Người phụ nữ có nang thận to như quả trứng vịt

Bằng kỹ thuật tiêm cồn tuyệt đối dưới hướng dẫn của siêu âm, bác sĩ Medlatec đã xử lý thành công khối nang thận kích thước lớn cho người phụ nữ 55 tuổi.

Bệnh viện Đa khoa Medlatec vừa tiếp nhận và điều trị cho người phụ nữ có nang thận to như quả trứng vịt khi khám sức khỏe định kỳ.

Bệnh nhân giảm 78% thể tích nang thận sau thủ thuật tiêm cồn

Bệnh nhân là bà N.T.N. (55 tuổi), trước đó bà N. từng đi khám, được chẩn đoán có nang thận 2 bên và bệnh Parkinson trong nhiều năm.

Thời điểm tới Medlatec, bà N. có đau tức và khó chịu vùng hạ sườn phải. Bệnh nhân được chỉ định siêu âm ổ bụng, kết quả ghi nhận hình ảnh nang lớn thận phải (kích thước 65x54x70mm, tương đương 128ml), nang nhỏ thận trái (kích thước 11x13mm) và nang tuyến giáp lành tính.

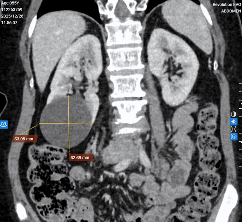
Chụp CLVT hệ tiết niệu cho thấy hình ảnh nang thận hai bên. Ảnh BV

Để làm rõ hơn hình ảnh nang thận cũng như đánh giá sự thông thương với đài bể thận, bác sĩ đã chỉ định chụp CLVT hệ tiết niệu. Hình ảnh cho thấy nang thận hai bên (phân loại Bosniak I - lành tính), trong đó thận phải có nang lớn không thông với đài bể thận.

Với triệu chứng trên lâm sàng và hình ảnh, bệnh nhân được chỉ định điều trị nang thận phải. Thông thường, những nang lớn bác sĩ sẽ tư vấn cho người bệnh lựa chọn phẫu thuật hoặc chọc hút tiêm cồn, nhưng với tiền sử Parkinson và là xử lý lần đầu, nên kỹ thuật chọc hút tiêm cồn được ưu tiên hơn cả.

BSCKI. Trần Văn Thụ – Phó Giám đốc Trung tâm Chẩn đoán hình ảnh Medlatec là người trực tiếp điều trị cho bệnh nhân. Ảnh BV

BSCKI. Trần Văn Thụ – Phó Giám đốc Trung tâm Chẩn đoán hình ảnh Medlatec là người trực tiếp thực hiện kỹ thuật tiêm cồn nang thận cho bệnh nhân. Kết quả sau điều trị vô cùng khả quan khi thể tích nang giảm tới 78%. Bà N. được hướng dẫn tái khám định kỳ theo dõi bằng siêu âm.

Tiêm cồn nang thận - phương pháp điều trị đơn giản hiệu quả cao

Theo bác sĩ Thụ, nang thận là một trong các bệnh lý về thận hay gặp nhất, trong đó, phổ biến là nang thận đơn thuần - tổn thương lành tính. Bệnh thường được phát hiện tình cờ, không có triệu chứng và không cần điều trị.

Tuy nhiên, trong một số trường hợp nang thận đơn thuần có kích thước lớn gây triệu chứng (đau thắt lưng, tăng huyết áp,...) hoặc có biến chứng (chảy máu, nhiễm trùng,...) thì cần được điều trị.

Các phương pháp điều trị gồm: phẫu thuật cắt chỏm nang, chọc hút, chọc hút kết hợp tiêm cồn dưới hướng dẫn siêu âm.

Trong đó, phương pháp tiêm cồn nang thận là lựa chọn tối ưu với nhiều ưu điểm vượt trội như:

Kỹ thuật không phức tạp, dễ thực hiện: không cần gây mê, không sử dụng dao kéo, thời gian thực hiện nhanh (30–60 phút) dưới hướng dẫn của siêu âm hoặc chụp cắt lớp vi tính (CT); Giá thành thấp và hiệu quả cao; Xâm lấn tối thiểu nên có thể ra viện ngay trong ngày, chỉ sau 2-3 giờ sau khi thực hiện; Hiệu quả tiêm xơ bằng cồn tuyệt đối đem lại kết quả tương tự dẫn lưu dịch qua nội soi ổ bụng và ít có biến chứng hơn.

