Người phụ nữ trẻ mắc hội chứng Sturge-Weber hiếm gặp

Bệnh nhân mắc hội chứng Sturge-Webe hiếm gặp với các triệu chứng như vết bớt rượu vang, động kinh và bất thường mạch máu não...

Theo Bệnh viện Đa khoa Medlatec, khoảng 1 tuần nay, chị N.H.A. (27 tuổi, Hà Nội) xuất hiện triệu chứng đau đầu, chóng mặt, nhìn mờ. Cùng với đó là tình trạng thấy nhức mắt, chói mắt, thi thoảng thấy ánh sáng nhiễu trước mắt hay ruồi bay. Chị A. tới Bệnh viện Đa khoa Medlatec thăm khám.

Quá trình thăm hỏi bệnh phát hiện bệnh nhân có tiền sử động kinh, đôi khi ngất, đã điều trị nhưng không cải thiện triệu chứng.

Bác sĩ tiến hành thăm khám lâm sàng và chỉ định các kỹ thuật cận lâm sàng cần thiết phục vụ chẩn đoán. Một trong những dấu hiệu dễ nhận biết ở người bệnh đó là sự biến đổi sắc tố da ở vị trí trán cung mày phải.

Bệnh nhân có vết bớt rượu vang vùng trán cung mày phải. Ảnh Medlatec

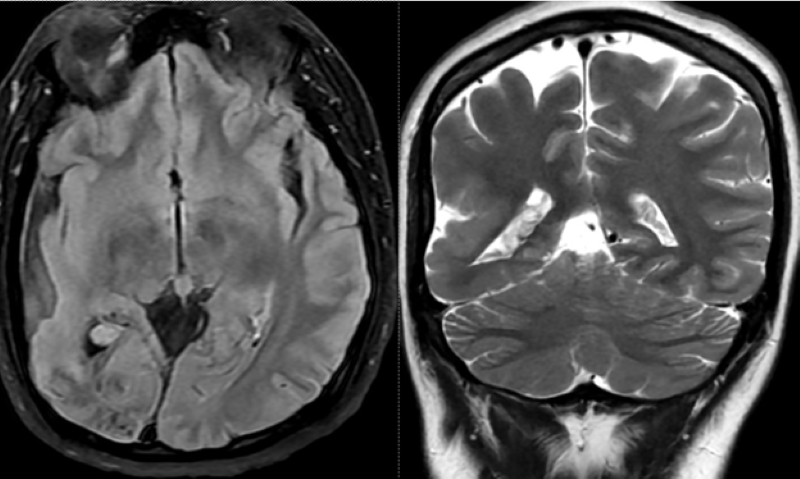
Đáng chú ý, trên phim chụp MRI sọ não phát hiện hình ảnh đám tổn thương cũ có vôi hóa, teo não thùy chẩm phải (vùng xuất phát của tia thị giác). Phì đại đám rối mạch mạc trong não thất bên phải. Thiểu sản động mạch đốt sống bên phải đoạn nội sọ.

Dựa vào các dấu hiệu lâm sàng điển hình và kết quả cận lâm sàng đã thực hiện, chẩn đoán xác định, bệnh nhân mắc hội chứng Sturge-Weber. Bác sĩ tư vấn theo dõi và lên phác đồ điều trị nội khoa cho bệnh nhân.

Bất thường được phát hiện trên phim chụp MRI sọ não/Ảnh Medlatec

Hội chứng Sturge-Weber (SWS) là rối loạn bẩm sinh với bất thường mạch máu, điển hình với ba vị trí da mặt, màng não, màng mạch mắt. Hội chứng này rất hiếm gặp, tỷ lệ mắc bệnh là 1/20.000 - 50.000. Nguyên nhân được xác định không phải bệnh lây hay di truyền mà là do đột biến xuất hiện ngẫu nhiên từ giai đoạn bào thai.

Các triệu chứng của hội chứng Sturge-Weber có thể khác nhau đáng kể. Những người bị hội chứng Sturge-Weber có thể gặp phải:

Vết bớt màu rượu vang (Port-wine stain): Đây là triệu chứng phổ biến nhất, thường xuất hiện ở vùng mặt và có màu đỏ hoặc tím, không biến mất theo thời gian.

Động kinh: Khoảng 75 - 90% bệnh nhân mắc SWS có biểu hiện động kinh, thường bắt đầu trong những năm đầu đời.

Tăng áp lực nội sọ: Do các bất thường về mạch máu trong não, bệnh nhân có thể bị tăng áp lực nội sọ, gây ra các triệu chứng như nhức đầu, buồn nôn và nôn mửa.

Các vấn đề về mắt: Bệnh nhân có thể gặp các vấn đề như glaucoma (tăng nhãn áp), mất thị lực và các bất thường khác về mắt.

Chậm phát triển và các vấn đề về học tập: Một số bệnh nhân có thể gặp khó khăn trong học tập và phát triển trí tuệ.

Các biến chứng có thể gặp khi mắc hội chứng Sturge-Weber bao gồm: Mất thị lực hoặc thính giác; Động kinh; Liệt tứ chi; Tử vong.

