Thoát vị đĩa đệm đốt sống thắt lưng, bệnh lý hiếm gặp ở trẻ

Thoát vị đĩa đệm đốt sống thắt lưng là bệnh lý hiếm gặp nên dễ bị bỏ sót hoặc chẩn đoán muộn do các biểu hiện lâm sàng không điển hình.

Khi trẻ có biểu hiện đau lưng kéo dài, đau tăng dần, hạn chế vận động hoặc có dấu hiệu chèn ép thần kinh cần đi khám tuyệt đối không tự ý điều trị hoặc điều trị bằng đơn thuốc của người khác.

Thoát vị đĩa đệm đốt sống thắt lưng thường gặp ở người trưởng thành do quá trình thoái hóa cột sống. Tuy nhiên, ở trẻ em và thanh thiếu niên, đây là bệnh lý hiếm gặp nên dễ bị bỏ sót hoặc chẩn đoán muộn do các biểu hiện lâm sàng không điển hình.

Bệnh viện Đa khoa tỉnh Phú Thọ đã tiếp nhận người bệnh B.G.H (15 tuổi), trú tại xã Lai Đồng, tỉnh Phú Thọ, bị thoát vị đĩa đệm đốt sống thắt lưng – một bệnh lý rất hiếm gặp ở lứa tuổi thiếu niên.

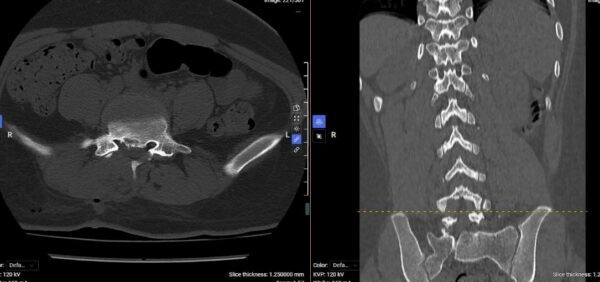
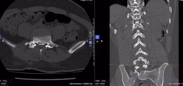
cot-song-5.png
Phim chụp thể hiện vị trí thoát vị của người bệnh B.G.H khi vào viện - Ảnh BVCC

Theo chia sẻ của người bệnh, tình trạng đau lưng xuất hiện từ khi em học lớp 4, ban đầu đau âm ỉ, sau đó tăng dần theo thời gian. Gia đình đã đưa em đi khám tại nhiều cơ sở y tế, mỗi nơi có một chẩn đoán khác nhau và điều trị bằng nhiều phương pháp như uống thuốc, châm cứu, xoa bóp…

Tuy nhiên các triệu chứng chỉ thuyên giảm trong thời gian ngắn rồi lại tái phát. Thời gian gần đây, cơn đau lưng trở nên trầm trọng hơn, người bệnh hạn chế vận động, có thời điểm đau nhiều đến mức không thể nằm được, ảnh hưởng nghiêm trọng đến sinh hoạt và học tập. Gia đình đã đưa em đến Bệnh viện Đa khoa tỉnh Phú Thọ để thăm khám chuyên sâu.

cot-song-4.jpg
BSCKII Hà Xuân Tài, Trưởng khoa Ngoại Thần kinh cùng ê-kíp phẫu thuật nội soi cột sống cho người bệnh thoát vị đĩa đệm - Ảnh BVCC

Tại bệnh viện, qua thăm khám lâm sàng kết hợp với các xét nghiệm và chẩn đoán hình ảnh, bác sĩ xác định người bệnh mắc thoát vị đĩa đệm đốt sống thắt lưng L4–L5 lệch phải, gây chèn ép rễ thần kinh.

Sau khi hội chẩn, người bệnh được BSCKII Hà Xuân Tài, Trưởng khoa Ngoại Thần kinh trực tiếp phẫu thuật bằng phương pháp nội soi cột sống – một kỹ thuật tiên tiến, ít xâm lấn.

Sau phẫu thuật, người bệnh hồi phục tốt, có thể đi lại và vận động nhẹ nhàng sau 2 ngày. Sau 1 tuần theo dõi, các triệu chứng đau trước mổ không còn, người bệnh được xuất viện trong tình trạng ổn định.

cot-song-tre-3.jpg
Hình ảnh phim chụp CT của người bệnh sau phẫu thuật - Ảnh BVCC

Theo BSCKII Hà Xuân Tài, thoát vị đĩa đệm đốt sống thắt lưng ở trẻ em là bệnh lý hiếm gặp, thường dễ bị chẩn đoán muộn do triệu chứng dễ nhầm lẫn với đau lưng cơ học thông thường. Các vị trí đốt sống thường bị ảnh hưởng là L4/L5.

Khác với người lớn, nguyên nhân gây thoát vị đĩa đệm ở trẻ em thường liên quan đến chấn thương cột sống, hoạt động thể thao cường độ cao hoặc lặp đi lặp lại, yếu tố di truyền hoặc dị tật bẩm sinh cột sống. Nếu không được phát hiện sớm, bệnh có thể gây đau kéo dài, hạn chế vận động và ảnh hưởng đến sinh hoạt, học tập cũng như sự phát triển thể chất của trẻ.

cot-song-tre-2.png
BSCKII Hà Xuân Tài kiểm tra vết mổ cho người bệnh và hình ảnh đường mổ rất nhỏ giúp người bệnh ít đau và nhanh hồi phục - Ảnh BVCC

Trường hợp người bệnh 15 tuổi bị thoát vị đĩa đệm nêu trên cho thấy tầm quan trọng của việc nhận diện sớm các biểu hiện bất thường ở độ tuổi trẻ em và thanh thiếu niên, đồng thời nhấn mạnh vai trò của chẩn đoán chính xác và lựa chọn phương pháp can thiệp phù hợp đối với các bệnh lý cột sống hiếm gặp ở lứa tuổi này.

