Đột ngột đau đầu, khó nói, tê chân tay,....
Mới đây, Bệnh viện Bạch Mai (Hà Nội) đưa ra cảnh báo về tình trạng gia tăng các ca bệnh đột quỵ nặng, nguy kịch, thậm chí tử vong ở người trẻ, đặc biệt đáng chú ý là trường hợp một bệnh nhân mới 15 tuổi.
Trường hợp thứ nhất là bệnh nhân 15 tuổi. Sau cơn đau đầu dữ dội, em nhanh chóng rơi vào tình trạng hôn mê.
Bệnh nhân được chuyển đến Trung tâm Đột quỵ, Bệnh viện Bạch Mai trong tình trạng rất nghiêm trọng, thở máy, giãn đồng tử.
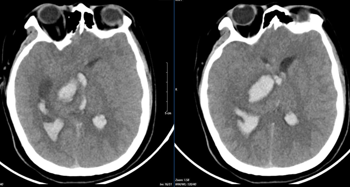
![]() |
| Hình ảnh chụp phim MSCT mạch não chảy máu não đồi thị - não thất do vỡ khối AVM (dị dạng thông động - tĩnh mạch não) bệnh nhân 15 tuổi. Ảnh BVCC |
Kết quả chụp lại phim MSCT mạch não cho thấy tình trạng chảy máu não do vỡ khối dị dạng mạch máu não. Bệnh nhân biến chứng giãn não thất cấp, rối loạn thân nhiệt, sốt cao liên tục 39 - 40 độ C.
Các bác sĩ đã nỗ lực cứu chữa, nhưng tình trạng diễn biến nhanh, bệnh nhân tụt huyết áp, rối loạn thân nhiệt, hôn mê sâu... Sau 2 ngày điều trị, khi được bác sĩ giải thích không còn khả năng cứu chữa, gia đình đưa bệnh nhi về và em đã tử vong sau đó.
Trường hợp thứ 2 là một bệnh nhân nam 19 tuổi, hoàn toàn khỏe mạnh trước đó, nhập viện trong tình trạng co giật, hôn mê sâu (Glasgow 6 điểm), liệt tứ chi và phải thở máy qua ống nội khí quản. Chẩn đoán hình ảnh MSCT mạch não phát hiện bệnh nhân bị chảy máu não thùy đỉnh chẩm trái và não thất, kèm phù não lan tỏa do vỡ khối dị dạng mạch máu não AVM (điểm Spetzler-Martin 3).
Bệnh nhân nhanh chóng được phẫu thuật hút khối máu tụ và loại bỏ ổ dị dạng mạch não. Tuy nhiên, do tổn thương quá nghiêm trọng, hiện tại bệnh nhân vẫn đang được điều trị tích cực tại khoa Hồi sức Ngoại với tiên lượng hồi phục rất hạn chế.
Trường hợp thứ ba là nữ bệnh nhân 29 tuổi, tiền sử khỏe mạnh. Bệnh nhân đến viện vì đột ngột đau đầu, tê tay, nôn nhiều vật vã.
Bệnh nhân được chuyển đến Trung tâm Đột quỵ, Bệnh viện Bạch Mai trong tình trạng ý thức hôn mê, glasgow 6 điểm, thở máy, đồng tử bên phải giãn 4mm, tụt huyết áp, duy trì vận mạch.
Kết quả chụp MSCT mạch não cũng cho thấy tình trạng chảy máu não.
Người phụ nữ này đã được phẫu thuật lấy máu tụ và khối dị dạng. Tuy được điều trị tích cực, nhưng di chứng để lại cho bệnh nhân vẫn rất nặng nề. Sau một tháng điều trị, bệnh nhân chưa nhận thức được, liệt hoàn toàn nửa người trái.
Dấu hiệu nhận biết vô cùng mờ nhạt
BS Lê Tuấn Anh, Trung tâm Đột quỵ, Bệnh viện Bạch Mai cho biết, Dị dạng thông động tĩnh mạch não (AVMs- Arteriovenous malformations) là một dị tật phát triển của hệ thống mạch máu trong đó các động mạch nuôi được kết nối trực tiếp với mạng lưới tĩnh mạch dẫn lưu mà không qua hệ thống mao mạch.
Trong khối dị dạng, thành động mạch thường mỏng hơn, tĩnh mạch giãn rộng do lưu lượng máu cao, không được điều tiết, nguy cơ có thể vỡ bất cứ lúc nào gây chảy máu não, tăng áp lực nội sọ, co giật, suy giảm ý thức, thậm chí tử vong nhanh chóng. Chính bởi vậy, dị dạng mạch máu não rất nguy hiểm, lại thường xảy ra ở người trẻ tuổi, không có sự khác biệt về giới tính.
Thông thường, bệnh chỉ được phát hiện khi dị dạng mạch vỡ thì sự đã rồi. Đôi khi, người bệnh được phát hiện sớm vì tình cờ đi chụp chiếu kiểm tra.
Về dấu hiệu nhận biết, BS Tuấn Anh cho hay: Nếu dị dạng mạch não chưa vỡ, tuỳ vị trí của khối dị dạng có thể xuất hiện một số triệu chứng không đặc hiệu như: Đau đầu, chóng mặt, tê bì yếu tay chân hoặc động kinh. Nếu dị dạng mạch não vỡ, các triệu chứng có thể từ nhẹ đến nặng phụ thuộc vào bản thân khối dị dạng và thể tích máu tụ, từ đau đầu, buồn nôn, nôn vọt, liệt nửa người, lú lẫn đến hôn mê sâu, thậm chí tử vong nhanh chóng do tụt kẹt não. Tỷ lệ tử vong khi vỡ AVM ước chừng 10-15%, khoảng 50% số bệnh nhân sẽ để lại di chứng về sau.
Để phòng ngừa, bác sĩ đưa ra lời khuyên nên đi kiểm tra khi có một hoặc các dấu hiệu: Đau đầu, chóng mặt, tê bì hoặc liệt nửa người, co giật. Các trường hợp nặng rối loạn ý thức đột ngột nên đến viện ngay lập tức.
