thủy ngân và những chất ô nhiễm khác gây hại cho sức khỏe theo thời gian.
Các loại thực phẩm cần hạn chế:
Thịt đỏ
Một miếng thịt bò nướng có thể kích thích vị giác của bạn, nhưng đó lại không phải là một món ăn tốt cho đại tràng. Các chuyên gia cho biết một chế độ ăn thường xuyên với thịt đỏ, như thịt bò, thịt lợn, thịt cừu khiến bạn dễ có nguy cơ mắc ung thư đại trực tràng hơn, mặc dù các nguyên nhân cũng chưa rõ ràng. Có thể do các chất gây ung thư trong thịt sẽ được hình thành khi nấu thịt ở nhiệt độ cao. Bạn hãy cố gắng ăn dưới 500g thịt đỏ cho cả tuần.
Thịt chế biến sẵn

Những loại thịt như thịt hun khói, thịt đã qua xử lý, thịt ướp muối hoặc được bảo quản bằng các chất hóa học thường được gọi chung là thịt chế biến sẵn. Đó có thể là xúc xích, thịt xông khói, dăm bông hoặc thịt chế biến đóng gói sẵn... Ăn những loại thịt này thường xuyên có thể tăng nguy cơ ung thư đại tràng và cả ung thư dạ dày.
Đồ uống có cồn
Thỉnh thoảng mới uống rượu có vẻ không làm ảnh hưởng đến nguy cơ mắc ung thư đại tràng. Tuy nhiên, nếu bạn uống rượu vừa hoặc rượu nặng với khoảng 2-3 ly mỗi ngày có thể tăng thêm 20% khả năng mắc ung thư đại tràng và 40% với rượu nặng hơn. Nếu bạn thường xuyên uống nhiều hơn 3 ly rượu mỗi ngày, hãy đến gặp bác sĩ để được khám tầm soát ung thư đại trực tràng.
Một số thực phẩm khác
Một số thực phẩm và đồ uống như cà phê, trà, đồ uống chứa caffeine, thực phẩm có đường vẫn đang tiếp tục được nghiên cứu về tác động có thể có của chúng đối với ung thư đại tràng.

Tiết kiệm thứ này trong bếp dễ khiến bạn mắc ung thưDầu ăn (thường được làm từ mỡ động vật hoặc thực vật) là nguyên liệu không thể thiếu trong căn bếp người Việt. Vì lý do tiết kiệm, nhiều người thường tái sử dụng, dẫn đến nguy cơ mắc các bệnh lý.
Nhiều nghiên cứu cho thấy bổ sung một số loại rau quen thuộc có thể hỗ trợ hoạt động đào thải độc tố, giúp thận vận hành trơn tru hơn mỗi ngày.
Sữa đậu nành có nhiều tác dụng tốt cho sức khỏe như cải thiện sức khỏe tim mạch, hỗ trợ xương khớp, làm đẹp da và giúp giảm cân...
Hạt dẻ giàu vitamin, khoáng chất và chất xơ, giúp bổ thận, cải thiện tiêu hóa và tăng cường sức khỏe, đặc biệt phù hợp với người trung niên, cao tuổi.
Để bảo vệ sức khoẻ, cần kiểm tra AQI trước khi ra đường, đeo khẩu trang đạt chuẩn, giữ cho ngôi nhà cùng đường thở của mình được sạch sẽ mỗi ngày.
Nọng heo được ưa chuộng vì sự kết hợp độc đáo giữa vị ngọt của thịt nạc và béo ngậy của mỡ, tạo nên hương vị mềm mọng, giòn sật đặc trưng.
Nọng heo được ưa chuộng vì sự kết hợp độc đáo giữa vị ngọt của thịt nạc và béo ngậy của mỡ, tạo nên hương vị mềm mọng, giòn sật đặc trưng.
