Mới đây, bác sĩ Nguyễn Minh Đức, giảng viên Trường Đại học Y Phạm Ngọc Thạch (TP HCM) chia sẻ, Bệnh viện Đa khoa Vạn Hạnh đã tiếp nhận khám cho một nam bệnh nhân 50 tuổi, (là Việt kiều Úc) có các triệu chứng của rối loạn tiêu hóa.
Sau khi thăm khám các bác sĩ phát hiện bệnh nhân bị phình động mạch chủ ngực, kích thước lên tới 50mm.
Bệnh nhân được bác sĩ tư vấn can thiệp điều trị đặt stent graft ngay vì có nguy cơ vỡ động mạch chủ nhưng bệnh nhân mong muốn quay trở lại Úc điều trị.
Ngày hôm sau, bệnh nhân bất ngờ hôn mê sau khi hắt hơi. Bác sĩ kiểm tra qua chụp CT xác định vỡ túi phình động mạch chủ khiến người bệnh shock và tử vong ngay sau đó.
 |
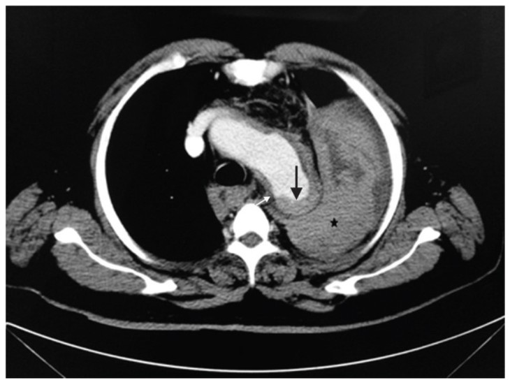
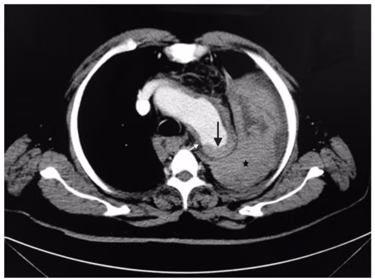
| Kết quả chụp CT cho thấy bệnh nhân bị vỡ phình động mạch chủ. Ảnh BSCC |
Bác sĩ chia sẻ, ông cũng từng chứng kiến một bác sĩ làm trong ngành Chấn thương Chỉnh hình cũng tử vong sau cú hắt xì hơi. Vị bác sĩ này khám và phát hiện phình động mạch ngực, túi phình 45mm nhưng chưa muốn điều trị. Khi bị cảm cúm, bệnh nhân hắt hơi, gặp biến chứng vỡ phình động mạch chủ ngực và tử vong ở tuổi 60.
Theo các bác sĩ, động mạch chủ ngực là phần động mạch tiếp nối phía dưới cung động mạch chủ. Khi một vùng bất kỳ trên thành của động mạch chủ ngực suy yếu hình thành nên túi phình với kích thước lòng mạch lớn hơn các vị trí còn lại thì tình trạng này được gọi là phình động mạch chủ ngực.
Khi hắt hơi, người bệnh sẽ lấy hơi bụng đẩy lên nên gây áp lực tới động mạch chủ ngực. Động mạch đang phình căng như bóng, rất dễ vỡ dẫn đến máu ồ ạt chảy vào tim phổi gây shock và nguy cơ tử vong rất cao.
Theo các bác sĩ, nếu không được phát hiện và điều trị kịp thời, phình động mạch chủ có thể dẫn đến nhiều biến chứng nghiêm trọng, bao gồm:
Vỡ động mạch chủ: Đây là biến chứng nghiêm trọng nhất, xảy ra khi thành động mạch bị rách, gây xuất huyết ồ ạt vào khoang bụng, lồng ngực hoặc sau phúc mạc. Vỡ động mạch chủ có thể dẫn đến sốc mất máu, suy đa tạng và tử vong nhanh chóng nếu không được cấp cứu kịp thời. Các dấu hiệu của vỡ động mạch chủ thường bao gồm đau dữ dội ở ngực, bụng hoặc lưng kèm theo triệu chứng chóng mặt, nhịp tim nhanh, mất ý thức,…
Huyết khối: Sự phình to của động mạch chủ làm tăng nguy cơ hình thành cục máu đông trong lòng động mạch. Các cục máu đông này có thể di chuyển và gây tắc nghẽn mạch máu, dẫn đến nguy cơ đột quỵ hoặc nhồi máu cơ tim.
Chèn ép dây thần kinh: Khi phình động mạch phát triển, chúng có thể chèn ép vào các dây thần kinh xung quanh gây ra cảm giác đau đớn, tê bì ở khu vực cổ, lưng hoặc ngực.
Đột quỵ: Phình động mạch chủ, đặc biệt là ở khu vực gần não có thể làm tăng nguy cơ đột quỵ do tắc nghẽn hoặc vỡ mạch máu.
Tê liệt: Trong một số trường hợp, phình động mạch chèn ép dây thần kinh tủy sống hoặc gây tắc nghẽn tuần hoàn có thể gây ra biến chứng tê liệt ở tay, chân hay một phần cơ thể.
Suy tim sung huyết: Phình động mạch chủ kích thước lớn làm tăng áp lực lưu thông máu, dẫn đến tim phải hoạt động quá sức để bơm máu. Điều này có thể gây ra biến chứng suy tim với các dấu hiệu như phù nề, khó thở, mệt mỏi kéo dài,…
Suy thận: Khi phình động mạch xảy ra ở vùng bụng có thể làm gián đoạn lưu lượng máu đến thận dẫn đến suy giảm chức năng thận hoặc suy thận.
Đột tử là biến chứng nghiêm trọng nhất của phình động mạch chủ. Điều này thường xảy ra khi phình bị vỡ hoặc tách thành động mạch, dẫn đến mất máu nhanh chóng và không kịp cứu chữa.
Để phát hiện sớm phình động mạch chủ, bác sĩ Đức khuyến cáo, bệnh nhân tăng huyết áp, đái tháo đường, rối loạn mỡ máu cần thận trọng.
Với những người đã có phình hoặc bóc tách động mạch chủ nên thận trọng vì một thay đổi áp suất đột ngột như cú hắt hơi có thể gây ra vỡ, nhất là trong các đợt nhiễm trùng, nhiễm siêu vi, cảm cúm.
Theo bác sĩ Đức, phòng bệnh bằng cách ăn uống tốt cho sức khỏe tim mạch, không tiếp xúc với thuốc lá, tập luyện tối thiểu 150 phút mỗi tuần.