Bóc tách khối phình mạch thân tạng rất hiếm gặp

Bóc tách khối phình mạch thân tạng rất hiếm gặp

Phình mạch thân tạng là bệnh rất hiếm gặp, theo y văn trên toàn thế giới hiện mới chỉ có khoảng 200 ca bệnh được báo cáo. Có 1 bệnh nhân trẻ cùng lúc 2 khối phình động mạch thân tạng và động mạch đùi phải dọa vỡ nguy hiểm.
Thay mạch cứu bệnh nhân thủng động mạch chủ bụng nguy kịch do lao

Thay mạch cứu bệnh nhân thủng động mạch chủ bụng nguy kịch do lao

(khoahocdoisong.vn) - Lao mạch máu dẫn tới phình động mạch chủ, thủng vỡ động mạch chủ rất nguy hiểm. Khác với các trường hợp vỡ động mạch chủ do phình thông thường, các trường hợp lao mạch máu cần được điều trị sớm để tránh nguy cơ nhiễm trùng thủng mảnh ghép gây đột tử do mất máu.
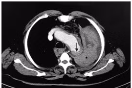
Kỳ 2: Trai 20 tuổi đã bị lóc tách động mạch chủ

Kỳ 2: Trai 20 tuổi đã bị lóc tách động mạch chủ

(khoahocdoisong.vn) - Lóc tách động mạch chủ (LTĐMC) trước hay gặp ở độ tuổi từ 60 – 70 nhưng hiện tại nhiều thanh niên khỏe mạnh tự nhiên đau ngực và ngất xỉu vì bệnh. Đây là một một thảm họa thực sự của bệnh tim mạch.
Can thiệp nội mạch điều trị phình mạch máu

Can thiệp nội mạch điều trị phình mạch máu

(khoahocdoisong.vn) - Hiện nay, các bác sĩ chuyên khoa ngoại lồng ngực - tim mạch hay ngoại thần kinh tiến hành can thiệp nội mạch để điều trị cho những ca bị vỡ động mạch chủ bụng hay vỡ túi phình mạch máu não.
Cảnh giác với phình động mạch chủ bụng ở người cao tuổi

Cảnh giác với phình động mạch chủ bụng ở người cao tuổi

Động mạch chủ là động mạch lớn nhất trong cơ thể dẫn máu có chứa nhiều oxy được bơm ra từ tim hoặc đưa máu đi xa khỏi tim. Động mạch chủ bụng cung cấp máu cho phần dưới cơ thể. Nếu túi phình động mạch vỡ có thể khiến bệnh nhân tử vong trong vòng vài phút.