Sữa đậu nành có nhiều tác dụng tốt cho sức khỏe như cải thiện sức khỏe tim mạch, hỗ trợ xương khớp, làm đẹp da và giúp giảm cân...
Nhiều nghiên cứu cho thấy bổ sung một số loại rau quen thuộc có thể hỗ trợ hoạt động đào thải độc tố, giúp thận vận hành trơn tru hơn mỗi ngày.
Hạt dẻ giàu vitamin, khoáng chất và chất xơ, giúp bổ thận, cải thiện tiêu hóa và tăng cường sức khỏe, đặc biệt phù hợp với người trung niên, cao tuổi.
Để bảo vệ sức khoẻ, cần kiểm tra AQI trước khi ra đường, đeo khẩu trang đạt chuẩn, giữ cho ngôi nhà cùng đường thở của mình được sạch sẽ mỗi ngày.
Bệnh viện Bãi Cháy đã phẫu thuật nội soi thành công khối u trung thất sát cột sống
cho bệnh nhân 38 tuổi, giúp bệnh nhân thoát khỏi nguy hiểm.
Nồi chiên không dầu tiện lợi nhưng không phù hợp với mọi món ăn. Dưới đây là 5 thực phẩm dễ cháy, mất dinh dưỡng bạn nên tránh.
Các loại salad từ rau củ, rong biển, bơ giúp gan hoạt động trơn tru, giảm viêm, giảm tác động của ô nhiễm và thực phẩm bảo quản cho cơ thể khỏe mạnh.
Bệnh nhân 63 tuổi được điều trị u nhú sừng hóa bằng laser, giảm nguy cơ chuyển biến xấu và nâng cao thẩm mỹ, cần theo dõi định kỳ.
Bệnh nhân lớn tuổi ở Cần Thơ gặp nguy hiểm khi hóc nho, được cấp cứu kịp thời bằng nội soi, nhấn mạnh cảnh báo về nguy cơ từ trái cây trơn, tròn.
Dành thời gian tỉnh táo tự nhiên bằng cách tránh dùng điện thoại trong 15-20 phút đầu ngày để giảm căng thẳng, tăng năng lượng và cải thiện sức khỏe.
Duy trì lối sống lành mạnh, kiểm soát cân nặng, tránh các thói quen xấu để phòng tăng huyết áp và bảo vệ sức khỏe lâu dài.
Nêm nước mắm đúng thời điểm là bí quyết giúp món Việt giữ hương thơm, tăng vị đậm đà và umami, tránh bay mùi hay làm khét món ăn.
Hành trình hiến tặng của gia đình bệnh nhân chết não giúp hồi sinh nhiều cuộc đời, đánh dấu bước tiến của y học Việt Nam trong lĩnh vực ghép tạng.
Trường hợp người đàn ông đột tử sau nhậu nhấn mạnh tầm quan trọng của quy trình cấp cứu chuẩn, kỹ năng sơ cứu và phòng tránh đột quỵ.
Số ca cúm A tăng nhanh, đặc biệt ở người cao tuổi, phụ nữ mang thai, cần chủ động phòng tránh và tiêm vắc xin để bảo vệ sức khỏe.
Sau 71 ngày chăm sóc, bệnh nhi thoát vị rốn khổng lồ đã ổn định chức năng hô hấp, khối thoát vị giảm kích thước và xuất viện an toàn.
Uống nước ấm pha gia vị như mật ong, gừng, chanh, quế giúp thanh lọc cơ thể, hỗ trợ tiêu hóa và tăng năng lượng cho ngày mới. Thói quen đơn giản, hiệu quả.
Việc chào đón một em bé không chỉ thay đổi cuộc sống của mẹ, mà còn tạo ra áp lực tâm lý, tài chính, trách nhiệm và sự quá tải cảm xúc lên người bố.
Nhiều người cảm thấy cô đơn ngay trong chính gia đình mình, khi sự im lặng, khác biệt thế hệ và áp lực cuộc sống khiến mái ấm dần mất đi kết nối.