Để thực hiện kỹ thuật này, sau khi hút hết dịch, bác sĩ bơm cồn tuyệt đối (95-99%) vào nang. Cồn làm protein biến tính, gây chết các tế bào biểu mô lót mặt trong bao nang, khiến chúng không còn khả năng tiết dịch, từ đó làm nang xơ hóa và xẹp đi.

Tiêm cồn nang thận thường áp dụng đối các trường hợp sau: Nang thận đơn thuần (Bosniak I hoặc II): Có kích thước lớn (thường > 5cm); Gây triệu chứng: Đau tức vùng thắt lưng, chèn ép đài bể thận gây thận ứ nước; Gây biến chứng: Tăng huyết áp do chèn ép mạch máu thận hoặc gây nhiễm trùng nang tái phát.

Bác sĩ Thụ khuyến cáo, phương pháp này không áp dụng cho nang thận có vách ngăn phức tạp, nang có dấu hiệu nghi ngờ ung thư (Bosniak III, IV) hoặc bệnh nhân có rối loạn đông máu nặng. Sau thủ thuật, bệnh nhân cần tái khám siêu âm sau 1, 3 và 6 tháng để đánh giá mức độ co nhỏ của nang.

Mặc dù tiêm cồn nang thận là thủ thuật ít xâm lấn, nhưng để đạt hiệu quả điều trị tối ưu, hạn chế biến chứng (nhiễm trùng, chảy máu trong nang hoặc tiêm lệch vị trí gây tổn thương nhu mô thận), người dân cần lựa chọn cơ sở y tế uy tín, với đội ngũ bác sĩ có chuyên môn cao và giàu kinh nghiệm.

Tán sỏi tiết niệu phức tạp qua da ngay tại tuyến tỉnh

Sỏi thận, sỏi tiết niệu thường tiến triển âm thầm, khi có các biểu hiện như đau vùng hông lưng, tiểu bất thường, sốt… cần khám sớm tránh biến chứng nguy hiểm.

Bệnh viện Đa khoa tỉnh Cao Bằng vừa triển khai thành công kỹ thuật nội soi tán sỏi thận qua da, đánh dấu bước tiến quan trọng trong điều trị các bệnh lý sỏi tiết niệu phức tạp.

Việc làm chủ kỹ thuật cao giúp giảm xâm lấn, giảm đau, rút ngắn thời gian điều trị, mang lại hiệu quả rõ rệt cho người bệnh ngay tại tuyến tỉnh.

Giải cứu sỏi niệu quản ở 'nút thắt cổ chai'

Một cuộc "lội ngược dòng" ngoạn mục, bệnh nhân không chỉ sạch sỏi mà tình trạng sơ hẹp niệu quản cũng được xử lý êm đẹp.

Bệnh viện Đa khoa Đức Giang vừa thực hiện thành công cuộc giải cứu thận cấp thiết cho bệnh nhân bị sỏi niệu quản tắc ở “nút thắt cổ chai”.

Căng thẳng ngay từ giây phút khởi đầu

Cứu sống bệnh nhân bị suy thận giai đoạn cuối ở Huế

Sau khi tiến hành cắt bỏ 2 thận đa nang gần 10kg, các bác sĩ đã ghép thận ngay trong cùng một lần phẫu thuật cho bệnh nhân bị suy thận giai đoạn cuối.

Ngày 21/1, thông tin từ Bệnh viện Trung ương Huế cho biết, đơn vị vừa thực hiện thành công ca phẫu thuật đặc biệt phức tạp.

Được biết, đây lần đầu tiên tại Việt Nam, các bác sĩ tiến hành cắt bỏ đồng thời 2 thận đa nang gần 10kg ở bệnh nhân suy thận giai đoạn cuối và ghép thận ngay trong cùng một lần phẫu thuật.

Đọc nhiều nhất

Tin mới

Đi khám sức khỏe phát hiện ung thư amidan

Đi khám sức khỏe phát hiện ung thư amidan

Người dân cần chủ động thăm khám sức khỏe định kỳ, đặc biệt khi có dấu hiệu bất thường vùng tai mũi họng, đau họng kéo dài, nuốt vướng, khàn tiếng, nổi hạch cổ…