Chẩn đoán hội chứng Sturge-Weber thường dựa trên các biểu hiện lâm sàng (như bớt rượu vang đặc trưng) và các kỹ thuật hình ảnh y học như: Chụp cộng hưởng từ (MRI): Đây là phương pháp chính để xác định các bất thường mạch máu trong não; Chụp cắt lớp vi tính (CT scanner): Giúp phát hiện các bất thường về cấu trúc não; Kiểm tra mắt: Để phát hiện các vấn đề về mắt như glaucoma;

Các xét nghiệm khác có thể bao gồm điện não đồ (EEG) để kiểm tra hoạt động điện của não và các xét nghiệm huyết học để đánh giá tình trạng sức khỏe tổng quát.

Hiện tại, không có biện pháp phòng ngừa cụ thể cho hội chứng Sturge-Weber, do đây là một rối loạn bẩm sinh. Việc phát hiện sớm và kiểm soát tốt các triệu chứng là quan trọng nhất để cải thiện chất lượng cuộc sống của bệnh nhân.

Hội chứng Sturge-Weber là một bệnh lý hiếm gặp và phức tạp, nhưng với sự tiến bộ trong y học, nhiều phương pháp điều trị hiệu quả đã được phát triển để giúp bệnh nhân kiểm soát các triệu chứng và cải thiện chất lượng cuộc sống. Điều quan trọng đó là việc người dân khi xuất hiện triệu chứng đau đầu, chóng mặt cần chủ động đến các cơ sở y tế để được thăm khám và chẩn đoán chính xác.

Lạm dụng chụp cắt lớp vi tính có thể gây ung thư?

Các chuyên gia nhấn mạnh lợi ích lâm sàng của chụp cắt lớp vi tính vẫn vượt trội, nhưng cần hạn chế việc chỉ định không cần thiết.

Chụp cắt lớp vi tính (CT) là kỹ thuật sử dụng tia X - tia bức xạ để ghi lại được hình ảnh chi tiết bên trong cơ thể. Kỹ thuật được bác sĩ áp dụng để tìm kiếm các dấu hiệu bất thường bên trong cơ thể, lên kế hoạch phẫu thuật hoặc kiểm tra xem phương pháp điều trị có hiệu quả với người bệnh hay không. Đây là kỹ thuật hình ảnh hiện đại, có vai trò quan trọng trong chẩn đoán và điều trị nhiều bệnh lý nguy hiểm. Tuy nhiên, một số chuyên gia cho rằng, chụp CT có thể dẫn đến ung thư vì lượng bức xạ từ máy chụp.

Theo daibieunhandan.vn, một nghiên cứu vừa được công bố trên JAMA Internal Medicine do chuyên gia Mỹ - Anh thực hiện dự báo: liều bức xạ ion hóa thấp từ các ca chụp CT thực hiện trong năm 2023 ở Mỹ có thể liên quan tới khoảng 103.000 ca ung thư trong tương lai, tương đương 5% tổng số ca ung thư mới ở nước này. Con số này được mô phỏng dựa trên dữ liệu lịch sử của các sự kiện bức xạ lớn và lượng hóa từ cơ sở dữ liệu 143 bệnh viện, phòng khám ngoại trú trên toàn quốc.

Người đàn ông ở Đắk Lắk mắc hội chứng hiếm Guillain-Barré

Bệnh nhân nam trung niên mắc hội chứng Guillain-Barré đã được điều trị thành công bằng phương pháp thay huyết tương.

Theo VTV, Bệnh viện Đa khoa Phú Yên (Đắk Lắk) vừa cứu sống bệnh nhân mắc hội chứng Guillain-Barré, căn bệnh hiếm gặp chỉ 1-2 người/100.000 dân mắc mỗi năm.

Bệnh nhân nam trung niên, khởi phát với cảm giác tê tay chân, tăng dần trong 3 ngày, đến ngày thứ 7 không thể đi lại, kèm nuốt nghẹn, dấu hiệu cảnh báo nguy cơ lan đến các cơ hô hấp, đe dọa tính mạng. Khi nhập viện, bệnh nhân được Khoa Nội Thần kinh - Nội tiết tiến hành chọc dò dịch não tủy, đo điện cơ và xét nghiệm để chẩn đoán xác định hội chứng Guillain-Barré.

Đặt điện cực não sâu, phẫu thuật cứu thiếu nữ bị động kinh kháng thuốc

Bệnh nhân trẻ bị động kinh kháng thuốc vừa được phẫu thuật thành công, giúp kiểm soát bệnh hiệu quả bằng kỹ thuật điện cực não sâu.

Bệnh viện Nguyễn Tri Phương (TPHCM) vừa tiếp nhận điều trị cho nữ sinh 16 tuổi, học sinh lớp 10, có tiền sử động kinh suốt 8 năm. Gần đây trung bình bị 2–3 cơn co giật mỗi tuần dù đã dùng ba loại thuốc nhưng không còn đáp ứng.

Kết quả chụp cộng hưởng từ sọ não phát hiện bất thường cấu trúc vỏ não vùng thái dương – chẩm trái. Tuy nhiên, điện não ngoài da đầu chỉ gợi ý ổ phát cơn mà không đủ chính xác để chỉ định phẫu thuật.

Đọc nhiều nhất

Tin mới

Điện Biên ghi nhận hơn 30 ca sởi

Điện Biên ghi nhận hơn 30 ca sởi

Theo Trung tâm Kiểm soát bệnh tật tỉnh Điện Biên, từ ngày 1/11/2025 đến 16/1/2026, toàn tỉnh ghi nhận 34 trường hợp mắc và nghi mắc bệnh sởi.