Qua đây, BSCKII Hà Xuân Tài nhấn mạnh: Có nhiều phương pháp để điều trị bảo tồn đĩa đệm như nghỉ ngơi, sử dụng thuốc giảm đau, kháng viêm, giãn cơ, phối hợp với châm cứu, vật lý trị liệu.

Ngoài ra, có thể áp dụng phương pháp điều trị ít xâm lấn như tiêm ngoài bao cứng, sử dụng sóng cao tần phối hợp với phục hồi chức năng. Phẫu thuật chỉ được chỉ định trong các trường hợp có thiếu hụt thần kinh, đau dữ dội ảnh hưởng nghiêm trọng đến sinh hoạt hoặc điều trị bảo tồn không hiệu quả.

Tuy nhiên, dù điều trị bằng phương pháp nào thì trước tiên người bệnh cần được thăm khám kỹ lưỡng, kiểm tra chuyên sâu để đưa ra phương pháp phù hợp.

cot-song-tre-1.jpg
Người bệnh B.G.H hồi phục hoàn toàn và tự đi lại sau phẫu thuật - Ảnh BVCC

Vì vậy, khi trẻ có biểu hiện đau lưng kéo dài, đau tăng dần, hạn chế vận động hoặc có dấu hiệu chèn ép thần kinh, gia đình cần đưa trẻ đến cơ sở y tế chuyên khoa để được thăm khám và điều trị kịp thời, tuyệt đối không tự ý điều trị hoặc điều trị bằng đơn thuốc của người khác.

Thoát vị đĩa đệm âm thầm tấn công người trẻ

Thói quen ngồi lâu, dùng điện thoại quá nhiều khiến đĩa đệm của người trẻ dễ tổn thương, cần chủ động phòng tránh sớm.

Theo các bác sĩ, thoát vị đĩa đệm là tình trạng nhân nhầy đĩa đệm cột sống trượt ra khỏi vị trí bình thường, dẫn đến việc chèn ép vào ống sống hoặc các rễ thần kinh, gây ra cơn đau thắt lưng đặc trưng. Theo thống kê, tỷ lệ người bị thoát vị đĩa đệm khá cao, chiếm khoảng 30% dân số và hiện nay đang dần xuất hiện những người trẻ.

Trước đây, khi nhắc đến thoát vị đĩa đệm, chúng ta thường hình dung về căn bệnh của tuổi già, của những người lao động nặng nhọc sau nhiều năm bào mòn sức khỏe. Thế nhưng, thực tế tại các phòng khám xương khớp hiện nay cho thấy một thực tế đáng lo ngại là một bộ phận không nhỏ bệnh nhân đang ở độ tuổi thanh xuân, từ học sinh, sinh viên đến nhân viên văn phòng, phải đối mặt với những cơn đau thắt lưng và cổ vai gáy dữ dội do thoát vị đĩa đệm...

Điều trị thoát vị đĩa đệm bằng phương pháp ít xâm lấn hiện đại

Các phương pháp can thiệp ít xâm lấn hiện đại giúp kiểm soát cơn đau nhanh chóng, phù hợp với người cao tuổi nhiều bệnh lý nền.

Khi cơn đau lưng trở thành nỗi ám ảnh của người bệnh

Đau lưng do thoát vị đĩa đệm là một trong những bệnh lý cột sống thường gặp không chỉ ở người cao tuổi, mà còn có xu hướng trẻ hóa, trở thành “nỗi ám ảnh” với nhiều người bệnh.

Điều trị thoát vị đĩa đệm bằng phương pháp bắt vít qua da

Phương pháp bắt vít qua da điều trị thoát vị đĩa đệm cột sống ít xâm lấn này giúp bệnh nhân giảm đau, vận động sớm và phục hồi nhanh hạn chế các biến chứng.

Vừa qua, khoa Ngoại Thần Kinh Bệnh viện Đa khoa Xuyên Á Vĩnh Long đã phẫu thuật thành công điều trị thoát vị đĩa đệm bằng phương pháp bắt vít qua da cho bệnh nhân T.T.K.L., (61 tuổi, ngụ tại Vĩnh Long). Đây là phương pháp điều trị tiên tiến, ít xâm lấn giúp người bệnh nhanh chóng hồi phục.

Bệnh nhân L. đau cột sống thắt lưng đã nhiều năm, điều trị và uống thuốc nhiều nơi mà không giảm. Gần đây lưng cô bắt đầu đau nhiều hơn trước, cơn đau lan xuống mông và hai chân, làm hạn chế vận động và gây ảnh hưởng đến đời sống và sinh hoạt hằng ngày của bệnh nhân.

Đọc nhiều nhất

Tin mới

Đi khám sức khỏe phát hiện ung thư amidan

Đi khám sức khỏe phát hiện ung thư amidan

Người dân cần chủ động thăm khám sức khỏe định kỳ, đặc biệt khi có dấu hiệu bất thường vùng tai mũi họng, đau họng kéo dài, nuốt vướng, khàn tiếng, nổi hạch cổ…